
01
患者基本情况



02
诊疗经过

2. 2020年7月1日起,行TTFields治疗+TMZ 6周期。


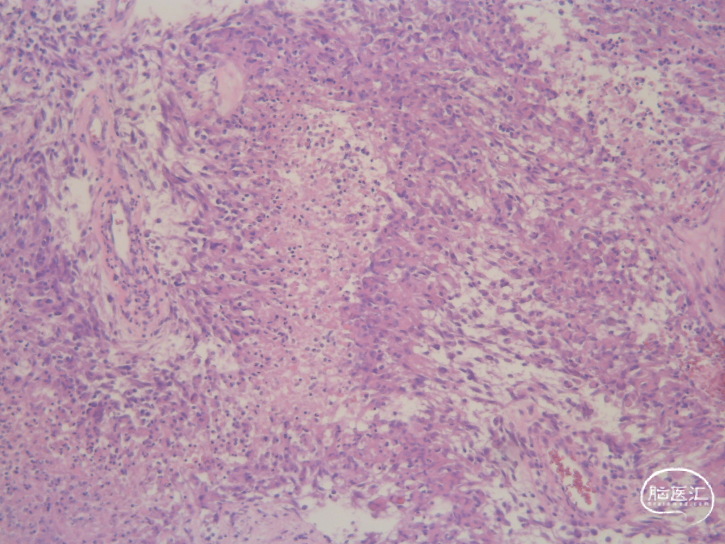
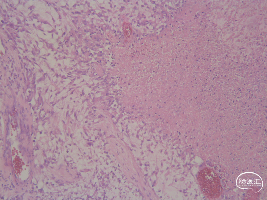
3. 2021年3月18日,2021年3月起,患者诉左侧肢体乏力,需搀扶行走。影像学检查显示,右侧脑室后角旁见结节样环形强化灶,直径7-8mm。MRS:NAA峰可见下降,Cho峰升高。Cho/Cr为0.748,Cho/NAA为2.13,考虑肿瘤复发可能。患者行射波刀治疗(24Gy/4FX),TMZ+安罗替尼2周期,TTFields重新定位,电场治疗调整贴片位置。






03
总结
专家简介

医学博士、硕士生导师、上海交通大学医学院附属仁济医院神经外科主任医师、肿瘤病区主任 长期从事神经外科医、教、研工作,曾于2000-2002年在德国马尔堡大学医院做访问学者并担任临床医师,师从世界著名神经外科大师、脑肿瘤及脑血管病专家Bertalanffy教授。在临床上拥有扎实的神经外科理论功底和丰富的临床经验,尤其擅长高难度的颅底肿瘤、脑血管病、脊髓肿瘤的显微手术治疗。作为国内第一批立体定向放射神经外科医师熟练掌握头部伽马刀治疗神经外科疾病,曾担任仁济医院头部伽马刀科副主任。入选2014年-2018年全国百强医生榜脊髓栓系手术Top10医生。近年以来以项目负责人申请上海市科委课题一项,校级横向研究课题二项,发表论文二十余篇,其中SCI 8篇。参加编写著作五部 世界神经外科委员会(WFNS)会员 中国医师协会神经外科分会上海分会常委 中华医学会神经外科上海分会小儿神经外科学组副组长

上海国际医学中心放疗科主任,硕导 上海医学重点专科—肿瘤专科学科带头人 主持国家及市级课题3项,获市抗癌协会科技奖1项 发表论文20余篇,专著3册,国家知识产权登记4项 擅长头颈部肿瘤、肺癌等实体肿瘤精准放疗 致力于推广社区居民早癌宣教、筛查及干预等工作 上海市医学会肿瘤放射治疗专科分会委员 上海市医师协会肿瘤放射治疗专科分会委员 上海市抗癌协会肿瘤放射治疗专科分会委员 上海市抗癌协会胃癌分子靶向与免疫治疗专业委员会委员 上海市中西医结合学会第一届肿瘤微创专业委员会委员 上海市疾控中心肿瘤外科和跨学科治疗专业委员会委员

肿瘤学博士,仁济医院放疗科主治医师 上海市抗癌协会放射治疗青委会委员 上海市浦东新区医学会放射专委会委员 上海-渥太华联合医学院本科生导师 2005年起长期从事恶性肿瘤放射治疗工作,积累了丰富的临床经验,包括肿瘤放射治疗,全身化疗,分子靶向治疗及免疫治疗。专业方向:恶性肿瘤放射治疗(神经系统原发继发肿瘤,脑胶质瘤,乳腺癌,肠癌,骨转移等) 第一作者及通讯作者发表SCI论文7篇,单篇IF:8.7分,中文核心期刊10余篇。第一发明人申请专利一项,第二发明人发表专利三项。作为副主编撰写专业书籍1本,参译1本,参编3本。主持基金二项,参与国自然面上及市科委项目等科研工作




