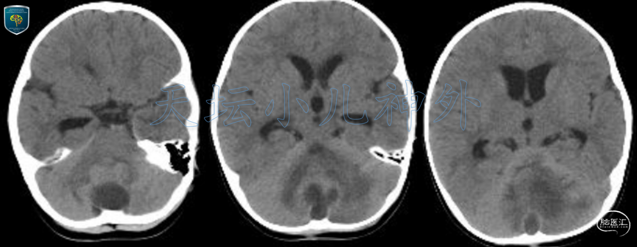
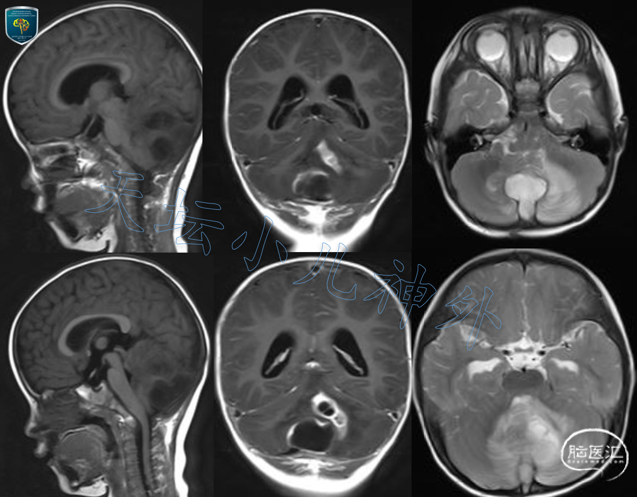
2020年10月接诊一例来自河北省保定市的1岁女性患儿(85cm,11.0kg)。主诉:枕后头皮感染清创术后3月,发现颅内占位一月余。患儿出生时发现枕部头皮小包块、表面生长有硬韧的毛发,未予重视。3月前局部外伤后枕部包块迅速增大,于当地医院行包块切除,术后高热,行头孢噻肟抗菌治疗20余天后好转,复查头部CT发现颅内占位,考虑髓母细胞瘤,遂来我院就诊。门诊查体示:患儿神情,精神状态好,查体欠配合,枕后局部切口愈合好,无红肿及溢脓溢液,余神经系统查体阴性。我院头颅CT显示:后颅窝中线团块状低密度影,边界模糊,密度不均,周围可见大片水肿区,大小约46X45mm(图1);头颅MRI提示后颅窝中线处长T1长T2病变,局部囊性变,囊壁光滑,边界不清晰,DWI呈显著弥散受限,多发囊腔显著环形强化,病变周围水肿明显,脑脓肿可能性大(图2)。
图1. 后颅窝中线团块状低密度影,边界模糊,密度不均,周围可见大片水肿区,大小约46X45mm。
图2. 后颅窝中线处长T1长T2病变,局部囊性变,囊壁光滑,边界不清晰,DWI呈显著弥散受限,多发囊腔显著环形强化,病变周围水肿明显,脑脓肿可能性大。
结合病史及影像学特征,患儿先天性皮毛窦,外伤后局部感染,当地医院封闭皮肤窦口,造成颅内感染形成后颅窝脑脓肿可能性大。手术指征明确,完善术前检查,于2020年10月19日在全麻下行枕下后正中入路脑脓肿清除+皮毛窦窦道封闭术。术中见枕外粗隆上方颅骨窦道凹坑,骨瓣下可见黄色脓栓呈芽状突出于硬膜外,和颅骨窦道粘连紧密(图3)。全层磨除颅骨窦道,骨瓣清洗干净备用。切开硬脑膜见硬脑膜和脓肿粘连紧密,枕窦不发达,黄色脓肿呈团块状嵌入两侧小脑半球之间,有不连续的包膜,厚薄不均。在电生理监测下,沿脓肿周边耐心分离,局部破溃溢出黄色粘稠米汤状脓液。脓肿壁压迫脑干背侧,局部粘连,锐性游离。脓肿周边组织呈黄色油膏状,血供不丰富,与脓肿一并清除,双氧水反复术腔冲洗干净,人工硬膜减张缝合,骨瓣复位。手术顺利,出血约150ml,输异体红细胞130ml。
图3.术中见枕外粗隆上方颅骨窦道凹坑,骨瓣下可见黄色脓栓呈芽状突出于硬膜外,和颅骨窦道粘连紧密。
术后患儿一般情况好,体温正常,无新增神经系统阳性体征,静脉输液抗感染治疗。术后病理回报:皮样囊肿,大量中性粒细胞、淋巴浆细胞浸润,多核巨细胞反应及大片坏死、脓肿形成。术后两周顺利出院,随访中。
治疗体会

皮毛窦(Pilonidal Sinus)是一种先天性发育畸形,是指胚胎形成过程中,上皮组织残留在神经组织内,形成皮样囊肿。皮毛窦主要发生在神经轴背侧,从枕部到腰骶部的任何部位都可能发生,其中以腰骶部多见1。病变周围的皮肤可见特征性的毛发异常分布2。皮毛窦的发病率为26/10万,其中位于头部的皮毛窦罕见,仅占0.2%3。
由于皮毛窦的窦道将神经管与皮肤沟通,可引起颅内感染;因此,皮毛窦手术关键点是封闭瘘道,防止颅内感染。术前需准确判断窦道走形,做好延长切口,扩大范围寻找窦口的准备。皮毛窦窦道主要由上皮细胞构成,分布广泛,可由皮下组织贯通至硬膜下任何层面,因此,窦道基底也可深达硬膜下。如果上皮组织残余在神经组织内,就形成皮样囊肿;如果囊肿通过窦道开口于皮肤,此窦道将皮肤与神经管相互连通,就是皮毛窦。窦道内的毛发可引起局部慢性炎性反应,形成脓肿。大部分脓肿可以自行消退,小部分脓肿可以突破硬膜,导致颅内感染4。
本例基层医院手术只是局部头皮清创、封闭皮肤瘘口,没有向深方探查,切除/封闭整个瘘管,造成逆行性颅内感染,后颅窝脓肿形成。正确的治疗方法应是沿着窦道探查至盲端基底,如窦道穿透硬膜,术中应切开硬膜,彻底清除内容物、完整切除瘘管,人工硬膜减张缝合,才能避免颅内感染及瘘管复发4。
参考文献

1. 王广宇, 刘渤, 韩晓, et al. 儿童皮毛窦的诊断及治疗效果分析. 临床小儿外科杂志. 2019(02):99-102.
2. Doll D, Bosche F, Hauser A, et al. The presence of occipital hair in the pilonidal sinus cavity-a triple approach to proof. Int J Colorectal Dis. 2018;33(5):567-576.
3. Çiftci F, Abdurrahman I. A different disease: extrasacrococcygeal pilonidal sinuses etiopathogenesis. International journal of clinical and experimental medicine. 2015;8(7):11567-11571.
4. van Aalst J, Beuls EA, Cornips EM, et al. Anatomy and surgery of the infected dermal sinus of the lower spine. Child's nervous system : ChNS : official journal of the International Society for Pediatric Neurosurgery. 2006;22(10):1307-1315.