提示
前言
神经急重症亚专科是浙大二院神经外科主要亚专科之一,每年完成相关手术逾千例。经过多年发展,亚专科在重型颅脑损伤的规范化诊治、自发性脑出血的个体化微创化治疗、严重颅内感染及复杂脑积水等各种术后并发症的处理等方面积累了丰富的经验。近年来,通过将神经内镜、立体定向及神经介入等新技术引入亚专科,团队在创伤性视神经损伤、自发性脑干出血及顽固性硬膜下积液等疾病治疗领域取得了丰硕成果。目前亚专科由闫伟副主任医师牵头。周刊自第313期开始系列报道科室神经急重症亚专业的相关病例,与同道共享,并期待大家指导、交流。
病史简介


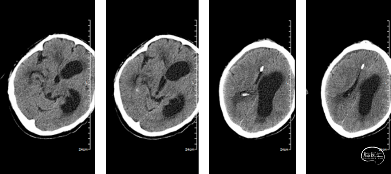
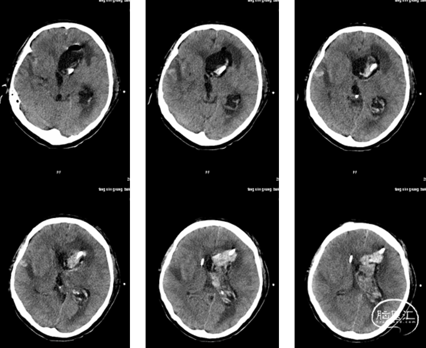
诊治经过









当天急诊行内镜下脑室冲洗术及左侧脑室外引流术,术中见脑脊液混浊,脑室内充满絮状物,脑室内结构无法辨认,无法造瘘。钳取脑室内絮状物送检。




讨论
经验与不足
参考文献
(本文由浙二神外周刊原创,浙江大学医学院附属第二医院脑重症医学科陈涛主治医师整理,脑重症医学科蔡菁副主任医师、神经外科闫伟副主任医师审校,张建民主任终审)





