对于急性缺血性脑卒中的治疗,ADAPT技术以简单、安全、高效的优势成为临床的优良选择。得益于医学和材料、工艺的进步,应用于ADAPT技术的颅内血栓抽吸导管不断升级,来自Penumbra公司的ACE™68抽吸导管于2020年4月正式获批,来到中国。
抽吸世家,倾心力作;抽吸王者,岂止于大。ACE™68输送性能更佳、抽吸效率更高,配合PUMP MAX负压吸引泵,带来更好抽吸体验。
本期循健有方·ACE68新品谈邀请到来自临沂市人民医院的王浩教授、韩红星教授为大家带来一例ACE68应用实例。
一.病史简介
18岁男性
主诉:头痛不适4天,进展加重右侧肢体活动不灵1天。入院后病情迁延进展,体温逐步升高。
神经系统查体可见:嗜睡状态,右侧肢体肌力2级,言语稍欠流利。
二.术前检查
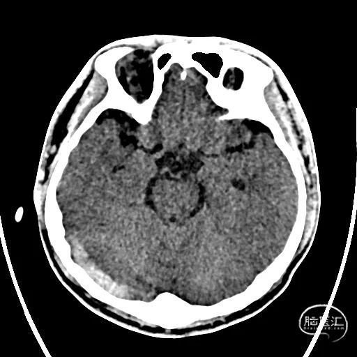
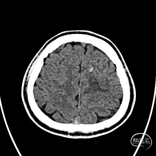
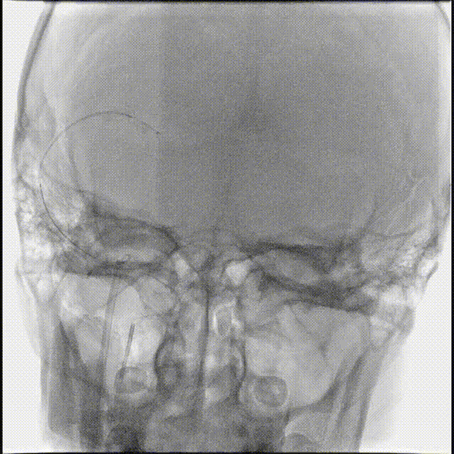
术前CTA/CTP检查,动脉成像未见明显异常,平扫CT可见右侧横窦区域高密度、左侧顶叶片状高密度,窦汇区域、上矢状窦区域高密度充盈。随后紧急性头颅MRV检查,MRV提示上矢状窦及右侧横窦区域不显影。

1A

1B

1C

1D

1E
图注1:1A/1B 平扫CT可见右侧横窦、窦汇区域高密度,额顶叶片状高密度灶
1C 通路CTA检查动脉像未见特殊
1D/1E MRV冠状位及侧位可见上矢状窦及右侧横窦消失,左侧横窦乙状窦部分显影
三.手术方案规划
患者为18岁年轻男性,作为一名准大学生刚刚收到大学的录取通知书,有着美好的明天和未来,面对患者进展的病情和亲人的焦躁不安,医务人员应该更加积极,当然,治疗策略需要审慎再审慎,患者的病程4天,迁延进展,入院后体温逐步升至38.5℃,右侧肢体肌力明显减退,精神状态较差、意识水平有下降的趋势,总体病情有进一步进展的趋势,因此综合评估后认为单纯的静脉后口服抗凝治疗已经不能够及时的逆转病情,有必要进行急诊造影评估及可能的血管内治疗操作,就上述情况与患者的父母深入沟通讲解后,患者的父母要求积极治疗。
术中涉及介入器材选择:
通路导管:Neuron Max088
125cmMPA+泥鳅导丝
取栓支架:Reco 6*30
Penumbra ACE68
微导丝:synchro2
微导管:XT-27
Simmons 造影管
四.术中操作
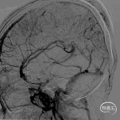
a) 经桡动脉造影明确病变情况:术中行右侧桡动脉及右侧股静脉双穿刺,动脉入路完成评估,静脉入路作为治疗通道,经桡动脉造影评估静脉期上矢状窦及横窦情况,明确上矢状窦、右侧横窦血栓形成。同时经颈静脉置入Neuron Max导引导管,逆行而上接近颅底破裂孔区。

2A

2B
图注2:
2A 桡动脉入路,5F Simmons造影管超选右侧颈内动脉行造影评估,股静脉置入8F穿刺鞘,Neuron Max(0.088inch)在125cm MPA配合泥鳅导丝引导下进入右侧颈静脉。
2B 脑动脉造影静脉期可见上矢状窦显影不清,明确静脉窦血栓诊断。
b) 股静脉穿刺建立治疗通路:

3A

3B

3C

3D

3E
图注3:
3A 在右侧破裂孔区域术中动态成像明确闭塞的右侧横窦、乙状窦入路
3B 微导丝配合配导管超选进入右侧乙状窦,微导管给入造影剂后可见血栓信号
3C 微导丝继续引导微导管逆行而上进入右侧横窦
3D 微导管造影明确右侧横窦、乙状窦区域大量血栓形成
3E 微导丝微导管互相引导通过横窦区域,为后续治疗做好准备
c) 大口径抽吸导管开通上矢状窦:

4A

4B

4C

4D

4E

4F

4G

4H
图注4:
4A 微导丝/微导管/ Penumbra ACE68 同轴技术向前推进至上矢状窦、引导ACE68进入上矢状窦远端
4B 侧位动态记录可以看到 ACE68良好的通过性
4C 微导管正位造影剂推注明确上矢状窦及窦汇区域也有大量栓子信号
4D 撤出微导丝及微导管, ACE68大口径抽吸窦汇区域,吸出大量血栓
4E 桡动脉造影提示上矢状窦仍有大量血栓,拟进一步推进ACE68 进行抽吸治疗
4F 微导丝微导管引导ACE68进入上矢状窦远端
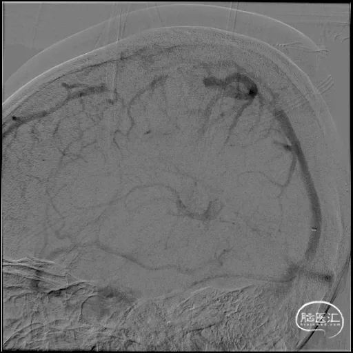
4G-H 上矢状窦内ACE68反复抽吸后,造影可见上矢状窦恢复正常回流
a) 取栓支架配合抽吸开通横窦右侧乙状窦:

5A

5B

5C

5D
图注5:
5A 右侧横窦乙状窦仍都栓子残留,反复抽吸无效,考虑栓子质地相对坚硬,拟置入取栓支架行拉栓操作
5B 经微导管置入Reco 6*30mm取栓支架,定位释放于栓子信号部位卡嵌栓子
5C 造影明确栓子已被取栓支架钳夹
5D 支架取栓配合ACE68抽吸后靶血管获得完全再通
五.术后复盘
静脉窦血栓在早期年的临床实践中常常是个非常棘手的问题,就我国来讲,尤其是对于产褥期的女性,罹患该疾病常常使患者面临生命的威胁,在过去的临床治疗中常以口服抗凝治疗为主,对于及时早期发现的静脉窦血栓有一定的疗效,但是对于未及时就诊的患者则常常伴随着很高的死亡率,随着新型抗凝剂如达比加群酯、利伐沙班的应用,临床疗效略有提高但仍然不能都满意的获得静脉窦的有效再通。近年来随着神经介入技术的方兴未艾,动静脉瘘、动静脉畸形治疗技术的静脉入路技术日趋成熟,对于静脉窦急性血栓形成的治疗上,介入技术的优势也越来越显著,靶血管的有效再通率显著提高。就本例患者而言,随着患者4天的迁延病程进展加重,客观现实要求必须尽快的恢复颅内静脉窦系统的有效回流,单纯的口服抗凝药物或静脉抗凝势必不能够满足患者的迫切需求,因此,在有条件的高级卒中中心对于这样的患者一定要积极的考虑血管内介入治疗的必要性。
静脉窦急性血栓形成神经介入治疗的最大限制在于技术操作上有一定的难点,主要包括但不限于如下几条:1、静脉入路的治疗需要术者有些娴熟的操作技能和对静脉窦解剖结构的详细了解,尤其是对于大脑的静脉窦系统而言,硬脑膜以及突入静脉窦的蛛网膜颗粒以及瓣样结构都是与动脉系统明显不同的。2、神经介入技术本身学习曲线较长,对于静脉溶系统疾病的治疗而言,由于其较低的发病率和诊断率,体量较小的介入中心对于这样疾病的治疗更是缺乏经验和诊疗思路。3、专用的治疗材料缺乏,目前的临床使用管路及支架系统均基于动脉系统病变设计,对于静脉系统的治疗多为off label use。4、较低的发病率常导致临床医生警惕性不足,容易造成漏诊或迟诊。
总体而言,随着神经介入技术的进步和临床神经介入医生的经验及操作技术的日趋娴熟,对于静脉窦系统的病变患者,总体上应该以更加积极的态度来为患者提供基于最新的临床证据诊疗方案,根据我们单中心的经验而言,一旦临床明确诊断,采取介入治疗的患者往往预后更满意,而其中基于抽吸导管急性抽吸取栓治疗的技术,可以快速的抵达病变区域,快速的完成靶血管开通,当然也要注意,静脉入路的手术操作风险,如因解剖结构的不同,术中介入材料可能导致的出血以及血管损伤等问题,这就要求介入材料要有很好的通过性和更大的治疗直径,在保证尽可能的抽吸效能的同时,稳定的支撑能力以及良好的通过性能是未来抽吸导管设计的三个核心要素。
王浩教授
副主任医师,神经内科卒中中心副主任,博士、博士后;中国卒中学会神经介入分会委员;山东省脑血管病防治协会秘书;临沂市医师协会神经介入分会委员;北京神经科学学会-血管神经病学专业委员。
2014年毕业于首都医科大学,获得博士研究生学历、学位,同年于临沂市人民医院工作,2016年山东省卫健委公赴德国格廷根大学交流学习,同年开始脑血管病神经介入工作,2018年于海军军医大学长海医院脑血管病中心开展博士后工作,师从刘建民教授,主要脑血管病神经介入治疗以及急性缺血性脑血管病救治体系建设研究,2019年以海军军医大学急性脑血管病长海医院诊疗模式为蓝本建立临沂市人民医院卒中中心快速分检诊体系,年急诊手术量突破500台次,位居全国高级卒中中心排名前3位,目前数量掌握脑血管病神经介入技术,擅长脑血管病神经介入诊疗、急性缺血性脑血管病的动脉内取栓治疗,擅长缺血性脑血管病颅内血管介入诊疗以及颅外颈动脉、椎动脉介入诊疗。临沂市人民医院卒中中心于2020年被国家卫健委脑防委授予国家示范高级卒中中心,国家静脉溶栓培训基地,国家动脉取栓培训基地。
韩红星教授
临沂市人民医院,副主任医师,医学博士,硕士生研究生导师,神经内科主任,医务部副主任,脑卒中管理办公室主任。国家卫健委脑卒中防治工程中青年专家委员会委员,中国卒中学会第一届青年理事会理事,山东省医师协会神经内科介入医师分会副主任委员,山东省脑血管病防治协会急性脑血管病委员会副主任委员,山东省卒中学会脑血管病高危人群筛查分会副主任委员,临沂市医师协会脑卒中专业委员会主任委员,临沂市医师协会神经内科医师分会副主任委员,临沂市医学会脑血管病介入专业委员会副主任委员,奥地利维也纳大学总医院访问学者。
主要研究方向是脑血管病,擅长缺血性脑血管病的介入治疗。发表SCI及中文核心期刊论文20余篇