患者女性,30岁,主诉为头痛头晕2月。入院查体:行走不稳,肌力肌张力正常,余神经系统无特殊。入院辅助检查:右侧脑室占位、右侧桥小脑角区占位。
![]()
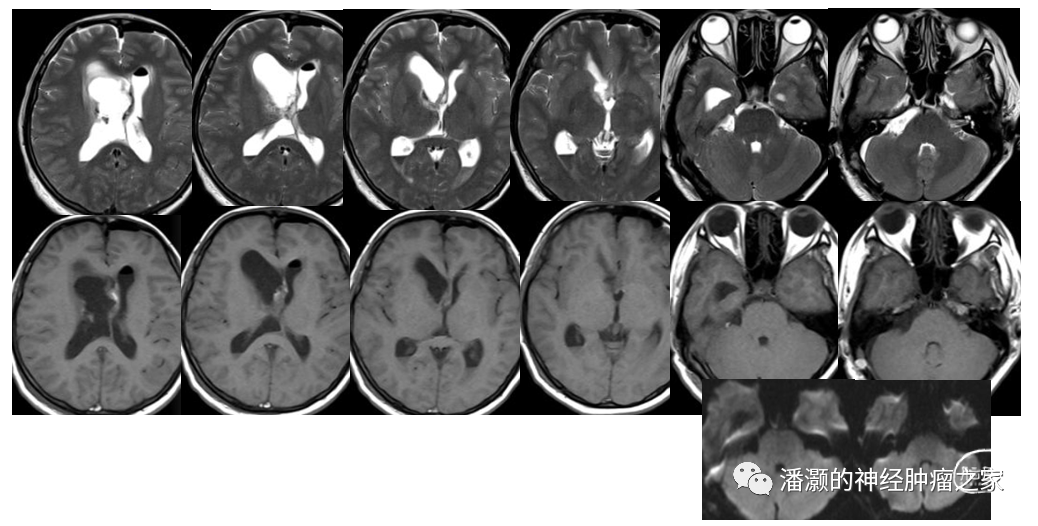
术前影像如下:

CT提示右侧CP角低密度占位,右侧脑室额角为主等低密度混杂占位,幕上脑室系统扩大。

右侧CP角占位T2高信号、T1低信号,无强化,弥散成高信号,诊断考虑胆脂瘤。


脑室内占位呈混杂信号,与丘脑、透明隔关系密切,强化明显,内有混杂信号。强化可见大脑内静脉位于肿瘤下方。结合影像特征,考虑中枢神经细胞瘤。
👉手术拟先行右侧枕下乙状窦后入路切除桥小脑角胆脂瘤,随后翻转体位,右侧额角造瘘切除中枢神经细胞瘤,视术中情况决定是否放置脑室外引流。

👉右侧枕下乙状窦后开颅,释放脑脊液,小脑牵向内侧后暴露桥小脑角区,胆脂瘤多合并增厚的蛛网膜,予以分离,暴露面听神经。

👉向天幕方向游离,显露岩静脉系统,予以分离保护。

👉瘤内分块切除。

👉游离CP角池内血管与肿瘤的黏连。

👉瘤内大部切除后显露的神经血管结构。

👉胆脂瘤容易沿神经血管间隙生长,探查三叉神经腹侧,仍有肿瘤突入天幕裂孔方向,予以吸除。切除胆脂瘤后常规关颅。

👉翻转体位后,于右侧额部行L型切口,内侧达中线,常规开颅,于额上回造瘘进入右侧脑室额角。

👉牵开脑室,可见肿瘤占据脑室空间,色红,质地稀软,向周边探查可见正常脑室壁结构,外侧为丘脑。明确肿瘤周边利于寻找肿瘤边界,保护脑室内的丘脑、深部静脉系统等重要结构。

👉瘤内切除减压,中枢神经细胞瘤血供丰富,瘤内减压时应严格控制出血,避免难以收场的局面出现。减压满意后沿肿瘤与丘脑之间的界面分离,肿瘤起源于丘脑的脑室面,边界欠清晰,予以仔细电凝分离,并逐步离断向瘤内走行的血管。

👉继续减压后转向内侧,分离肿瘤与透明隔之间的界面。

👉向后方暴露脑室,可见肿瘤深面的脉络从及后方的侧脑室体部。予以棉片保护。

👉向前暴露,切除瘤体后并将肿瘤向后牵拉,可见扩大的侧脑室额角,内侧可见透明隔上的脑室壁静脉。

👉沿透明隔向后切除肿瘤,可见室间孔结构。室间孔后下方应注意寻找丘纹静脉。

👉因为前方肿瘤对室间孔后方挤压严重,难以分辨,所以再次从肿瘤后方寻找脉络丛,借此结构试图向前方寻找丘纹静脉。

👉从脉络丛往前寻找,可以看到被肿瘤包裹扭曲的丘纹静脉,予以锐性分离保护。

👉分离后可见保留完好的透明隔静脉及丘纹静脉。

👉为预防因室间孔周边结构肿胀引起的梗阻性脑积水,最后于透明隔前部造瘘,沟通左右侧脑室,增加脑脊液流出通道。肿瘤与丘脑表面黏连严重,创面较大,遂留置脑室外引流管。
术后患者一般情况良好,术后第一天抬高脑室外引流适应良好,术后第二天拔除脑室外引流管。
术后第三天复查头颅MR如下:


复查MRI提示两部位肿瘤均切除满意。未见明显肿瘤残留。

术后6天复查头颅CT观察脑室情况,基本同术前,无明显脑积水出现。

术后病理结果提示中枢神经细胞瘤,予以出院,出院后行放疗进一步治疗。
胆脂瘤又名表皮样囊肿,其特性为容易顺血管神经间隙生长,因此在手术中需要从瘤内切除,并逐步探查至囊肿包膜,注意被神经血管分隔后的死角,一定要予以探查。本例在三叉神经腹侧就仍有肿瘤,属于容易遗漏的部位。
中枢神经细胞瘤多位于侧脑室内,起源于透明隔或丘脑部位。瘤体多稀软,富血供,大部分仅起源于局部的脑室壁,因此在手术时,需要注意保护周边正常的脑室壁结构,尤其是丘脑侧、室间孔周边、穹隆以及深部静脉系统。
在手术时,可以通过脉络丛来进一步辨认脑室内结构,确定方位方向。此外,因为室间孔部位容易出现术后的肿胀导致梗阻,可以通过透明隔造瘘来进行左右脑室沟通,避免梗阻性脑积水的出现。




