

刘付轩聪
教授
东莞康华医院
副主任医师。广东省医学会介入医学分会神经介入学组成员;广东省临床医学学会介入神经病学专业委员会委员;广东省医师协会神经介入医师分会基层医院神经介入专业组委员;广东省中西医结合学会卒中专业委员会委员;广东省基层医药学会神经外科专业委员会委员;广东省医院协会粤港澳大湾区神经外科联盟理事。
2005年毕业于南方医科大学,医学硕士。对各类神经系统疾病的诊断和治疗有丰富的临床经验,擅长各类颅脑损伤危重症救治,特别是脑动脉瘤、动静脉畸形、脑动脉狭窄、闭塞开通等血管疾病的显微介入治疗。
担任神经介入医疗组长,先后完成各类3-4级急诊手术500余台次,各类神经介入手术近千台次,其中脑动脉瘤及急性缺血性脑卒中血管内治疗近400余台。
参与“国家重点研发计划项目(2016YFC1301500)”研究1项,东莞市课题研究1项。
病例一
01
病例简介
基本信息
患者女性,72岁。
主诉
口周麻木10天。2021-05-06CT提示多发腔隙性梗死,脑白质变性,颈内动脉颅内段硬化。
查体
入院一般情况可。
既往史
既往高血压、高血脂病史,控制良好。
02
术前影像结果

图1 MRI未见明显新发病灶。





图2 头颅CTA提示右颈内末端动脉瘤,前交通动脉瘤
右颈内动脉交通段以远瘤样扩张,钙化明显,载瘤动脉完全瘤化,局部可见多处小阜突起,无明显瘤颈,最大约16mm╳11mm,前交通囊状动脉瘤约4mm╳3mm,瘤颈约4mm。
03
术前诊断及方案
术前诊断:
颅内多发动脉瘤(右颈内、前交通)。经与患者及家属沟通,先行右颈内动脉瘤介入治疗,前交通动脉瘤二期处理。
手术指征:
动脉瘤形态不规则,局部可见多处小阜突起,破裂出血风险高。
手术方案:
血流导向装置置入术。
手术风险:
术中动脉瘤破裂出血,急性动脉闭塞,急性支架内血栓形成,穿支事件,支架置入后迟发动脉瘤破裂出血。

图3 经过4天术前准备,血小板聚集率达标
04
DSA造影
造影提示主动脉弓开口尚可,但颈动脉迂曲明显。
前交通囊状动脉瘤约4mm╳3mm,瘤颈约4mm。
右颈内动脉交通段以远瘤样扩张,载瘤动脉完全瘤化,局部可见多处小阜突起,无明显瘤颈,最大约16mm╳11mm。
右侧后交通动脉自瘤体远端发出。
右侧大脑中动脉直径约3mm,颈内动脉海绵窦段约4.5mm。





图4
05
手术过程
由于颈部血管迂曲明显,选择Neuron MAX 6F 088长鞘顺利到达右颈内动脉C1末端做近端支撑。Synchro 0.014 200微导丝及XT-27微导管引导CAT 5(Catalyst 5)导管同轴越过右颈内动脉末端动脉瘤至右大脑中动脉瘤M1末端后撤出微导丝微导管,保留CAT 5导管。
选取Surpass Streamline 5mm╳40mm经CAT 5导管释放。由于血管迂曲,支架与CAT 5导管摩擦较大,Surpass Streamline无法推出。


图5
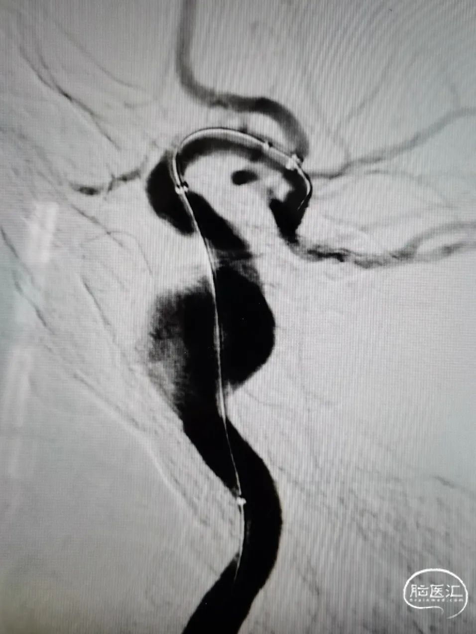
将Neuron MAX 6F 088长鞘尽可能送达右颈内动脉岩骨段,将Surpass Streamline在体外推送至支架导管头端MARK点,再经CAT 5导管释放。考虑动脉瘤颈宽大,载瘤动脉瘤样改变,Surpass Streamline远端定位右侧大脑中动脉M1中远段,结合推拉技术,顺利释放Surpass Streamline,并行导丝充分按摩。


图6
06
术后造影
术后即可造影可见造影剂滞留,术后顺利复苏,无不适,术后5天出院。






图7
术后三个月返院复查提示血管进一步修复,造影剂滞留明显。




图8
病例二
01
病例简介
基本信息
患者男性,73岁。
主诉
头痛2天。2021-09-19外院CT提示右鞍旁类圆形稍高密度影。
查体
入院一般情况可。
既往史
既往史无特殊。
02
术前影像结果

图1 MRI未见明显新发病灶。


图2 头颅CTA提示右颈内海绵窦段动脉瘤,基底动脉中段重度狭窄。
右颈内动脉海绵窦段起始部类圆形瘤样扩张,最大约19mm╳14mm,瘤颈约14mm,基底动脉中段重度狭窄。
03
术前诊断及方案
术前诊断:
右颈内动脉瘤(海绵窦段),基底动脉重度狭窄(中段)。经与患者及家属沟通,先行右颈内动脉瘤介入治疗,基底动脉狭窄二期处理。
手术指征:
动脉瘤较大,破裂出血或瘤内血栓脱落风险高。
手术方案:
血流导向装置置入术。
手术风险:
术中动脉瘤破裂出血,急性动脉闭塞,急性支架内血栓形成,支架置入后迟发动脉瘤破裂出血。

图3 经过5天术前准备,血小板聚集率达标
04
手术过程




图4右颈内动脉海绵窦段起始部类圆形瘤样扩张,最大约19mm╳14mm,瘤颈约14mm,瘤内射流明显,载瘤动脉远端5mm,近端4.5mm。
8F常规指引到右颈内动脉开口做近端支撑。Synchro 0.014 200微导丝及XT-27微导管引导CAT 5导管同轴越过右颈内动脉瘤至右大脑中动脉M1。由于动脉瘤颈较大,微导丝引导XT-27微导管,无法直接通过,采用瘤内成袢技术通过。选取Surpass Streamline 5mm╳30mm经CAT 5导管释放,并行微导丝及CAT 5导管按摩。



图5
05
术后造影
术后对比瘤内喷射征明显减少,造影剂滞留明显。行CT重建提示支架贴壁良好,术后顺利复苏,4天后顺利出院。


图6








