家住成都郊区的老孙是一个天性乐观、勤劳善良的人,年轻时非常能吃苦,每天起早贪黑,干完农活之余,还时常从黄龙溪附近的农村到成都市区倒腾一点小商品买卖,供养一家老小。 30多年前的一天早上,平常活蹦乱跳的他起床时感觉颈部剧痛,“四肢似乎散了架,不大能活动,在床上躺了一阵后又好了”,缓过劲来的老孙发现自己照样能吃能睡能干活,以为自己只不过是“睡失枕了”,就没太在意。但此后颈部疼痛时好时坏一直没有消停过,偶尔还合并腰痛,由于没有大碍,也就没有管它。
![]()
和大多数上世纪60年代出生的人一样,那时近30岁的人已经开始承担家庭和社会的重担,不但上有老下有小,还赶上了改革开放后经济快速发展的大潮,每个人都像上紧了发条的机器,一刻也停不下来。老孙为人勤劳、忠厚,在村里人缘很好,被村民推举为生产队长。虽然肩颈疼痛时不时发作,还是强忍着一直没有仔细去医治。随着时间一天天过去,更糟心的情况出现了,突然某一天,他惊恐的发现自己的双脚感觉不正常了,走路时有一种“踩棉花的感觉”,老婆也发现他插秧时“一只脚从泥里半天拖不出来”。
![]()
自此一家人便开始了到多家医院就诊的困苦历程,先后做了很多检查,脑子和脊柱椎管里没有肿瘤和其他可解释病状的疾病,有的说“是腰椎病吧但又不像“,有人说“是颈椎病吧,好像也不典型”,还有人说是“风湿”,有一次一家医院的医生甚至怀疑是“神经营养不良”,在几家医院的骨科、神经内科、神经外科、康复科来回折腾,就是没有得到一个肯定的说法。期间也经历过长时间反复理疗针灸等治疗,苦头吃了不少,但病情不但没有好转反而下肢活动越来越差,9年前开始要扶着拐杖走路了。由于得不到有效的治疗,当时家庭经济状况也不好,一家人逐渐放弃了进一步诊治。3年前大小便功能又出现了障碍,双脚感觉也更加麻木,两条腿自膝关节以下变得愈加僵硬,行走时要将两个拐杖架在腋窝下,用腰腹的力量拖着双下肢缓慢移动,反复摔倒致两个膝关节附近的皮肤伤痕累累。

七月初,老孙得知离自家不远处“修建了好几年的大医院”成都京东方医院开业了,抱着一试的心理去就诊。神经外科肖安兵主任医师通过病史、体检和影像学资料仔细分析,得出老孙是“脊髓型颈椎病导致双下肢不全瘫痪伴大小便功能障碍”的结论,指出如果现在立即手术解除脊髓压迫,有望阻止神经损害的进一步发展,已造成的神经功能损害有部分恢复的可能,建议住院手术治疗。自己多年的疾患有了一个肯定的说法,夫妻两与女儿商量后迫不及待的住进了医院。

入院后医生查体发现,左手霍夫曼征阳性,上肢肌力感觉都正常,腰部、腹部力量减弱,双下肢肌力2-3级,自膝关节以下感觉减退,提睾反射、膝反射、跟腱反射等生理反射极度亢进,踝阵挛,巴氏征阳性,布氏征阳性。双侧膝关节、胫前皮肤全是大大小小因反复摔伤愈合后产生的增生性瘢痕。
![]()
术前扶拐杖行走状况
步履蹒跚
术前复查MRI矢状位颈椎MRI T2 加权像,C6椎体不稳定,C6/C7椎间盘脱出,局部脊髓受压,斑片状信号改变,颈椎管狭窄。

颈椎MRI T2 加权像1

颈椎MRI T2 加权像2

颈椎MRI T2 加权像3
为明确诊断,制定科学合理的综合治疗方案,医务部组织多学科会诊(MDT),决定为病人实施“颈前路椎间盘切除椎体间植骨融合术(ACDF)。手术目的:解除颈椎管狭窄,解除脊髓压迫,恢复脊柱稳定性,阻止脊髓损害的进一步发展,为神经功能恢复创造条件。饱受病魔长期折磨的病人和家属对治疗的效果并不报太高的期望,表示不求恢复多少,只要能阻止瘫痪继续恶化,不造成完全瘫痪就算满意了,当然“如果能够恢复走路就更好了”。

多学科会诊

手术进行中
上图为现代化的神经外科专科手术室,配备专用移动CT机,数字减影血管成像系统(DSA),手术显微镜、神经内镜、C型臂X线透视机,神经手术导航系统,神经电生理监测设备、全套精良显微外科手术器械等高科技硬件,为实施微创精准医疗提供有力保障。
显微镜下操作部分视频剪辑
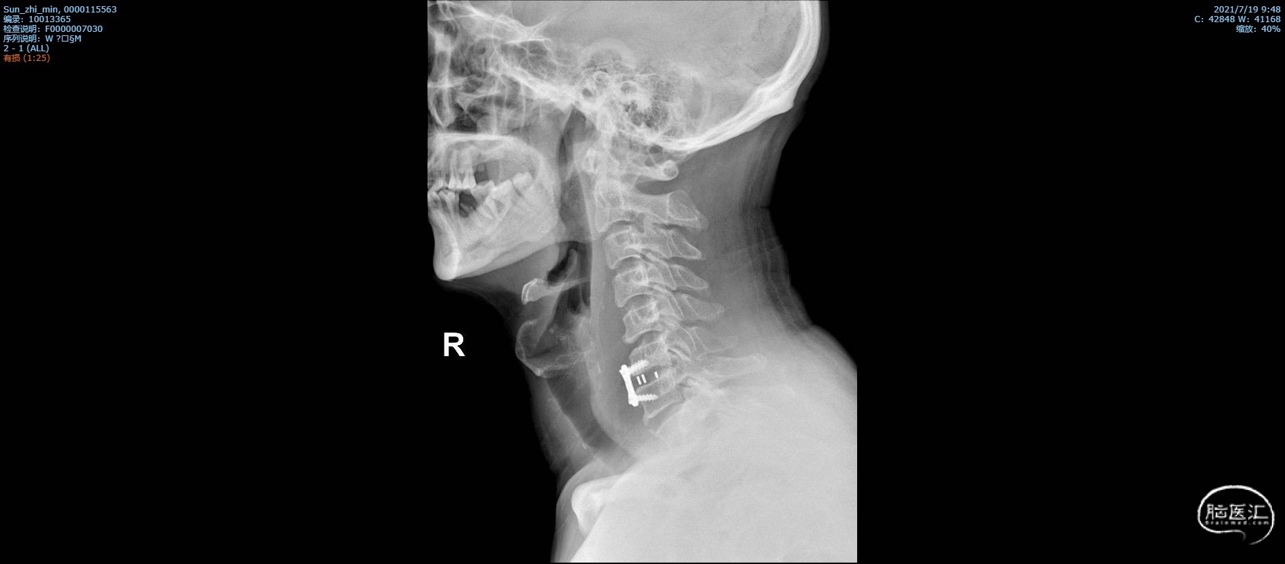
术后颈椎X线片复查

X线正位

X线侧位
术后1周,病人腰腹部肌力明显好转,双下肢感觉功能好转,过高的肌张力有所降低,查体双下肢病理反射明显减弱。医生决定下一步进行系统、科学的康复理疗训练。
意外之喜,术后短时间内肢体功能开始改善。


科普:认识脊髓型颈椎病
自出生后开始生长发育成熟、到器官退变乃至死亡,这是任何生命过程都要走过的正常历程。医疗行为只针对在这一进程中出现了严重偏差并明显危害健康的问题进行干预,脊髓型颈椎病就是这种情况。脊柱结构中椎间盘退变发生最早,随着椎间盘质地变性,高度下降,椎间盘后部被覆的后纵韧带的增厚钙化,椎体边缘骨质增生,椎管前后径即矢状径的减少可造成脊髓压迫症,如果同时合并椎间盘脱出或颈椎不稳定,椎管前方和后方折入椎管的黄韧带等结构生对脊髓“钳压”作用,脊髓受压和脊髓血供障碍导致脊髓内神经纤维数量减少,轴浆流阻断、扭曲变形,脱髓鞘变化,神经细胞坏死、凋亡,从而发生脊髓局部神经元及传导束功能障碍,引起损伤节段及其以下躯体神经功能支配障碍,这就是脊髓型颈椎病。严重者可致瘫痪。临床表现因病变脊髓被侵袭的程度、部位和范围而异。这就造成临床表现多种多样。既有上肢重下肢轻,也可下肢重上肢轻,甚至上肢完全无症状;同一平面左右也不一定对称;又因需与多种神经内、外科疾病(如运动神经元病、神经系统肿瘤、神经系统血管畸形等等)相鉴别,故常常造成误诊而延误治疗。诊断和鉴别诊断依赖医者扎实的神经病理学知识和对病史的认真收集判断,细致地查体,对影像学、电生理学等检查等资料综合分析。
鉴于脊髓型颈椎病的病理改变,非手术治疗难以解除脊髓压迫,疾病逆转和自限的机会不多,业界公认具有绝对手术指征。
颈椎病是一种慢性退变性疾病,脊髓型颈椎病只是其中的一个亚型,但由于可造成严重残疾故危害甚大,就像其他疾病一样,早预防早处理才是减少此类疾患对人类健康造成危害最重要的手段,人们要接受正确的保健知识,避免不健康的生活工作习惯,就预防颈椎病而言,特别要避免长时间低头工作和长时间低头玩手机等不良习惯。已经罹患颈椎病的患者,要了解并掌握科学的康复理疗知识,特别提醒不宜过度活动颈椎,任何不恰当的锻炼和理疗,只会加重器官结构退变和功能的进一步损害。
![]()
随笔
脊柱神经外科是现代神经外科业务的重要组成部分。在欧美及东亚日韩新加坡台湾等地,神经脊柱外科占神经外科临床总业务量的50-70%。神经外科医生对神经系统的解剖、病理生理有深入的理解,兼有神经手术显微镜下精细操作技术,在神经系统疑难杂症鉴别、合理制定手术计划、微创操作等方面有独到的优势。但要更好的开展这项工作,那些长期从事“脑外科”的神经外科医生还需要虚心向骨科等同行学习交流,掌握脊柱相关的生物力学知识及内固定技术。




