
本期为大家分享武汉大学中南医院神经外科黄勇博士带来的1例高级别胶质母细胞瘤综合治疗的病例分享。
女性患者,34岁,于2020年11月因出现右侧肢体乏力,记忆力明显下降于2020年12月1日就诊深圳医院行MRI检查发现:多发颅内占位性病变,考虑淋巴瘤。后就诊于我院神经外科,以“颅内多发占位”收入院。
入院后完善头部MRI平扫+增强+波普+灌注检查考虑胶质瘤可能性大。

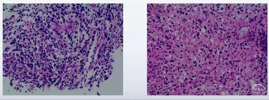
行立体定向活检术,术后病检示:高级别神经上皮来源肿瘤。免疫组化检测肿瘤细胞呈:ATRX(-),GFAP(灶+),IDH1R132H(-),Ki-67(Li:60%),Olig-2(+),P53(突变型),Bcl-6(-),CD10(-),CD20(-),CD21(-),CD23(-),CD3(-),CD30(-),CD5(-),C-myc(-),MUM1(-),Bcl-2(弱+),EBER(原位杂交)(-),CyclinD1(灶+),PAX5(-),CD43(-),ALK-1(弱+),H3K27M(-),SYN(-),S-100(局部+),NeuN(-),INI-1(+),LCA(-),TDT(-),MPO(-),CD34(-),Nestin(+),H3.3 G34R(-)。
MGMT基因启动子区域甲基化水平为低水平;IDH1/2、BRAF、TERT、PTEN、P53基因未检测出突变,EGFR基因未检测出扩增;染色体1p/19q未检测出共缺失。
最终整合诊断:结合镜下形态、免疫表型及分子检测结果,考虑高级别胶质瘤,胶质母细胞瘤(WHO Ⅳ级)。

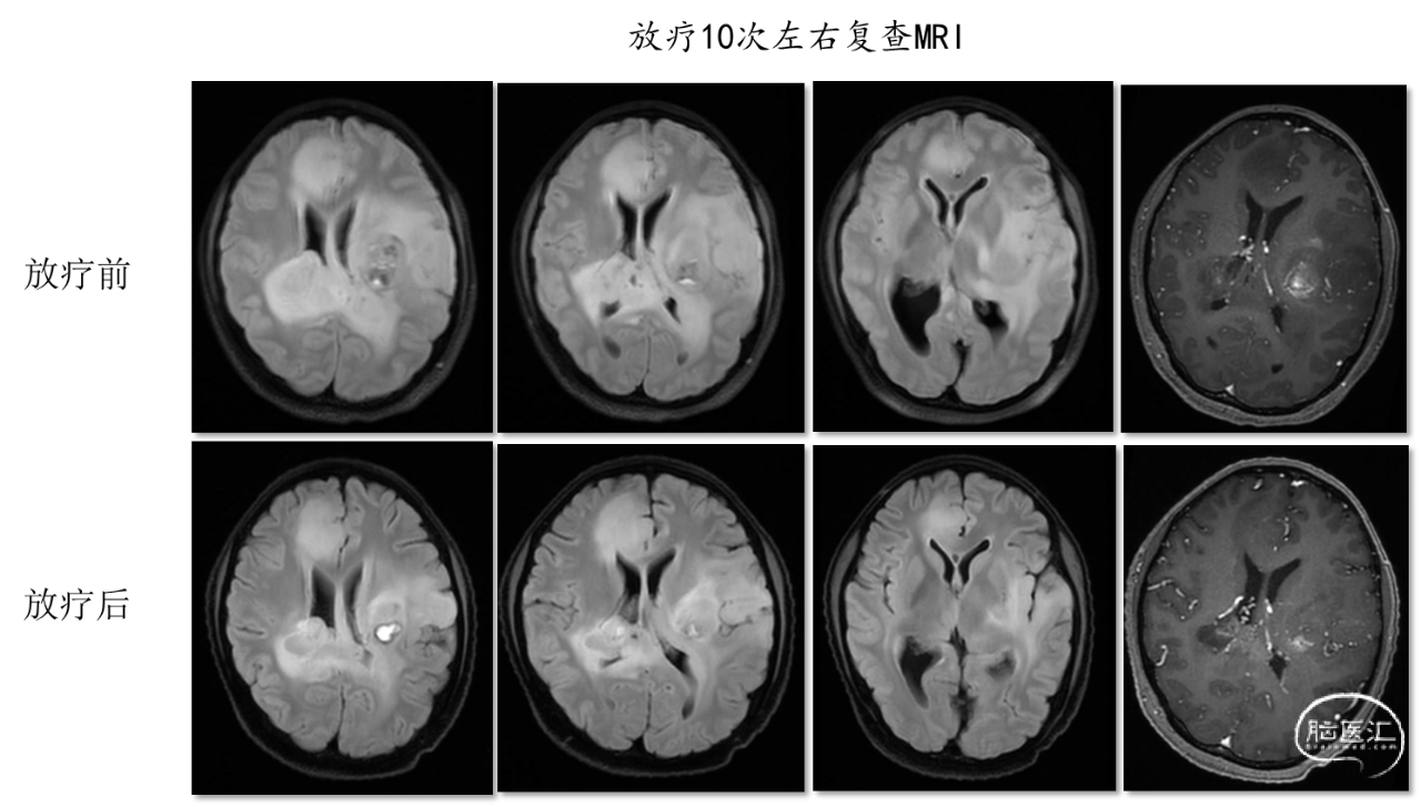
患者活检术后一周左右出现意识模糊,右侧肌力I级,较前显著下降。复查头部CT未见穿刺部位新发出血,复查头部MRI病灶较前增大。考虑病情进展,于2020年12月22日至2021年2月3日在我院肿瘤放化疗科开始行贝伐单抗联合替莫唑胺同步电场放化疗(PTV-GTV1=60Gy/30F, PTV-GTV2=54Gy/30F)。放疗10次后患者意识由嗜睡转为清楚,患侧肌力III级,复查头部MRI示病灶较前缩小。放疗20次左右患者一般情况较前进一步好转,患侧肌力V-级,复查头部MRI显示T2及增强病灶较前明显缩小。

2021年3月9日开始行第一周期替莫唑胺联合TTFields治疗,化疗前复查头部MRI显示T2及增强病灶较前继续缩小。

2021年4月6日至今继续行替莫唑胺联合TTFields治疗,期间每2月复查一次MRI提示病灶稳定,未见进展。

患者整个治疗过程中,头皮反应I级,对症处理后能迅速恢复。

患者为不可手术的多发胶质母细胞瘤,年轻,病情进展迅速,在明确病检后采取了TTFields同步放化疗的方案治疗后,迅速的控制了病情的发展,病灶在放疗的早期就出现了影像学上的响应,10次左右就出现了病灶的缩小,提示TTFields与放疗之间可能有协同作用。目前患者的PFS已经超过了6个月,一般情况良好,提示TTFields同步放化疗在非全切或无法手术的胶质母细胞瘤中安全有效。
1. 病例从治疗方案上很有特点,肿瘤科钟主任团队利用放疗技术优势,加上最新的电场治疗,整个治疗结果来看是非常成功的。
2. 肿瘤电场治疗作为胶质母细胞瘤最新的一种治疗手段,为我们神经外科医生在胶质瘤的治疗上增添了一份信心。
3. 脑胶质瘤的治疗从最初的手术,到放疗、化疗,再到现在的电场治疗,患者的OS在一步步延长,这也是我们临床工作者的希望。1. 这是我院首例电场治疗患者,也是第1例同步放化疗期间联合TTFields治疗的患者,目前我中心已经开展多例同步放化疗+TTFields治疗。
2. 我们知道EF-14研究中,电场治疗是在同步放化疗结束后,在辅助周期与TMZ联合使用。通过分析电场治疗的作用机制,结合患者的病情,我科中枢神经小组成员谈论后提出能否在放疗期间尝试使用,将放疗、化疗、电场治疗联合使用。
3. 经过交流,在分析了电场治疗贴片对放疗剂量的影响后,结合中南医院的放疗靶区勾画特色,在保证放疗计量正常的情况下,我们对头皮进行了特有的保护,采用TOMO机进行放疗。
4. 整个治疗下来,从患者状态来看,整个治疗效果超出了预期,我们也希望这个女孩能够一直健康生活下去。
中国医疗保健国际交流促进会循证医学分会脑血管病学组组长中国研究型医院学会神经微侵袭治疗专业委员会副主任委员担任中国临床神经外科学杂志编委、中华神经外科疾病研究杂志编委国家自然科学基金评审专家技进步二等奖(2014)和武汉市科技进步二等奖(2006)各1项,获国家实用新型专利10项。目前主持国家自然科学基金面上项目1项,湖北省科技厅技术创新重大专利1项

中国生物医学工程学会精确放疗技术头颈肿瘤专委会常务委员
声明:脑医汇旗下神外资讯、神介资讯、脑医咨询所发表内容之知识产权为脑医汇及主办方、原作者等相关权利人所有。未经许可,禁止进行转载、摘编、复制、裁切、录制等。经许可授权使用,亦须注明来源。欢迎转发、分享。