今天神介资讯为大家带来北京大学第三医院韩金涛教授团队的——“兵贵神速”-两例MCA取栓术中Sofia Plus的优秀性能体会,欢迎阅读!

北京大学第三医院 脑血管病中心 & 介入血管外科脑血管病组

韩金涛教授团队(韩金涛、贾子昌、赵世录)
韩金涛
临床外科博士,北京大学第三医院脑血管病中心副主任。
专业方向为脑血管病介入及开放手术。
擅长颅外及颅内动脉支架成形、颈动脉、椎动脉内膜剥脱及旁路术、颈动脉及椎动脉复合手术、颅内动脉瘤栓塞以及脑梗塞机械取栓等。
任中华放射学分会介入学组青年委员,北京医学会介入医学分会委员、复合手术学组委员,北京医学会神经外科分会神经介入学组委员及中国医师协会血管外科医师分会颈动脉学组委员。
前 言
2019年发表于Lancet的COMPASS研究以及2017年发表于JAMA的ASTER研究显示:对于发病6小时内的前循环大血管急性闭塞(LVO),直接抽吸术在血管开通率、90d mRS等方面不劣于支架取栓术。2019版AHA/ASA指南根据上述RCT结果,将直接抽吸术作为不劣于支架取栓的首选技术进行了推荐(I,B-R)。新设计的6F Sofia Plus导管内径达到0.070’’(现有同类产品最大)-进一步提高了抽吸效率,并具有通过性能优异等优点,近期在疫情期间我科对两例MCA栓塞的患者进行治疗并取得满意效果。汇报如下。

病 例
Case 1
患者信息
患者女性,74岁;主因“突发左侧肢体无力5小时”急诊入院。
既往史:高血压病史12年,规律服药控制可;无房颤病史。
专科查体:NIHHS12分(凝视1 面瘫1 左上肢4 左下肢4 感觉1 语言1)。
辅助检查:血糖 6.5mmol/L;心电图:心率76次/分,窦性心律。
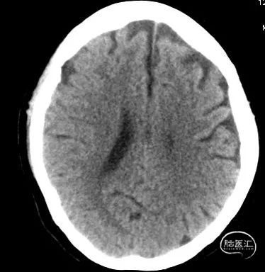
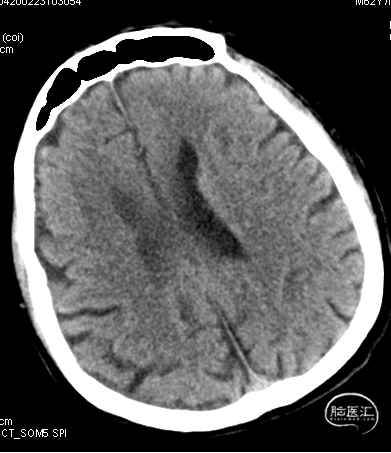
急诊颅脑CT+CTA:多发腔梗,ASPECTS评分:8分;CTA示右侧M1闭塞。



急诊颅脑CT+CTA
手术情况
术中器械
8F短鞘,8F MPA
6F Sofia Plus导管
Transend-14 205cm微导丝
Headway-21微导管
手术操作
局麻,右股动脉入路置8F短鞘,导管导丝技术将8F MPA置于右C1末端,造影确认右M1急性闭塞,侧支代偿差。
以Transend-14导丝 + Headway21导管到达M1中段,Sofia Plus顺畅到位(M1中段),ADATP技术抽吸取栓,一次成功取通,前向血流TICI 3级,无栓子逃逸及原位狭窄,穿刺至开通时间仅用时9min。
开通右MCA后,行左侧颈动脉及椎动脉造影显示无明显异常。
右颈动脉再次造影见前向血流持续通畅,患者此时左侧上下肢肌力均恢复至Ⅳ级、凝视减轻、语言功能好转,遂结束手术。



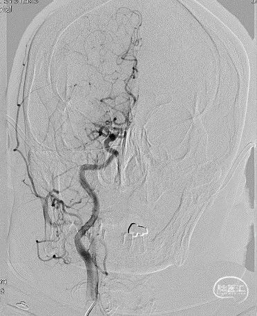
DSA造影见右侧大脑中动脉M1中段以远闭塞,ACA向MCA区域仅少量代偿。Sofia Plus在Headway21导管及Transend导丝引导下,很顺畅通过虹吸段等部位,到达M1中段。



采用ADAPT技术,血流快速复通;最右图为Sofia Plus导管前端及取出血栓。
术后恢复
术后即刻复查颅脑CT除外脑出血,予阿司匹林及波立维双联抗血小板治疗。
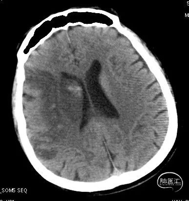
复查CT见额叶、颞叶局部梗塞灶,无脑出血;康复科会诊协助进行康复训练。
完善24小时Holter、超声心动图等检查,无明显异常发现。
术后8天康复出院,NIHSS:2分,mRS:1分。
Case 2
患者信息
(与case 1间隔1周,也为右侧MCA栓塞)
患者男性,62岁;主因“突发左侧肢体无力伴言语不利3.5小时”急诊入院。
既往史:风心病、二尖瓣置换术后7年(机械瓣);房颤病史7年;长期口服华法林钠抗凝,急诊来诊后查INR 1.65(不达标)。
专科查体:NIHHS评分13分(意识1 凝视1 面瘫1 左上肢4 左下肢4 感觉1 语言1)。
辅助检查:血糖 5.1mmol/L;心电图:心率65-80次/分,节律不规则。
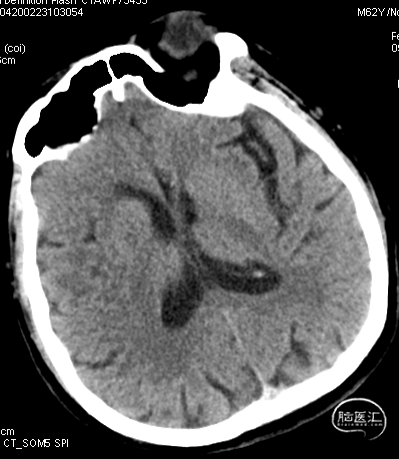
急诊颅脑CT+CTA:无脑出血,ASPECTS评分:7分;CTA示右侧M1闭塞。



急诊颅脑CT+CTA
手术情况
(采用与case 1类似的器械及方法)
术中器械
8F短鞘,8F MPA
6F Sofia Plus导管
Transend-14 205cm微导丝
Headway-21微导管
手术操作
局麻,右股动脉入路置8F短鞘,导管导丝技术将8F MPA置于右C1末端,造影确认右M1急性闭塞,侧支代偿差。
以Transend导丝 + Headway21导管到达M1中段,Sofia PLUS顺畅到位(M1中段),ADATP技术抽吸取栓,一次成功取通,前向血流恢复至TICI3级,无栓子逃逸及原位狭窄,穿刺至开通时间20min(患者术中间断躁动不配合)。
开通右MCA后,行左侧颈动脉及左椎动脉造影显示血流通畅(双侧后交通动脉开放)。
右颈动脉再次造影见前向血流持续通畅,患者此时左侧下肢肌力恢复Ⅲ级、上肢Ⅰ级、语言功能好转,遂结束手术。






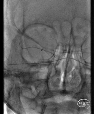
以Sofia Plus进行抽吸取栓1次(ADAPT技术),实现血流复通(TICI 3级)
术后恢复
术后即刻复查颅脑CT未见明显脑出血,因患者长期服用华法林钠,取栓后暂未予抗血小板及抗凝治疗。
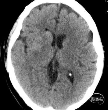
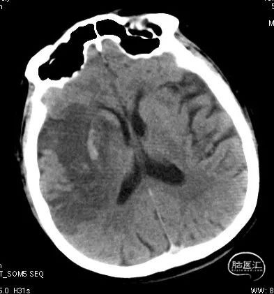
复查24小时CT见颞叶及基底节区出血,停用并予维生素K拮抗华法林钠,至脑出血吸收后再次启动华法林钠抗凝,维持INR:1.8-2.5(心外科意见)。
康复科会诊协助进行规范化康复训练。
术后3周康复出院,左下肢肌力恢复至Ⅴ-,上肢仍为Ⅰ级,言语流利;NIHSS:5分,mRS:2分。



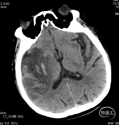
术后复查CT见颞叶、基底节区出血灶
急性缺血性脑卒中(AIS)急诊取栓需采取个体化手术策略,对于栓塞性原因导致的大血管急性闭塞(LVO),已有的RCT研究以及真实世界的取栓经验显示导管直接抽吸在血管开通率、90d mRS等指标不劣于支架取栓术。其操作步骤简化则带来开通时间明显缩短、医源性损伤降低的优势。
Sofia Plus导管有以下优点:
①柔顺性好、到位性能佳,能迅速通过虹吸段“C”或“U”形前膝甚至是“裸奔”到达病变部位,但使用时需务必注意近端给予足够支撑,头端预塑形可能有助于提高通过性;
②头段内径为目前同类产品最大,且抽吸操作时管腔不易变形,因此开通效率提高;
③可作为中间导管,一旦单纯抽吸不成功,可迅速转变手术策略。
栓塞原因所致的大血管急性闭塞(LVO),Sofia Plus直接抽吸取栓可作为优选开通方法。


Sofia Plus示意图





