病史简介
患者,男,66岁,因“意识不清四月余,反复发热两月余”于2021-09-06入院。 患者4月余前发生车祸外伤,当即出现意识不清,呼之不应,被送至当地医院就诊,诊断为“多发伤:1.颅脑外伤,左侧额颞部硬膜下血肿,左侧额颞叶脑挫裂伤,脑干挫伤,蛛网膜下腔出血,左侧颞骨骨折;2.右侧肩胛骨骨折;3.右侧肋骨骨折;4.骨盆骨折”。于2021-4-5急诊在全麻下行“开颅左侧脑内血肿清除+去骨瓣减压术” ,术后入ICU监护治疗,并予气管切开、呼吸机辅助通气、抗感染、脱水降颅压等对症处理。2月余前患者病情较前好转后再次出现意识下降,复查头颅CT提示脑积水,于2021-7-1行“右侧V-P分流术+左侧颅骨修补术”,术后转康复医院继续治疗,患者意识不清仍持续存在,予多次调整分流阀压力后无明显改善(末次分流阀压力:美敦力 1.0档;同期行腰穿测压为90mmH₂O)。期间患者出现反复发热,体温最高达38.5度,痰多,伴顽固性呃逆,无呕吐,无肢体抽搐。期间先后予头孢噻肟舒巴坦、阿米卡星、拉氧头孢、替加环素及美罗培南抗感染,患者病情无明显好转,为进一步治疗来我院,拟“脑外伤术后、发热待查”收住入院。既往:否认高血压、糖尿病、冠心病等基础疾病。2021-4-5行“开颅左侧脑内血肿清除+去骨瓣减压术;2021-4-27行“骨盆骨折切开复位内固定术”;2021-7-1行“右侧脑室腹腔分流术+左侧颅骨修补术”。
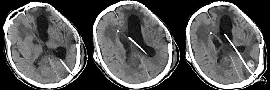
入院查体:体温:37.0℃,呼吸:16次/分,脉搏:69次/分,血压:144/93mmHg;意识不清,GSC评分:3+T+4,右侧后枕部手术切口稍红,局部可见水疱样隆起,余头部手术切口愈合可,右侧V-P分流阀下压及回弹良好,双侧瞳孔等大等圆,直径3.5mm,对光反射灵敏,颈抵抗阳性,双肺呼吸音粗,可及少量痰鸣音,心律齐,未及明显杂音。腹部手术切开愈合可,腹肌紧张,压痛可疑,四肢肌力查体不配合,刺痛时可及肢体回缩,肌张力增高,双侧巴氏征阳性。辅助检查:2021-9-6我院头颅CT提示:开颅血肿清除+去骨瓣减压术及颅骨修补+V-P分流术后改变,脑积水(图1);胸部CT提示:两肺下叶渗出伴少许积液,心脏增大伴少许心包积液,右侧第3-9肋骨骨痂形成,右侧肩胛骨骨折。腹部CT提示胃肠壁水肿,脂肪间隙浑浊。
图1. 2021-9-6我院头颅CT提示:开颅血肿清除+去骨瓣减压术及颅骨修补+V-P分流术后改变,脑积水。根据患者病史、临床症状及影像学表现,诊断为:1.发热待查:肺部感染?腹腔感染?颅内感染?2.脑积水V-P分流术后;3.重型颅脑损伤,左侧开颅血肿清除+去骨瓣减压术后;4.左侧颞骨骨折;5.右侧肩胛骨骨折;6.右侧肋骨骨折;7.骨盆骨折内固定术后。入院后完善常规及相关检查,予“头孢哌酮舒巴坦 2g q8h+利奈唑胺0.6g q12h”经验性抗感染、脱水降颅压、雾化化痰、预防癫痫、控制呃逆等对症处理。于2021-9-7行腰穿检查,测得初压为90mmH₂O,脑脊液化验正常。考虑患者脑积水明显,可能存在分流管不通畅情况,于2021-9-8行分流泵储液囊穿刺外引流处理后,患者意识较前好转,自主睁眼增多。2021-9-10储液囊穿刺部位附近有外渗,予换药处理。于2021-9-11拔除穿刺外引流装置,复查头颅CT(图2)提示脑积水较前好转。
图2. 2021-9-11复查头颅CT提示:开颅血肿清除+去骨瓣减压术及颅骨修补+V-P分流术后改变,脑积水较前好转。2021-9-13凌晨患者体温(图3 左)升高,意识下降,从储液囊中穿刺取脑脊液(图3 右)化验,脑脊液常规示有核细胞明显升高,中性粒细胞为主;脑脊液生化示糖和氯化物降低,蛋白含量升高;培养及药敏提示泛耐药铜绿假单胞菌感染,阿米卡星及多粘菌素敏感。
图3. 2021-9-13患者体温(左图)及脑脊液化验(右图)情况。完善腹部增强CT检查提示:V-P分流术后,腹盆腔积液,部分积液呈包裹性,局部腹膜增厚,继发感染不除外;脂肪间隙浑浊,胃肠壁水肿,肠腔积气扩张。于当日行右侧V-P分流管调整术,术中见分流管腹腔端不通畅,腹腔端头端剪除后,按压分流泵仍无液体流出,但腹部皮下管周有脑脊液样液体流出(视频1)。视频1. 2021-9-13行右侧V-P分流管调整术,术中见分流管腹腔端不通畅,腹腔端头端剪除后,按压分流泵仍无液体流出,但腹部皮下管周窦道有脑脊液样液体流出。
进一步显露枕部分流阀,见腹腔端与分流泵连接处有破口存在,伴脑脊液渗出(视频2),分流阀储液囊完好无渗液。重新连接分流阀与腹腔端,按压阀门见脑脊液从分流管内流出通畅,性状浑浊。考虑到患者脑积水持续存在、感染时间短及经济因素等,予保留颅骨修补钛板,将原分流管腹腔端挑出后作长程引流(图4)。视频2. 2021-9-13行右侧V-P分流管调整术,术中见分流管腹腔段上端与分流泵连接处有破口存在,伴脑脊液渗出。

图4. 2021-9-13患者行右侧V-P分流管调整术,腹腔端挑出后作长程引流。根据药敏结果,于2021-9-15加用阿米卡星抗感染,于2021-9-16予多粘菌素B鞘内注射。2021-9-17开始患者体温情况(图5 左)明显好转,2021-9-19开始脑脊液色泽好转,由浅绿色逐步转清,取样复查(图5 右)提示常规生化亦明显好转,但脑脊液细菌培养仍显示铜绿假单胞菌阳性。期间患者右侧后枕部原手术切口(分流阀处)愈合欠佳,局部红肿较明显。考虑颅内感染仍存在,及左侧钛板致穿刺困难,遂于2021-9-28行右侧脑室外引流+Ommaya囊植入+分流阀及腹腔端分流管拔除,术中于远离原右侧后枕部切口区域近脑室端处剪断原VP分流管并连接Ommaya囊。术后继续给予阿米卡星+多粘菌素B抗感染。2021-9-28夜间患者出现意识下降、血压高、心率快,右侧脑室外引流欠通畅,引出少量血性液体伴血凝块形成。急查头颅CT示脑室外引流管穿刺道出血破入脑室(图6)。
图5. 2021-9-17开始患者体温(左图)及2021-9-19脑脊液化验(右图)情况。
图6. 2021-9-28头颅CT提示:右侧脑室外引流术后,穿刺道出血破入脑室。予床边Ommaya囊穿刺外引流后,血压好转,次日予注射尿激酶一次后,两路外引流通畅,引出血性脑脊液,每日控制引流量为200ml左右,待脑脊液转清后,先拔除Ommaya囊穿刺外引流管。2021-10-7开始患者脑脊液病原学培养转阴。2021-10-12右侧脑室外引流管留置近两周,予以拔除并行腰大池置管引流。2021-10-17行头颅MRI+DWI检查(图7)示:左侧枕角有液平存在,脓肿或血肿可能。
图7. 2021-10-17头颅MRI+DWI提示:左侧枕角有液平存在,脓肿或血肿可能。为进一步排除左侧脑室枕角积脓风险,同时为后期VP做准备,于2021-10-21腰大池持续引流1周后予以拔除,并行左侧枕角穿刺+Ommaya囊植入术(图8),并行穿刺外引流。因患者一侧钛板面积大,且头皮切口多,不宜使用头架固定,遂采取侧卧位、头圈固定,手机水平仪辅助下行枕角穿刺。术后复查CT提示引流管在位(图9 左及中),定期复查再次见穿刺道出血(图9 右);因出血量少,予密切观察,未见出血进一步增多。期间从不同部位(腰大池、额角Ommaya囊、枕部Ommaya囊)多次留取脑脊液化验,常规及生化指标显示正常,细菌培养均阴性。同时,尝试抬高引流管高度以减少每日脑脊液外引流量,患者无法耐受,遂于2021-11-2行左枕V-P分流术(连接枕部ommaya穿刺管行分流术)。目前患者生命体征稳定,GSC评分:4+T+4,较入院时略好转,体温正常,复查脑脊液未提示感染(图10),拟近日转康复医院继续治疗。
图8. 2021-10-21行左侧枕角穿刺+Ommaya囊植入术,手术切口(左)及穿刺方向规划(右)。
图9. 2021-10-21左侧枕角穿刺+Ommaya囊植入术后复查CT提示引流管在位(左图及中间图),第二天复查提示穿刺道出血(右图)。
图10. 2021-11-2左枕V-P分流术后体温(左)及2021-11-4脑脊液化验(右)情况。讨论
重型颅脑损伤是临床上常见的危急重症,致死致残率高,严重危害人类的健康[1]。开颅脑内血肿清除及去骨瓣减压术是治疗该类疾病的常用术式,在临床中广泛应用[2]。而外伤性脑积水作为颅脑外伤后较为常见的并发症之一,其在已行去骨瓣减压手术的患者中发生率较高,约为11.9%~36%[3]。对于颅脑创伤去骨瓣减压术后合并脑积水的患者,是否同期行颅骨修补及脑脊液分流术尚存争议。部分研究认为:较分期手术相比,同期手术后出血和感染等并发症发生率更高[4,5];也有研究表明:较分期手术相比,同期手术的安全性和并发症方面并无差别,甚至能减少手术次数,降低院内感染率及再次手术率[6,7]。因此,针对此类患者,在制定诊疗方案时,应充分评估病例特点,根据病情需要予以个体化的干预治疗,对改善患者的预后尤为重要。如本周刊近几期病例所示,虽然V-P分流手术操作简便,但并发症很常见,主要包括机械性、感染及功能相关性并发症[8]。其中,分流系统功能障碍是V-P分流术后最常见的并发症之一,其发生率可达50%左右,与之相关的死亡率约为1-2%[9,10]。因此,充分了解分流系统的属性及状况,动态准确地评估V-P分流术后患者的临床表现及影像学特点,将有利于对该类患者进行精准的管理和处置。在本病例中,V-P术后患者出现脑积水持续进展情况,当地医院多次调整分流阀压力(最低时调整至1.0档/美敦力,同期腰穿测压90mmH₂O)后患者病情无明显改善。入院后予储液囊穿刺外引流,患者脑积水情况较前改善,提示分流系统储液囊远端可能存在不通畅情况。术中探查证实分流管腹腔端不通畅,予腹腔端头端剪除后,按压分流泵仍无液体自管内流出,但管周窦道有脑脊液样液体流出;探查枕部分流阀部位见分流管腹腔段上端与分流阀连接处有破口存在,伴脑脊液渗出,明确了V-P分流系统失效的原因。神经外科中枢神经系统感染(Neurosurgical central nervous system infection, NCNSI)是指继发于神经外科疾病或需要由神经外科处理的颅内和椎管内的感染,以细菌性感染最多见[11]。值得一提的是,由于神经重症患者往往病情危重,住院期间常需经历多次神经外科手术或检查操作,可增加NCNSI感染的发生率,特别是对于原发性损伤严重、年龄较大、手术时间较长、接受多次开颅手术、有植入物、外引流时间较长或频繁留取脑脊液标本、伤口或引流管处发生脑脊液漏、手术切口出现皮下积液等易感因素者[12,13]。本病例为重型颅脑损伤开颅术后患者,基础状况差,右枕部手术切口愈合不佳,局部皮下渗液,且有V-P分流装置植入,分流管引流不畅,多种易感因素存在,发生NCNSI风险更高。在诊疗过程中,为缓解患者脑积水,我们行储液囊穿刺外引流,出现渗液后虽积极换药、拔管,但仍出现了颅内感染。术中探查发现储液囊完好,而囊周有积液形成窦道,间歇性皮肤渗液考虑脑脊液在储液囊外周长期积聚相关。基于此,当V-P分流术后出现分流系统储液囊远端引流不畅时,直接行储液囊穿刺外引流是否合适,有待今后继续探究。在NCNSI诊疗过程中,在参考专家共识的基础上(表1),根据患者情况制定个体化的诊治方案尤为重要。在本病例中,考虑患者脑脊液细菌学培养为耐药铜绿假单胞菌,V-P储液囊途径感染可能性大,而左侧钛网与头皮及皮下组织贴合良好,故在保留钛网及V-P分流管的情况下进行抗感染治疗。但植入物的继续留置,可能会导致抗感染效果不佳,需要密切监测评估。对于临床疗效评判,在排除身体其他部位感染的情况后,1~2周内下列指标连续3次正常为临床治愈:1)体温正常;2)临床感染体征消失;3)脑脊液生化显示糖含量正常,脑脊液葡萄糖含量/血清葡萄糖含量≥0.66;4)脑脊液常规白细胞数量符合正常标准;5)脑脊液细菌培养阴性;6)血液白细胞和中性粒细胞正常。在本病例中,患者针对性抗感染治疗后3天内体温即逐步恢复正常,3周后脑脊液细菌学检查阴性,后多次经不同部位采样送检提示脑脊液常规及生化无异常,细菌学培养均阴性,表明达到临床治愈的标准,遂根据患者个体情况行左侧枕部V-P分流术,术后患者病情平稳,无意识下降及发热情况。表1. 中枢神经系统感染诊断和治疗流程图;专家共识,中国神经外科杂志,2021
脑积水分流术后发生颅内感染是较为常见的[14]。而颅内感染可引起脑组织结构发生改变,引起脑血管炎性病变及破坏,造成血管炎、血栓形成、栓塞甚至动脉瘤形成等,最终导致颅内出血的风险增加[15,16]。在本病例中,患者先行右侧脑室外引流及左侧枕角穿刺+Ommaya囊植入术,手术过程顺利,穿刺皆一次成功,但患者均出现穿刺道部位出血;特别是枕部Ommaya植入后第一次复查未见出血,定期复查见穿刺道新鲜出血提示颅内感染后患者脑血管壁可能发生结构改变,容易发生出血事件。上述风险在临床工作中值得注意,特别是对于长期颅内感染需行颅脑手术的患者而言。综上,脑积水行V-P分流手术,虽手术难度不高,但却是神经外科并发症最多的术式之一,尤以引流不畅、颅内感染最为常见。本例患者分流阀头端戳破分流管致脑脊液外漏,或是两者连接时所致,或是埋置储液囊切口太小致连接点弯曲角度过度所致。虽只是操作的小细节,但却为后续病情演变埋下伏笔。后续切口渗漏的处理也有值得警惕和改进之处。虽然经过积极抗感染及相应外科处理,患者病情恶化得到遏制,但回顾整个诊疗过程,对改进我们的临床工作仍大有裨益。
1. Dewan MC, Rattani A, Gupta S, et al. Estimating the global incidence of traumatic brain injury. J Neurosurg 2018:1–18.2. Hawryluk GWJ, Rubiano AM, Totten AM, et al. Guidelines for the Management of Severe Traumatic Brain Injury: 2020 Update of the Decompressive Craniectomy Recommendations. Neurosurgery 2020; 87:427–434.3. Vedantam A, Yamal J-M, Hwang H, Robertson CS, Gopinath SP. Factors associated with shunt-dependent hydrocephalus after decompressive craniectomy for traumatic brain injury. J Neurosurg 2018; 128:1547–1552.4. Schuss P, Borger V, Güresir Á, Vatter H, Güresir E. Cranioplasty and Ventriculoperitoneal Shunt Placement after Decompressive Craniectomy: Staged Surgery Is Associated with Fewer Postoperative Complications. World Neurosurg 2015; 84:1051–1054.5. Heo J, Park SQ, Cho SJ, Chang JC, Park H-K. Evaluation of simultaneous cranioplasty and ventriculoperitoneal shunt procedures. J Neurosurg 2014; 121:313–318.6. Meyer RM, Morton RP, Abecassis IJ, et al. Risk of Complications with Simultaneous Cranioplasty and Placement of Ventriculoperitoneal Shunt. World Neurosurg 2017; 107:830–833.7. Rosinski CL, Behbahani M, Geever B, et al. Concurrent Versus Staged Procedures for Ventriculoperitoneal Shunt and Cranioplasty: A 10-Year Retrospective Comparative Analysis of Surgical Outcomes. World Neurosurg 2020; 143:e648–e655.8. Bober J, Rochlin J, Marneni S. Ventriculoperitoneal Shunt Complications In Children: An Evidence-Based Approach To Emergency Department Management. Pediatr Emerg Med Pract 2016; 13:1–22; quiz 22–23.9. Sainte-Rose C. Shunt obstruction: a preventable complication? Pediatr Neurosurg 1993; 19:156–164.10. Kim TY, Stewart G, Voth M, Moynihan JA, Brown L. Signs and symptoms of cerebrospinal fluid shunt malfunction in the pediatric emergency department. Pediatr Emerg Care 2006; 22:28–34.11. 中国医师协会神经外科医师分会神经重症专家委员会, 《中华神经外科杂志》, 2021, 37(1),2-15.12. Busl KM. Nosocomial Infections in the Neurointensive Care Unit. Neurosurg Clin N Am 2018; 29:299–314.13. Fang C, Zhu T, Zhang P, Xia L, Sun C. Risk factors of neurosurgical site infection after craniotomy: A systematic review and meta-analysis. Am J Infect Control 2017; 45:e123–e134.14. González S, Carbonaro M, Fedullo AG, et al. Cerebrospinal fluid shunt-associated infections in pediatrics: Analysis of the epidemiology and mortality risk factors. Arch Argent Pediatr 2018; 116:198–203.15. Radwan W, Sawaya R. Intracranial haemorrhage associated with cerebral infections: a review. Scand J Infect Dis 2011; 43:675–682.16. Connor MD, Lammie GA, Bell JE, Warlow CP, Simmonds P, Brettle RD. Cerebral infarction in adult AIDS patients: observations from the Edinburgh HIV Autopsy Cohort. Stroke 2000; 31:2117–2126.(本文由浙二神外周刊原创,浙江大学医学院附属第二医院神经外科吴海建、董啸主治医师整理,闫伟副主任医师审校,张建民主任终审)
声明:脑医汇旗下神外资讯、神介资讯、脑医咨询所发表内容之知识产权为脑医汇及主办方、原作者等相关权利人所有。未经许可,禁止进行转载、摘编、复制、裁切、录制等。经许可授权使用,亦须注明来源。欢迎转发、分享。