2021年12月10日发布 | 1416阅读
神经介入-动脉瘤

超越时克-Surpass Streamline专栏|陆骊工:Surpass Streamline治疗多发动脉瘤及随访

陆骊工

珠海市人民医院

程光森

珠海市人民医院

刘永康

珠海市人民医院

史赛克.jpg



本期嘉宾

陆骊工 教授

珠海市人民医院



医学博士,主任医师,二级教授,博导,博士后合作导师。珠海市人民医院医疗集团(暨南大学附属珠海医院)院长,清华大学智慧医疗研究院副院长、暨南大学介入与智能医学工程研究院院长,珠海市介入诊疗中心主任,广东省介入智造工程技术研究中心主任,广东省放射介入医疗质控中心主任,广东省肿瘤微创诊疗转化医学创新平台主任,粤港澳大湾区介入医学联盟发起人。

享受国务院政府特殊津贴,入选国家百千万人才工程,荣获有突出贡献中青年专家,全国卫生计生系统先进工作者,广东省医学领军人才,首届广东省医师奖等荣誉称号。建立了广东地区最大规模的介入诊疗中心和介入医学研究中心。近五年已在Hepatology, Nature communications, J Natl Cancer Inst, Adv Funct Mater, Advanced Science, Trends in Immunology及Proc Natl Acad Sci U S A等期刊发表SCI论文100余篇。目前主持与参与国家科技部重点研发计划,国家国防科技工业局核能开发重点专项及国家自然科学基金等课题10余项,受理及授权专利25项,主编/主译学术专著10余部,科研成果先后获广东省科技进步三等奖、中国抗癌协会科技二等奖及广东省科技进步一等奖,《国家卫计委原发性肝癌诊疗规范》(2019版)编委会介入组副组长。

学术任职:中国医师协会介入医师分会副会长,中华医学会放射学分会介入学组副组长,中国抗癌协会肿瘤微创治疗专委会副主任委员,中国非公立医疗机构协会介入医学分会副会长,中国临床肿瘤学会放射介入治疗专委会副主委,广东省医学会介入分会主任委员,广东省医师协会副会长,广东省医院协会副会长。



本期嘉宾

程光森 教授

珠海市人民医院



珠海市人民医院脑血管病科主任,脑血管病诊疗中心副主任

主任医师,医学博士,岭南名医

国家脑防委缺血性卒中专家委员会委员

中华放射学分会介入专委会神经介入组委员

广东省医师协会脑血管病分会常务委员

广东省医师协会神经介入分会常务委员

珠海市医师协会脑血管分会主任委员

神经介入资讯编委

从事神经介入20余年,擅长各类急慢性脑梗塞的微创介入治疗,脑动脉瘤、血管畸形等各种脑出血的介入治疗,血流导向装置全球导师,共进行各类神经介入诊疗5000余例,先后于德国基尔大学附属医院、美国纽约康奈尔大学神经介入中心学习交流,主持多项省市级课题,参与多项国际国内多中心临床研究,发表论文20余篇。



本期嘉宾

刘永康 教授

珠海市人民医院



珠海市人民医院脑血管病中心秘书。毕业于南方医科大学,医学博士。中国医师协会神经介入专业委员会青年委员,广东省医学会介入分会神经介入学组副组长,广东省神经介入基层医院专业组副组长,珠海市脑血管病分会委员。2021年珠海市卫生系统青年才俊。发表SCI论文7篇,其中1作4篇,参与国自然两项。先后于天坛医院、宣武医院及珠江医院进修学习脑血管疾病微创介入诊疗技术。是国内获得PIPELINE血流导向装置及Surpass Streamline血流导向装置双带教资格的最年轻导师。


病例介绍


Surpass Streamline



病例1





患者基本信息


🔆  女性,73岁

🔆  主因“头晕伴发作性右侧肢体乏力1周余”入院。

🔆  既往史:高血压、糖尿病史多年,血糖及血压控制欠佳。

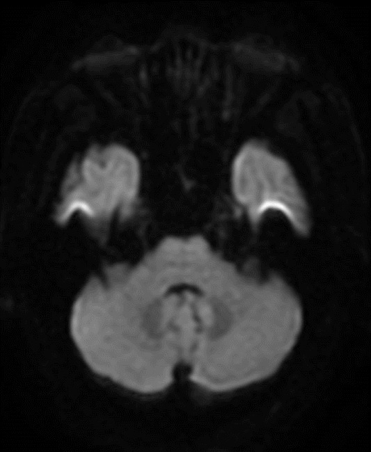
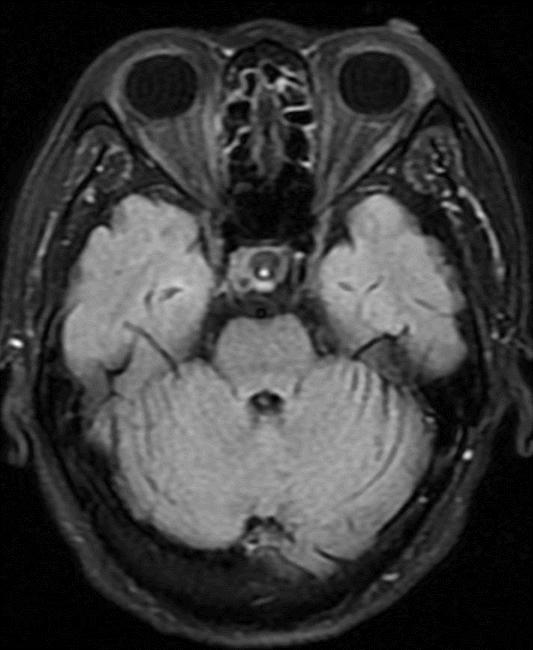
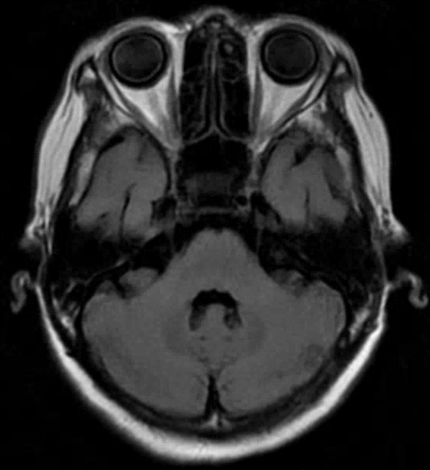
🔆  MRI+MRA检查:脑内散在少许腔隙性脑梗塞及小缺血灶。轻度脑白质疏松症;脑萎缩。脑动脉硬化伴双侧大脑后动脉、颈内动脉节段性狭窄。双侧颈内动脉C5段突起影,动脉瘤可能。



术前影像





MRI+MRA





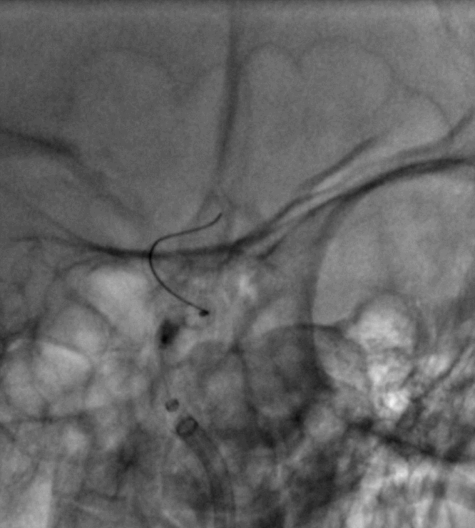
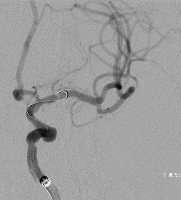
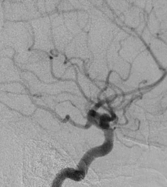
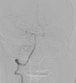
脑血管造影(主动脉弓造影及后循环)





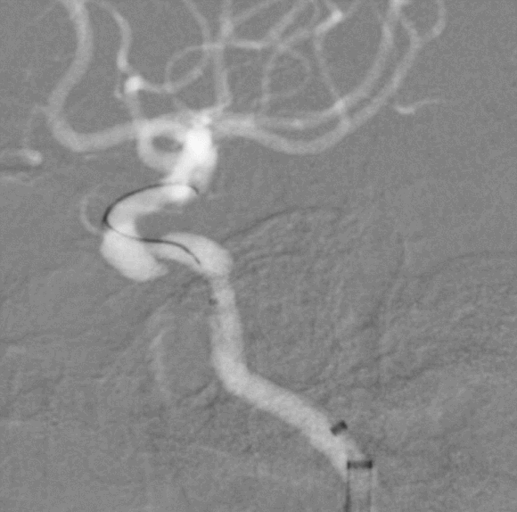
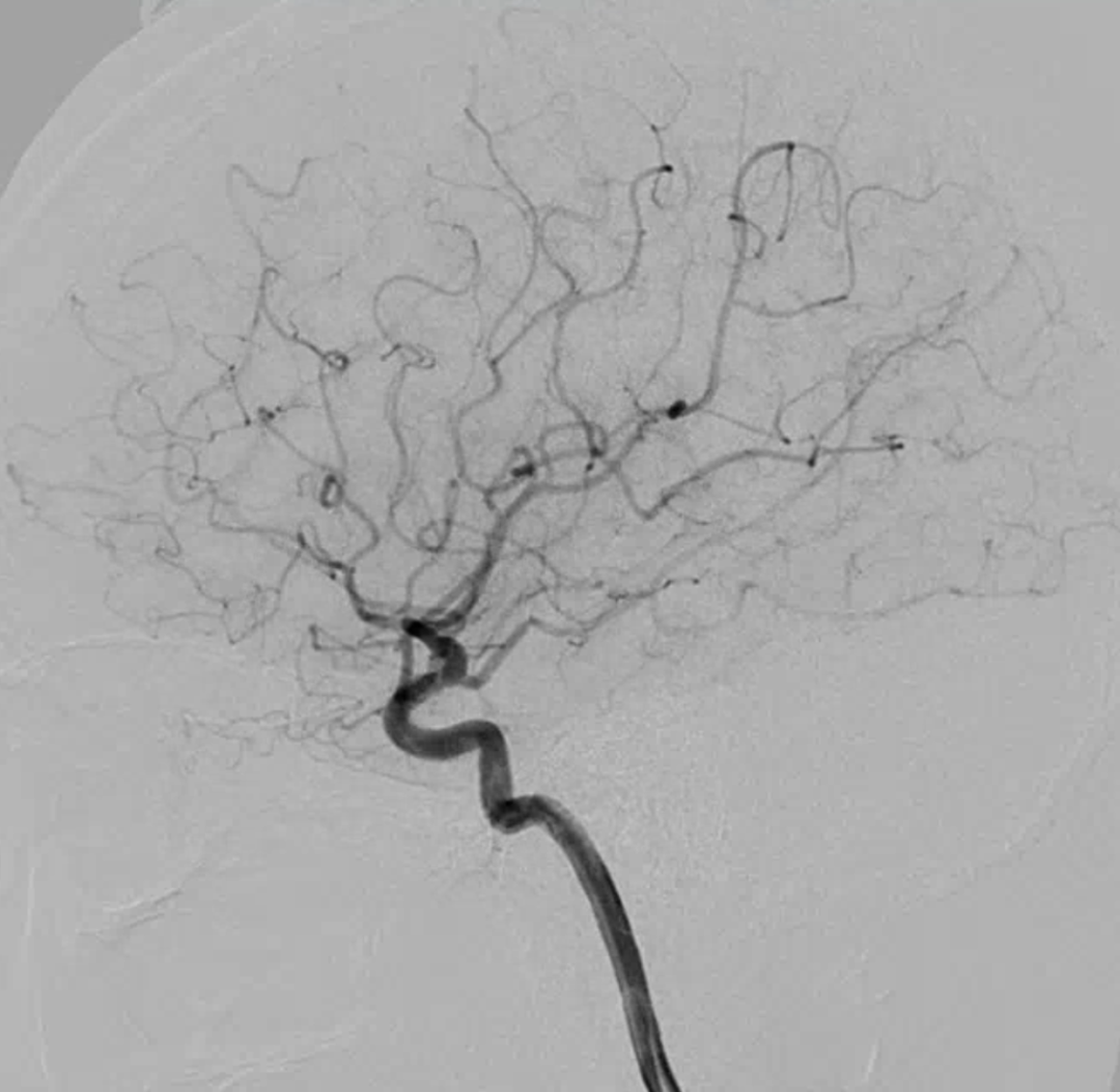
右侧颈动脉造影




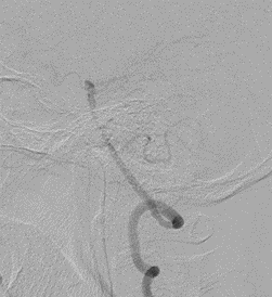
左侧颈动脉造影






左侧颈内动脉重建(左侧狭窄及扩张较右侧更甚)





术前讨论

1. 患者双侧颈内动脉多发瘤样扩张及狭窄,其中左侧为甚,破裂出血及出现缺血事件风险较高

2. 拟单枚Surpass Streamline覆盖长段病变

3. 拟先释放支架,必要时后扩处理狭窄及贴壁欠佳



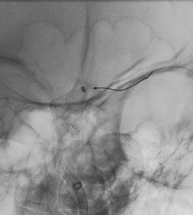
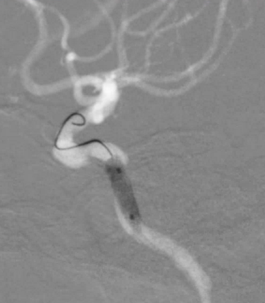
手术过程

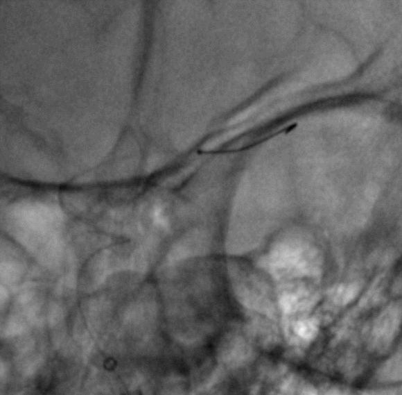
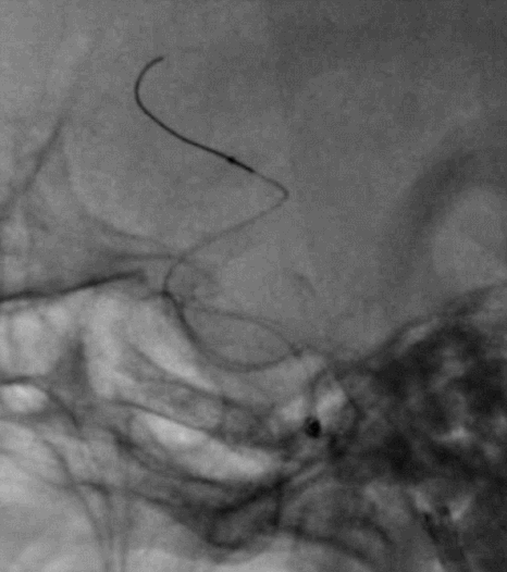
Cat5完全释放支架后,拉推送杆后支架近端打开,后将Cat5跟进血流导向装置内尝试“按摩”,支架整体贴壁不够理想。

Cat5通过后海绵窦段狭窄即较前改善

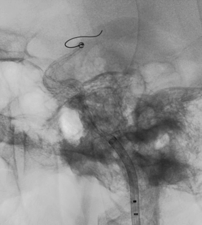
Cat5提供稳定通路,引入3.5mm×10mmHiryu球囊扩张由远端及近端扩张狭窄段及支架贴壁欠佳处







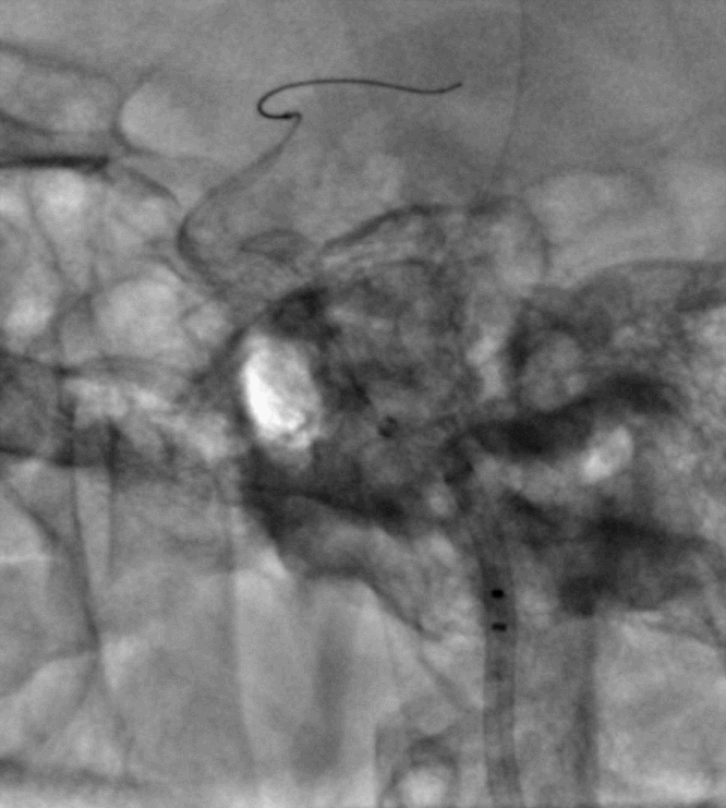
造影示狭窄及贴壁较前进一步改善





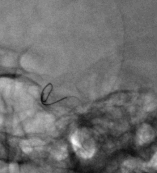
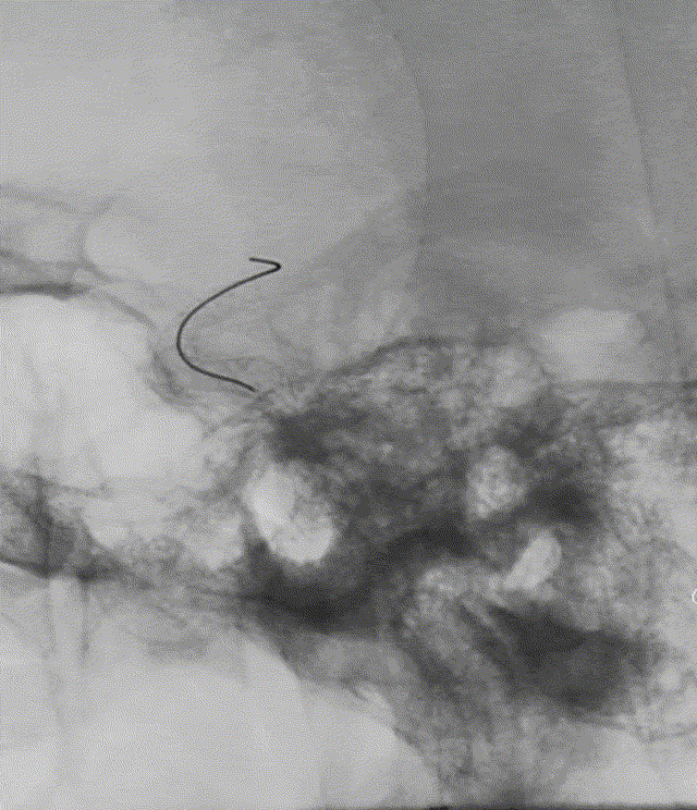
导丝成袢,继续“按摩”改善贴壁

“按摩”后再次造影,C2段狭窄仍较明显且贴壁欠佳



再次引入球囊扩张近端

扩张后再次复查造影示支架打开及贴壁较前明显改善



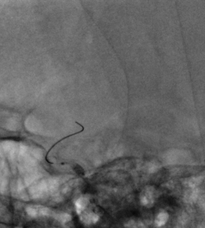
标准正侧位造影未见远端血管栓塞

稀释造影提示支架贴壁可,狭窄改善



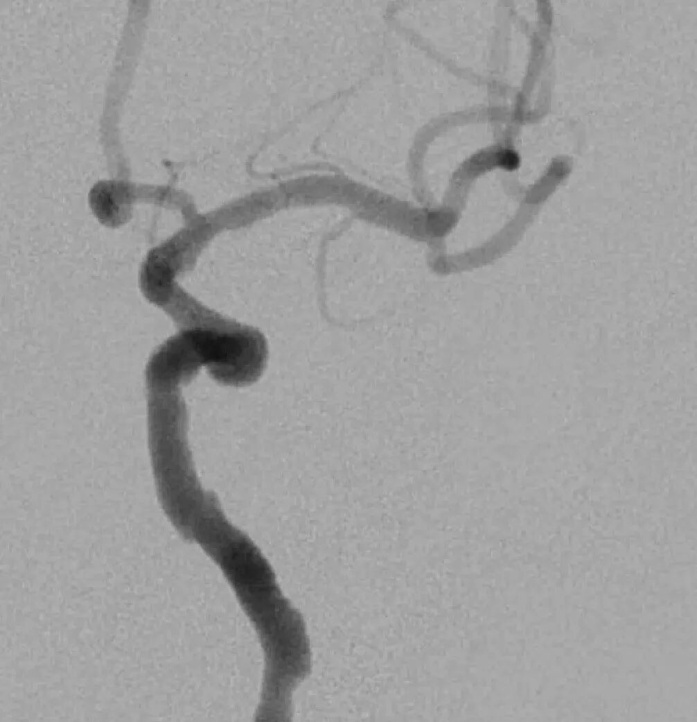
术后3月余复查:血管重塑良好,狭窄及动脉瘤均较前改善


























术前                         术后3个月



























病例2





患者基本信息


🔆  女性,64岁

🔆  主因“反复头痛20年,加重8天”入院

🔆  既往史:慢性胃炎、胃食管反流、便秘、睡眠差、腰椎间盘突出、甲状腺结节病史,有卵巢瘤、宫外孕、右肾结石手术史

🔆  行头MRI+MRA示:脑内散在小缺血灶;老年性脑萎缩;双侧颈内动脉床突上段动脉瘤



术前影像


MRI+MRA








右侧颈动脉造影




左侧颈动脉造影





手术过程

左侧瘤体形态欠规则,4mm×30mm Streamline 优先处理左侧动脉瘤






















术后3月复查,瘤体未见显影,载瘤动脉通畅




同期4mm×20mm Streamline 进一步处理右侧动脉瘤





病例3





患者基本信息

🔆  男性,64岁

🔆  主因“反复头晕3年,加重4天”入院。

🔆  既往史:脑梗死病史及糖尿病史

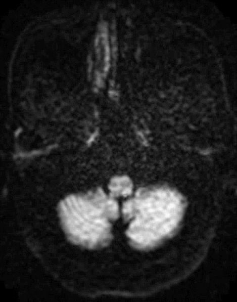
🔆  行头MRI+MRA示:右侧丘脑亚急性脑梗塞;轻度脑萎缩;部分空泡蝶鞍;脑动脉硬化并多组脑动脉轻度狭窄;右侧颈内动脉虹吸段外动脉瘤待排。



术前影像


MRI+MRA








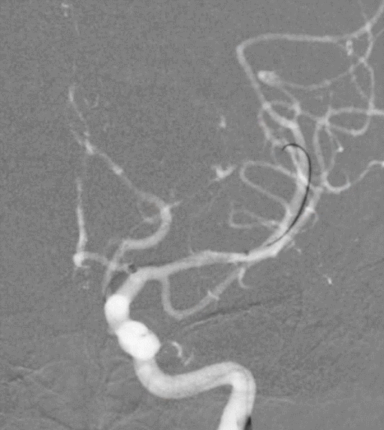
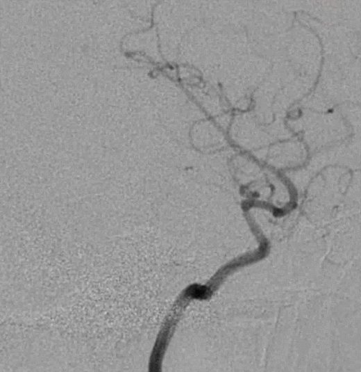
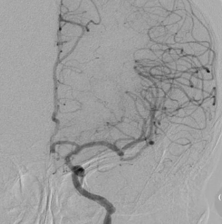
脑血管造影提示右侧颈内动脉颅内段多发动脉瘤(反主动脉弓)


脑血管造影提示右侧颈内动脉颅内段多发动脉瘤












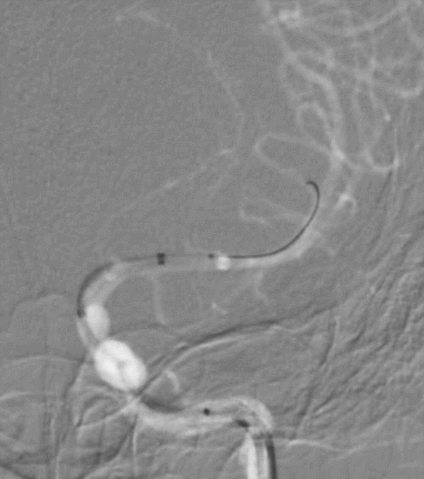
4mm×30mm Streamline




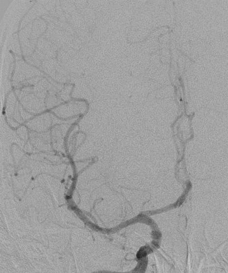
术后4月余随访:多发动脉瘤均未见显影,远端残余轻度狭窄









术前术后对比




术者体会

1. Surpass Streamline适用于多发动脉瘤合并狭窄的复杂病例;导流效果卓越;

2. 远端定位可相对精准可控,近端定位需要准确测量后方可准锚定;

3. 支架释放后留置导丝及可跟进CAT5,让后续操作变得从容可控;

4. 编织网丝/方式决定支架较硬,带来径向力强的优势;CAT5跟进按摩甚至是长鞘也很少导致支架卷曲套叠

5.支架通体显影,但有时需要多角度观察、稀释造影评估贴壁情况;

6. 支架若锚定在拐弯处,需导丝反复按摩必要时尝试球囊扩张或贴EZ支架促进贴壁以降低远近端狭窄。

总结:Surpass Streamline较其他血流导向装置导流作用更强,可以看到很好的动脉瘤闭塞随访结果。其独特的支架设计使得打开更容易,选择更长的支架也不担心。根据我们中心经验,其随访结果显示的安全性、有效性令人满意。


Stryker





END



声明:脑医汇旗下神外资讯、神介资讯、脑医咨询所发表内容之知识产权为脑医汇及主办方、原作者等相关权利人所有。未经许可,禁止进行转载、摘编、复制、裁切、录制等。经许可授权使用,亦须注明来源。欢迎转发、分享。

最新评论
发表你的评论
发表你的评论