
【阐微研术】第五期|复发大型听神经瘤病例回顾
—— 上海市第一人民医院神经外科
上周我们团队完成了两台大型听神经瘤手术
![]()
CASE 1 [复发听神经瘤 ]
患者:男, 57y
五年前因听力下降,核磁共振检查发现听神经瘤
最大径约3.0cm,行右侧听神经瘤切除术
现患者出现右边脸部麻木6个月,复查磁共振提示肿瘤复发
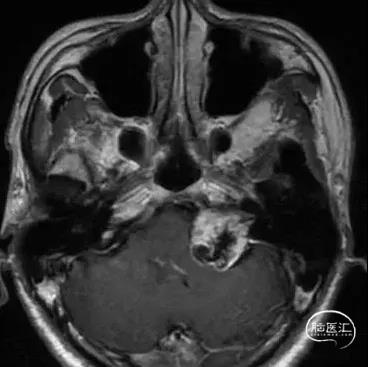
最大径约3.9cm
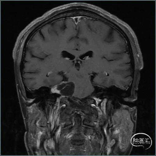
术前影像资料




术前听力

术中
时长:4h
肿瘤质地:囊实性

内镜视野

45度神经内镜下

将内听道底部肿瘤切除
患者术后

患者术后5天面神经功能

[和手术前并无差别]
—结语—
该例患者属于复发听神经瘤,病人有三叉神经受压等不适症状,因之前内听道深部有肿瘤残留,经过近5年观察,发现肿瘤有生长并压迫三叉神经。
术中发现肿瘤囊性部分张力较大,对三叉神经、面神经和脑干压迫明显。
内听道扩大明显,内听道底很深,术中内听道后壁磨除超过一公分,仍无法触及内听道底,后改为45度神经内镜下用带角度的刮匙将内听道底部肿瘤切除,在内镜下面神经在内听道壁左侧。
约99%的听神经瘤都有内听道内生长,很多患者都有内听道内肿瘤残留,有的患者残存部分术后仍会生长,在切除听神经瘤时我们建议要磨除内听道后壁,才能切除内听道内肿瘤,全切肿瘤。
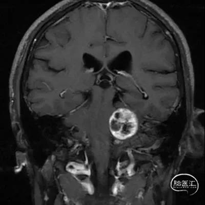
CASE 2 [ 左侧大型听神经瘤 ]
患者:男, 56y,左耳听力下降半年加重3月
肿瘤最大径约3.6cm
术前影像资料



扩大的内听道

术前听力

患者手术进行中
该患者听神经瘤内听道口扩大很大,肿瘤在内听道内长入很深,肿瘤大部分是纤维结构,肿瘤质地很硬,血供很丰富和周围组织粘连很紧。为保护面神经功能,手术过程电生理经常报警,手术不得不经常停下来等待电生理监测波形恢复正常。术后面神经完整保留,手术历时4.5小时。


术后3天面神经功能

面神经功能2级
备注:
两例患者均行枕下乙状窦后入路
手术切口长约4cm,肿瘤全切
术中出血很少,没有输血
两例患者术后听力与手术前比差别不大

听神经瘤是脑外科较为复杂的颅底疾病,除了肿瘤全切外,手术后患者面神经、听神经功能可能会受到损伤。手术需要主刀极大的耐心,娴熟的手术功底和整个 团队的充分配合。我们虽不能保证每一位患者都是1级保留,但是我们整个团队会尽最大的努力去为你们护航!
因为你们的微笑是我们的骄傲!





