
今天为大家分享的是《监测有道丨颅脑创伤-神经重症周刊》第243期,由珠海市中西医结合医院神经外科何川副主任医师带来的:颌面骨折并额部硬膜外血肿治疗的思考,欢迎观看、阅读。
病例介绍
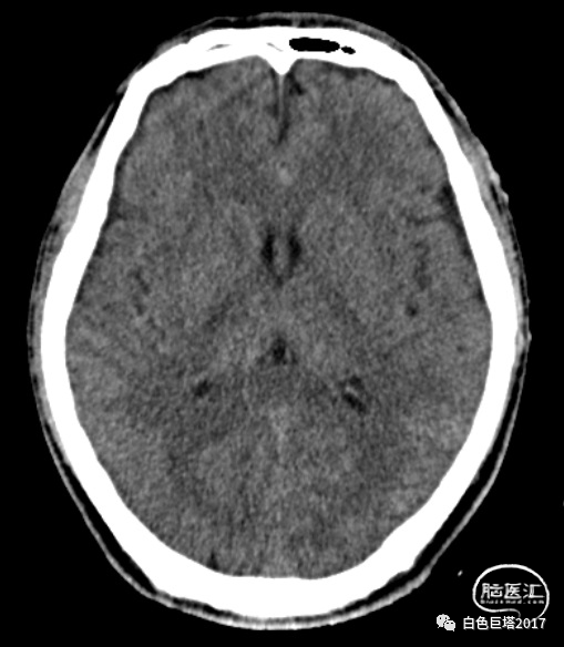
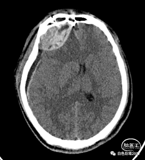
患者苏某,34岁男性,因“高处坠落致意识障碍1小时余”入院。患者自8米高处坠落,头面部着地,入院时头面创口、口腔、鼻腔流血不止,GCS E2V1M5为8分。很快出现血压下降至70/52mmHg、血氧下降85%。急诊气管插管,完善头颅、颈椎、胸腹部CT检查,提示颌面、颅底多发骨折、鼻腔积血,软组织挫裂伤,左颞颌关节脱位,牙齿缺失。额骨骨折、右额顶叶脑挫裂伤、蛛网膜下腔出血,颅内积气。颈椎间盘突出、颈椎退行性变、未见明显骨折。双侧1-2肋骨骨折,T5-7左侧横突骨折;双肺挫伤;左侧少量气胸。腹腔脏器未见明显损伤表现。



手术诊疗及过程


术后复查


思 考




