由山东大学第二医院神经外科孟庆虎副主任医师为大家带来:从烟雾病患者术后复查谈脑血管搭桥手术设计,欢迎阅读、分享!
病例介绍
近期,一例烟雾病患者于脑血管搭桥术后7月复查脑血管造影(DSA),结果比较满意。
患者女,31岁,因“右侧基底节区脑出血”行脑血管造影检查,发现烟雾病。
术前右颈内动脉正位:
术前右颈总动脉侧位:
行右侧颞浅动脉顶支-大脑中动脉搭桥+硬膜翻转+颞肌贴敷术,术后7月复查,其间患者未出现脑卒中发作,磁共振检查无新发梗塞灶。
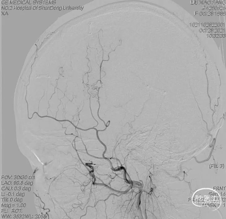
术后复查
复查DSA:右侧颈外动脉侧位造影显示桥血管(右侧颞浅动脉顶支)走行向大脑半球上外侧面中央前回区域。

周围还可以看到一些颞浅动脉额支和硬膜新生血管供血。
做磁共振单支血管供血范围t-ASL检查,可以看到右侧颞浅动脉向中央前回区域供血。
如果标记右侧颈外动脉,脑内看到的标记区域包括颞浅动脉顶支(桥血管)和新生血管(颞浅动脉额支和脑膜新生血管)的供血范围;上图是仅仅标记颞浅动脉,所以主要是桥血管的供血区域,排除了新生血管的供血。
从DSA和t-ASL的结果来看,桥血管主要供应了中央前回,也就是运动中枢的范围,这符合我术前的设想。我的目的,就是先保证运动区的供血,防止运动区梗塞造成瘫痪等重要神经功能障碍。

当今烟雾病脑血管搭桥手术设计,前辈们做出了很多引领性的探索。比如复旦大学附属华山医院徐斌教授,手术设计方针是“向脑组织供应尽可能多的血流”,比如吻合口选择大脑前动脉代偿血流的远端、顺向血流、创造尽可能大的供受体血管内压力差△P等等。再如复旦大学附属华山医院顾宇翔教授,着眼于“把血液供给最缺血的区域”,应用脑灌注和脑代谢、高密度脑电等方法,寻找脑组织最缺血的区域,从而把血管搭桥到最需要的地方。
我记得初中学习思想政治课的时候,常常出现“国有经济是主要的经济成分,民营经济是重要的组成部分”之类的表述;我理解,“主要的”是指占的比例最大,“重要的”是指重要性上非常重要。两位前辈的思路,我理解就是“量尽可能多”和“作用尽可能重要”的区别。
当我们医院影像科开始应用t-ASL技术以后,我开始看到桥血管的供应区域,就开始从脑组织的角度思考问题。我应该把血液提供到哪个区域?我想,烟雾病的脑组织里面肯定有“最缺血”的区域,但是随着病程的进展,这个区域是随着时间而变的:比如大脑中动脉闭塞,还能得到大脑前代偿血流的部位相对不太缺血,这两根血管的“分水岭区域”最缺血;而等大脑前动脉也闭塞了,那大脑中分布区的远端,也就是大脑中与大脑后动脉邻近的“分水岭区”可能就最缺血了。如果再考虑搭桥以后建立的颅外血流这个变量,情况就更复杂了。
缺血区域随着时间而发生空间上的改变,这怎么去追逐呢?我想,随着烟雾病发展到末期,大脑前和大脑中都闭塞,哪里是我们最需要拯救的区域?或者说,我们的手术目的、我们跟家属谈话的重点、家属最大的期待,是什么?是“不要瘫痪”啊。感觉区重要,白质重要,但最重要的是运动区-中央前回,这才是我们最需要保护的区域。自始至终保持运动区的血流、避免脑梗塞,对病人的预后是最重要的。
硬膜、颞肌会形成新生血管的代偿血流,但那是不能完全预料和把握的,我们能把握在手里的第一个机会,是桥血管搭桥的部位;让桥血管的血液流向运动区,第一时间也是以后永久地保护住运动功能,就是对病人短期收益和长期收益的首要保障。
前辈们的思路是“量尽可能多”和“作用尽可能重要”,我想我的思路要描述的话,就是“尽可能一直重要”。
经验有限,见识浅陋,思路单一;若能抛砖引玉,幸甚幸甚。
作者简介
孟庆虎 副主任医师
山东大学第二医院
山东大学第二医院副主任医师,西安交通大学七年制硕士,导师为师蔚教授;首都医科大学博士,导师为于春江教授。从事脑血管病工作多年,2008年接受北京三博脑科医院显微外科培训,2014年于北京宣武医院接受颈动脉内膜剥脱专项培训。现任国家卫生计生委脑卒中防治专家委员会缺血性卒中外科专业委员会委员、山东省医学会显微外科学分会第二届委员会委员、山东卫生人力资源管理协会医院感染管理专业委员会常务委员、山东省抗癌协会神经肿瘤分会首届青年委员会委员、山东省疼痛研究会第二届神经损伤专业委员会委员。专注于脑血管搭桥及颈动脉内膜剥脱治疗缺血性脑血管病。