
01

内镜下脑内血肿清除术





02

颅内异物取出术(典型病例)






03

阵发性交感过度兴奋综合征的识别和处理
李某,男性,36岁
2017年5月24日,因“车祸伤致意识丧失5天”由外院转运并收住我科,转运途中给予镇痛、镇静,保证途中安全。
转入诊断:多发伤
1、急性闭合性颅脑损伤 弥漫性轴索损伤
2、失血性休克 脾破裂 脾切除术后 切口感染
3、肺挫伤 肺部感染
4、 气管切开术
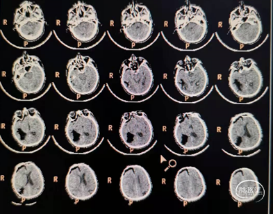
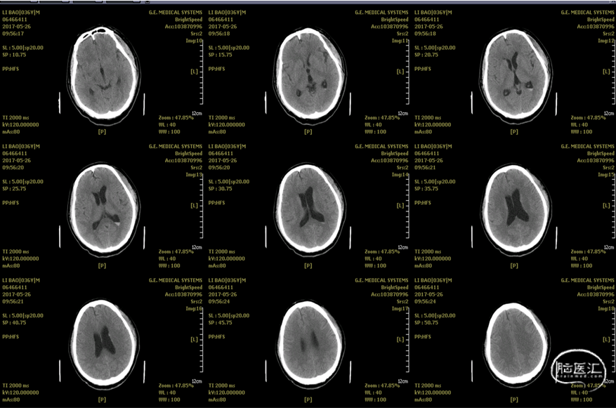
2017-5-24: 头颅 CT
发热、心率增快、呼吸急促、肌张力增高、双上肢屈曲。
2017-6-25(day 31), 转出监护室 ,在普通病房继续治疗;
2017-7-11(day 47),好转出院, GCS 14。

04

合理应用抗生素治疗
患者:秦某, 男, 61岁
2019.10.16因脑干出血收住当地医院ICU,间断发热,气切后反复脱机失败。
2019.11.22晚转我院,入院后简化治疗方案,11.25晨脱机。
痰培养报告(第一次)
2019.11.26痰培养:MRSA、铜绿,药敏结果(略)
痰培养报告(第一次)
2019.11.27痰培养:肺克、铜绿,药敏结果(略)
痰培养报告(第一次)
2019.11.27痰培养:肺克、铜绿
间断发热考虑为中枢性,住院的11天内未使用抗菌素,连续脱机一周,12月3日病情好转回当地医院继续治疗
科室简介
宁夏医科大学总医院神经外科从成立这初便开展了颅脑创伤的诊治与研究。2010年自总医院神经外科开始建立亚专科以来,即成立了独立的颅脑创伤和神经重症亚专业。亚专业有副主任医师3名,硕士生导师1名。
神经外科颅脑创伤和神经重症亚专业目前有普通床位15张,神经重症监护床位10张。科室每年完成300例左右颅脑创伤相关手术,手术范围包括重型颅脑创伤、严重多发伤和颅底创伤,应用多种先进技术例如神经内镜下颅底的修复与重建、脑脊液漏修补,多例严重的颅底异物穿通伤患者通过微创手术清除异物,进行颅底重建,患者最终康复出院。另外还开展了腹腔镜下脑室腹腔分流手术,3D打印的PEEK材料进行颅骨修补,使患者的颅骨缺损得以完美修复重建,正中神经电刺激促醒长期昏迷患者。神经外科重症监护室每年收治各类重型颅脑创伤,脑血管病,脑肿瘤手术病人约1000人次,病房拥有多功能中心监护站,呼吸机,颅内压监护仪,血栓弹力图,亚低温治疗仪等多种高级神经重症监测设备,以重型颅脑创伤患者的颅内压监测为基础,逐步开展了脑温、脑血流、脑氧以及持续脑电监测等多模态监测,医疗特色技术包括亚低温治疗重型颅脑创伤,颅内多重耐药感染综合治疗,复杂创伤性凝血病以及神经重症营养支持治疗等,神经重症患者救治能力居国内先进水平。
科研教学方面,近5年主持国家自然科学基金1项,参与承担国家及省部级课题10余项,发表SCI论文6篇。
作者简介
马泽
宁夏医科大学总医院神经外科主任医师,1994年毕业于北京医科大学临床医学系。同年分配至宁夏医科大学总医院,经外科轮转工作后于1997年到神经外科工作,一直从事神经外科临床工作至今,中间经历北京天坛医院进修,2014年取得在职研究生学历。本人多年从事临床工作,目前致力于神经外科外伤及重症专业。
牛占锋
宁夏医科大学总医院
外科学博士,硕士研究生导师,任中国医师协会神经外科分会神经重症专业委员会委员。主持国家自然科学科学基金1项,省部级课题2项,参与国家及省部级科研10余项,以第一作者或通讯作者发表论文10余篇,其中SCI论文6余篇,获得宁夏自治区科技奖二等奖1项,副主编专业著作1本。临床特长:主攻颅脑创伤和神经重症方面的临床和基础研究,对重型颅脑创伤和严重多发伤的救治、颅底异物穿通伤、脑血管病和颅内肿瘤术后管理、颅内感染、创伤性凝血病、癫痫和长期昏迷的促醒治疗有着丰富的临床经验,相关治疗经验发表在World Neurosurgery等神经外科专业期刊上。