美国堪萨斯大学威奇托医学院麻醉科的Matea Malinovic等报道1例PSH发作的TBI患者,开颅减压术后发展为难治性自主神经功能异常,经多种治疗得到缓解。文章发表于2021年10月的《Cureus》在线。
——摘自文章章节
【Ref: Malinovic M, et al. Cureus. 2021 Oct 27;13(10):e19086. doi: 10.7759/cureus.19086. eCollection 2021 Oct.】
研究背景
阵发性交感神经亢奋(paroxysmal sympathetic hyperactivity,PSH)是一类与获得性脑损伤(acquired brain injuries,ABI)相关的疾病,包括交感神经活动亢进,导致心动过速、呼吸急促和高血压;如果不及时发现,可能会增加死亡率。2014年,学者们制定PSH的临床诊断标准。然而,患者临床表现和治疗反应存在差异,因此处理上仍然具有挑战性。美国堪萨斯大学威奇托医学院麻醉科的Matea Malinovic等报道1例PSH发作的TBI患者,开颅减压术后发展为难治性自主神经功能异常,经多种治疗得到缓解。文章发表于2021年10月的《Cureus》在线。
研究方法
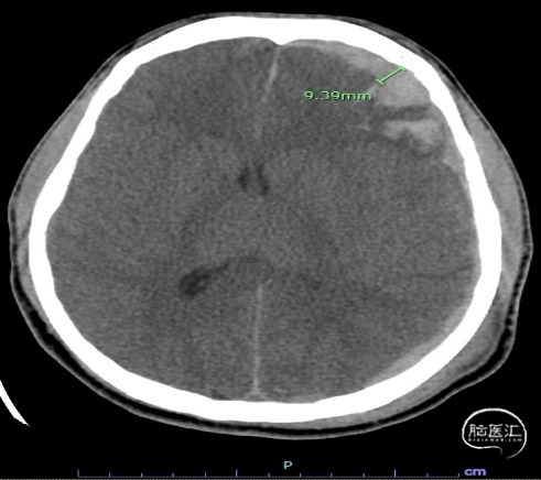
1例18岁男性患者,因癫痫发作入院,GCS评分7T。入院后给予左乙拉西坦防治癫痫发作。头颅CT、MRI检查提示,左额叶和左颞叶硬膜下出血(SDH)和脑实质出血,在顶骨和颞骨交界处线性骨折,提示钝性创伤造成颅内出血(图1)。

患者在ICU住院。采取抬高床头、高渗脱水和丙泊酚镇静等降低颅内压(ICP)措施。入院第2天,置入脑室外引流管引流脑脊液并监测ICP;第3天,患者出现自主神经功能异常症状,间歇性高温(最高温度39.0℃)、心动过速(心率110-140次/分)、呼吸急促(20-30次/分)和高血压(注射尼卡地平后收缩压>150mmHg)。之后,加用戊巴比妥诱导昏迷;一周后,减少戊巴比妥输注,同时滴注右美托咪定和芬太尼减弱交感风暴。由于ICP持续升高,入院第11天行开颅减压术,术后停用戊巴比妥。但开颅术后出现持续顽固性自主神经功能异常,表现为心动过速、体温过高、出汗、呼吸急促和去皮质强直。用普萘洛尔、芬太尼和右美托咪定滴剂继续减弱和缓解交感风暴。但体温仍上升到40°C。之后物理降温7天,导致颤抖。改用哌替啶,加用可乐定和肠内吗啡,滴注芬太尼和右美托咪定。之后交感风暴停止。经过一个月的重症监护室治疗后,转移到康复中心住院治疗。
结论
最后作者认为,早期警惕TBI导致PSH的风险,采取必要措施是降低顽固性交感风暴发生的关键;一旦发生即应用多模式治疗方案。






