
首个无神经毒性安全性的颅内药物支架;
1年再狭窄6.66%,同裸支架比降低73.4%,从而降低再发卒中88.4%;
患者基本信息
患者,男,52岁。
主诉:左侧肢体无力1月余加重4天。
现病史:患者一个月前自感左侧肢体无力,表现为上肢持物不稳、下肢行走不稳伴漂浮感,伴有言语含糊,口角歪斜,头晕,呈昏沉感,无头痛及恶心呕吐,无意识障碍,无四肢抽搐、二便失禁,至我院就诊完善检查,诊断为右侧半卵圆区及基底节区脑梗,CTA提示右侧大脑中动脉闭塞,予抗血小板、降脂、活血、营养神经等治疗后好转,近4天反复发作左侧肢体肌力无力,为进一步介入治疗入院。
既往史:既往有高血压病史10年,最高血压185/100mmHg,长期口服“奥美沙坦酯 20mg qd”,血压控制可;有糖尿病史7年,长期服用“二甲双胍 1s bid po”,血糖控制可;有糖尿病性周围血管病变,长期口服“依帕司他片 50mg tid po";既往有冠心病,长期口服“阿司匹林100mg qd、氟伐他汀片”,平素无胸闷症状;2年前有腔隙性梗死病史,未遗留后遗症;既往有慢性胃炎病史,长期口服“雷贝拉唑肠溶胶囊 20mg qd”。
入院查体:神清,构音障碍,反应迟钝,双眼内收外展不配合,无眼震、复视。双侧瞳孔等圆等大,直径3mm,对光反射存在,左侧鼻唇沟浅,双侧软腭上抬有力、对称,悬雍垂居中,咽反射存在,伸舌左偏。左侧肢体肌力5-级,左侧Babinski征(+-)。
辅助检查:磁共振、CTA、脑血管造影。
诊断
主要诊断:
1. 脑梗死(右侧半卵圆区);
2. 右侧大脑中动脉闭塞;
3. 椎动脉狭窄;
4. 高血压病3级(极高危);
5. 2型糖尿病;
6. 2型糖尿病性周围血管病变;
7. 冠状动脉粥样硬化性心脏病;
8. 心功能Ⅱ级(NYHA分级);
9. 慢性胃炎;
10. 高尿酸血症。
入院影像检查
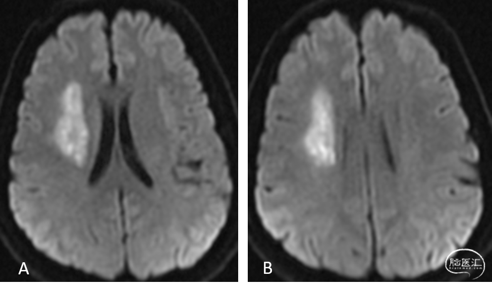
MR提示:右侧半卵圆区新发脑梗死(A、B)。

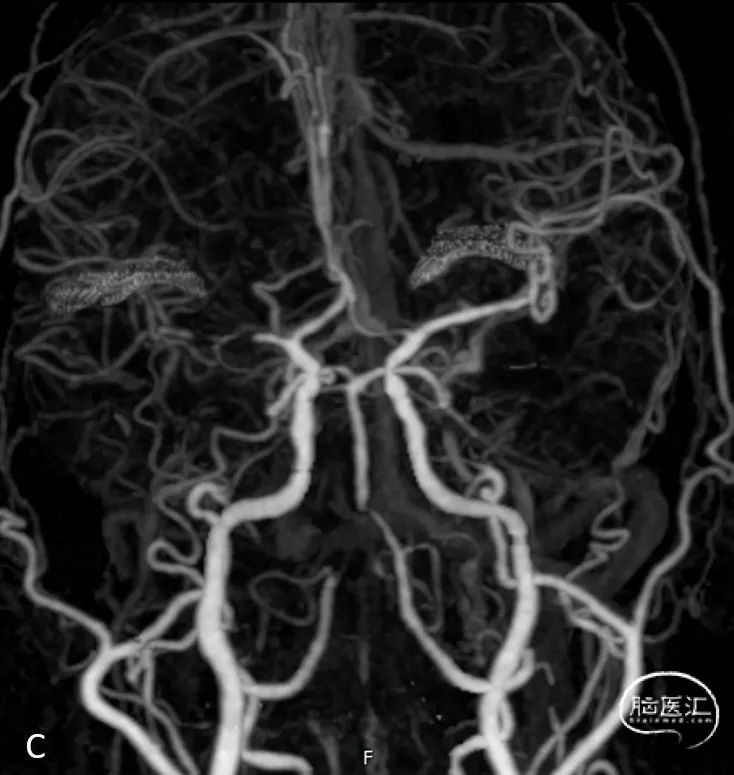
头颅CTA提示:右侧大脑中动脉M1段闭塞;左侧椎动脉V4段重度狭窄(C、D)


头颅CTP:右侧大脑中动脉区域明显低灌。




脑血管造影:右侧大脑中动脉M1段闭塞,代偿不足。



左椎动脉V4段重度狭窄。

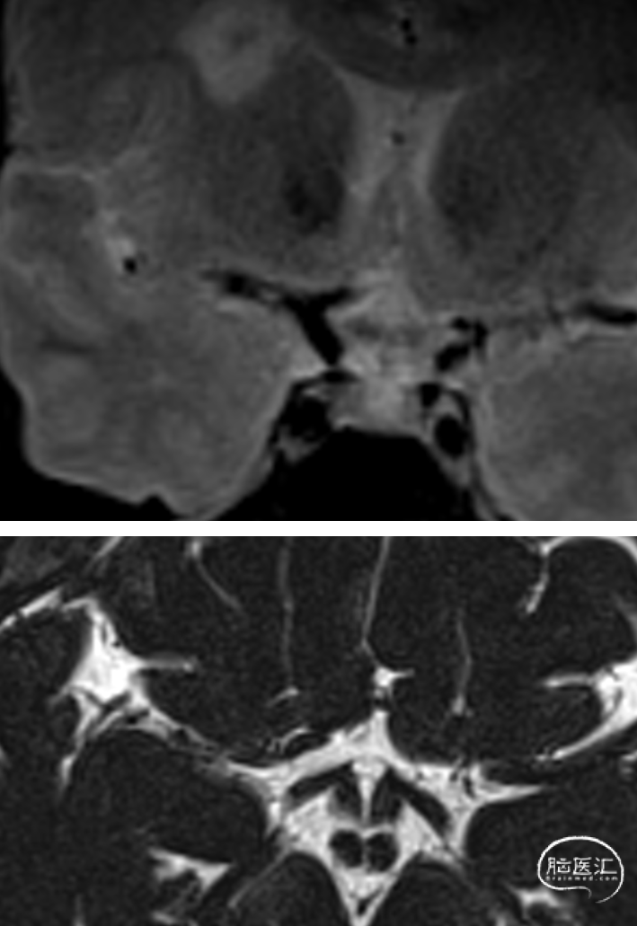
术前行高分辨率核磁共振:右侧大脑中动脉前壁强化斑块。


入院影像检查

入院目前用药:阿司匹林、氯吡格雷、氟伐他汀、丁苯肽、二甲双胍。
血栓弹力图血小板图检测:AA抑制率93.7%,ADP抑制率98.9%。
术前讨论
手术方案:
1. 中年男性,右侧大脑中动脉供血区脑梗死,规范内科治疗仍病情不稳定,反复发作。
2. 头MRI示右侧半卵圆区新发脑梗死,右侧大脑中动脉M1段闭塞;代偿不佳,CTP示右侧大脑半球低灌注;高分辨率核磁共振:右侧大脑中动脉前壁强化斑块。
3. 考虑右侧大脑中动脉为责任血管,有介入治疗指征;左椎动脉V4段重度狭窄择期手术。
4. 全麻下行右侧大脑中动脉闭塞开通血管成形术,恢复右侧大脑中动脉区域血流灌注,予以球囊扩张必要时支架置入。
5. 手术风险:夹层碎裂脱落栓塞、穿支闭塞、管壁破裂出血、过度灌注等。
术中器械
球囊:赛诺神畅 Neuro LPS-1.5-15mm球囊
支架:赛诺神畅 NOVA颅内药物球扩支架2.25*20mm
治疗过程
选取工作角度造影,测量病变长度。



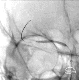
微导丝辅助微导管通过闭塞段,以赛诺神畅Neuro LPS-1.5-15mm球囊分次扩张闭塞段。


球扩后造影见闭塞段恢复正向血流M1段远端夹层表现。


(2倍速播放)
沿微导丝输送赛诺神畅 NOVA颅内药物球扩支架2.25*20mm支架到位,支架输送顺利,全过程无明显张力变化。

6atm缓慢扩张释放支架。

释放支架后造影见支架中段稍有残留狭窄,以8atm缓慢再扩张,残留狭窄消失。



术后影像及检查
最后工作位造影和正侧位造影,右侧大脑中动脉区域血流恢复,灌注满意。


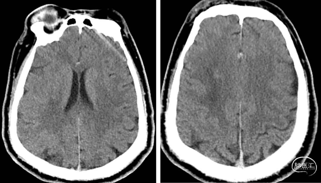
术后CT无出血,术后患者未诉不适,无新发神经功能症状及体征,继续予以抗栓、强化降脂、调节血糖等治疗。

手术总结
关于慢闭开通病例的选择
1. 与闭塞区域相关的临床症状。
2. 严格内科药物治疗症状仍然波动或进展。
3. 神经影像学检查证实责任病变为颅内大血管完全闭塞或次全闭塞(TICI分级0-1级),且预估闭塞时间在3个月以内。
4. 术前CT灌注或DSA证实责任病变区域侧枝循环代偿不良。
5. 术前CTA或DSA判断病变性质,证实闭塞远端存在血管床,且直径预估在2mm以上,闭塞段长度在20mm以内。
6. HR‑MRI具有血管壁成像优势,予开通术前评估具有重要作用,不仅可以显示真正闭塞节段的长度,还能根据显示信号强弱鉴别斑块成分和推测血管闭塞的时间。
关于器械的体会
1. 赛诺神畅 NOVA颅内药物球扩支架是全球首个颅内药物支架,可以有效抑制血管平滑肌细胞的过度增生和炎症反应,降低支架再狭窄发生率。
2. 作为新一代国产球扩支架,赛诺神畅 NOVA支架优异的输送性给予术者信心,本次手术中选择20mm长度的支架能顺利通过颈内动脉虹吸部迂曲,输送全过程无明显张力变化,释放过程中定位准确无移位,是颅内狭窄性病变的可靠选择。
3. 赛诺神畅 Neuro LPS低压球囊作为支架前预扩工具,降低了对血管壁的损伤。11μm厚度3atm命名压,预扩同时降低“雪梨效应”和穿支动脉闭塞几率
术者简介
方淳 同济大学附属同济医院

方淳
主任医师,介入科主任,教授,硕士研究生导师
国家卫健委脑卒中防治工程中青年专家委员会委员
国家卫健委脑卒中防治专家委员会缺血性卒中介入专委会常委
中国卒中学会神经介入分会委员
中国卒中学会复合介入神经外科分会副主任委员
中国老年医学会脑血管病分会委员
中国医师协会介入分会神经介入专业委员会委员
中华医学会放射学分会神经介入专业委员会委员
上海市中西医结合学会介入分会副主任委员
上海市医学会卒中专科分会委员
上海介入质量控制中心专家委员会委员
承担和参与国家级、市级和局级课题以及国家级继续教育项目等多项,在脑血管出血性病变和缺血性病变的介入治疗和优化诊治方面造诣颇深,致力于脑卒中救治的一体化综合治疗。
至今发表国际和国家级学术论文共30余篇,其中SCI文章十余篇,参编著作3部。曾获得过中华医学科技奖、上海科技进步一等奖和上海医学科技奖等奖项。
封灏 同济大学附属同济医院

封灏
介入科主治医师,硕士
上海市医学会脑卒中学会青年委员
毕业于第二军医大学,师从长海医院脑血管病中心刘建民教授
从事脑血管病介入治疗10余年
完成急性脑卒中取栓术、颈部及颅内动脉血管成型术、
颅内动脉瘤和血管畸形介入栓塞术近千例
发表SCI文章3篇,参编论著一部
王利 上海市嘉定区南翔医院

王利
主任医师,神经内科行政主任,医学硕士
中国中医药研究促进会脑病分会委员
上海市嘉定区医学会神经病学分会主任委员
《现代医药卫生》杂志审稿专家
先后承担市级科研课题4项,获市级科技进步三等奖1项,发表论文10余篇,合作主编专著2本。
擅长各种急性脑血管病的急诊急救处理及脑血管介入治疗;对各种复杂脑血管病、老年慢性脑血管病及相关基础疾病的诊治及长期管理经验丰富。擅长神经内科危重症及复杂疑难疾病的诊治。
科室简介
上海市同济医院
(同济大学附属同济医院)
同济大学附属同济医院介入科简介

同济大学附属同济医院脑血管病治疗中心成立于2005年,专注于脑血管疾病的微创治疗,已形成完整的脑血管微创介入诊疗体系,覆盖缺血性和出血性的脑血管病,并在颅内动脉瘤、颅颈部血管狭窄和早期脑血管再通等方面形成治疗特色,开展技术项目达到国际先进水平。目前学科由国内脑血管病介入专家方淳教授领衔,团队成员均具有丰富的脑血管病临床和介入治疗经验,建立了完整的介入医疗、护理体系,依托院重点学科医学影像科与神经内、外科、急诊科、麻醉科等针对脑血管病形成了“一站式”的多学科联合诊疗模式,以精湛的技术、一流的服务和全新的个性化理念,来满足和服务于广大患者。







