
病史简介
患者68岁女性,因“突发头痛伴恶心、呕吐12小时”来诊,收入我院神经内科。
神经科检查:Hunt-hessI级,神志清,言语流利,四肢肌力5级,肌张力正常,腱反射(++),颈稍抵抗。
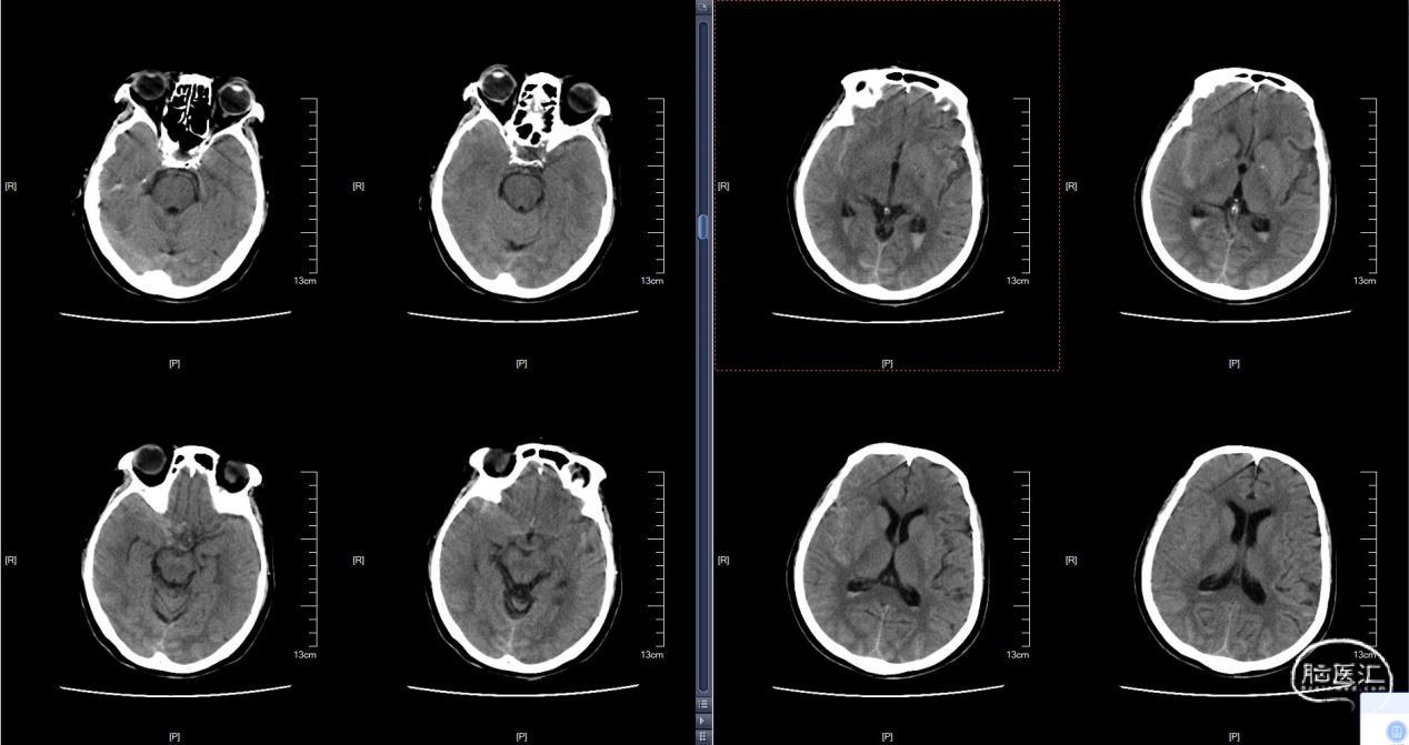
颅脑CT:蛛网膜下腔出血。

诊疗经过
入院后行DSA检查,显示右侧颈内C6-7段动脉瘤右侧大脑中动脉M1分叉动脉瘤。


C6-7段动脉瘤位于颈内动脉上壁,指向内上方,考虑血泡样动脉瘤,结合蛛血位置,及动脉瘤形态、大小,考虑颈内动脉血泡为责任动脉瘤。
治疗方案
介入治疗:支架套叠辅助弹簧圈栓塞血泡,大脑中动脉瘤颈宽,一并处理需支架辅助栓塞。
开颅手术:责任动脉瘤位于C6末端,前方有放置临时阻断夹空间,可行翼点入路夹闭。根据瘤颈情况决定是直接或包裹夹闭,先处理责任动脉瘤再夹闭大脑中动脉瘤。
详细告知家属两种手术方案的风险及花费,家属决定行开颅夹闭手术,由神经内科转入我科。
术中照片




手术过程
全麻成功后,取平卧位,头左偏约40°,标记发髻内右侧翼点入路切口,于关建孔、顶部钻孔2枚,去除骨瓣,咬平蝶骨嵴,硬膜张力不高,弧形打开硬膜,由外向内分离外侧裂,显露视神经及ICA近端,抬额叶过程中动脉瘤顶部视神经旁一小穿支血管破裂出血,给予明胶海绵、棉片压迫,临时阻断C6近端,见瘤体呈红色、壁薄,夹闭瘤颈过程中,瘤顶部破裂出血,瘤颈1次夹闭成功。再依次分离M1主干、上干及下干,暴露分叉动脉瘤,临时阻断M1,夹闭动脉瘤,调整瘤夹位置直至夹闭完全。
术后复查CT:

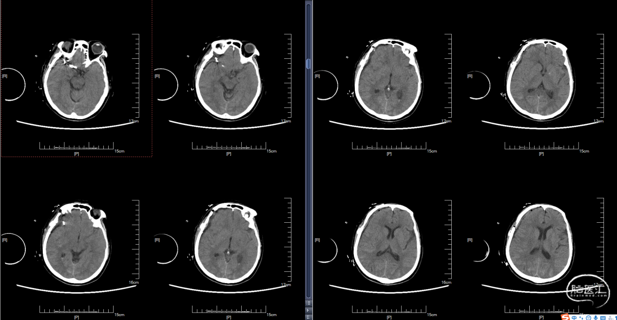
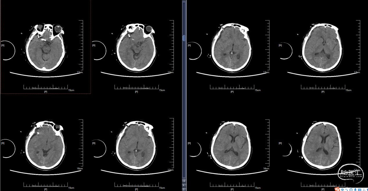
术后10天复查CTA:


手术录像
讨论
血泡样动脉瘤(bloodblister-like aneurysm,BBA)多位于颈内动脉床突上段非分叉部位,是一种特殊类型动脉瘤,瘤壁缺乏内膜、中膜及胶原纤维层,由血管外膜和纤维组织构成,病理特征类似假性动脉瘤。
2.开颅手术有直接或包裹夹闭、血管缝合、闭塞后搭桥等方案,介入治疗一般采取多支架置入辅助栓塞、willis覆膜支架腔内隔绝等。BBA易发生术中再破裂出血和术后复发,治疗风险较高。开颅手术可能只有1次夹闭机会,调整瘤夹可能导致BBA破裂。介入治疗的患者,需早期行DSA复查,以明确有无复发。
