
01
患者基本情况
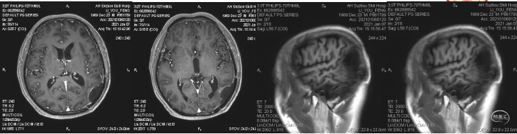
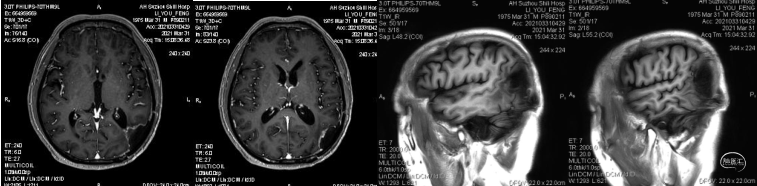
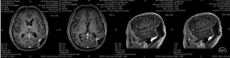
患者为中年男性,因“间断性头痛2月,加重1周”于2020年4月30日入院。入院时神经系统体征(-)。术前诊断为左顶枕叶胶质瘤。



02
诊疗经过



03
病理检测


04
头皮不良反应

05
总结
应用范围:颅内其它肿瘤(如转移瘤),颅外肿瘤(恶性胸膜间皮瘤 );
使用效果:肿瘤位置,电场强弱,疗效和安全性;
病理机制:DNA修复、细胞通透性、免疫反应、异常糖酵解等。
专家简介

复旦大学附属华山医院虹桥院区放疗中心副主任
主要从事神经系统肿瘤的放射治疗、化疗和支持治疗
上海市抗癌协会神经肿瘤专业委员会常委
上海市医学会肿瘤放射治疗专业委员会委员
上海市医学会医疗鉴定专家库成员
中国医师协会脑胶质瘤专业委员会委员
中国医师协会放疗专业委员会委员
参与多个指南和教科书的编写:《中国胶质瘤诊疗指南》、《中国胶质瘤多学科诊治(MDT)专家共识》、《中国胶质瘤放射治疗专家共识》等






