
前 言
近年来,急性缺血性卒中(acute ischemic stroke,AIS)已经成为我国第一位致残性和致死性的疾病,发病率逐年上升,且发病年龄有年轻化趋势。在时间窗内开通病变血管,实现缺血脑组织的再灌注是AIS治疗的关键。阿替普酶静脉溶栓虽然有效,但时间窗较短,能够接受静脉溶栓的患者仅6.4%,况且静脉溶栓对于颅内大血管闭塞引起的AIS效果不佳,急性脑梗死机械取栓五大临床试验肯定了机械取栓的神奇效果。DAWN试验和DEFUSE3试验果发布后,把机械取栓的时间窗延长至24h,使越来越多的患者能够接受机械取栓治疗。
目前机械取栓已经成为治疗颅内大血管闭塞引起的急性缺血性脑卒中的主要手段,并迎来了急性脑梗死机械取栓治疗的新时代。今天随着取栓材料的进步,如各种类型取栓支架及抽吸导管的问世,同时也应生出多种取栓技术,大大提高血管再通率,降低手术并发症。
急性缺血性卒中病例展播
患者:31岁,男性。
主诉:“突发言语不清伴有右侧肢体活动不灵1.5小时”于我院就诊。
简要病史:1.5小时前在家中无任何诱因,突发言语不清伴右侧肢体活动不灵,家中未用任何药物急来我院,肥胖,发现高血压3个月。
查体:T:37.5;BP:188/105mmHg;病人昏迷状态,平车送入病房,双侧瞳孔等大正圆,对光反射灵敏,直径为2.5mm,眼球向左侧凝视,左侧肢体三级,右侧肢体0级,双侧巴宾斯基征为阳性。
定性诊断:急性脑梗塞,病因?年轻病人肥胖,无明确房颤史。颅内血管及颅外大血管狭窄导致可能性很小,房颤?夹层?卵圆孔未闭?大血管炎?
定位诊断:主要考虑左侧前循环急性栓塞。
病人在发病三小时内符合溶栓指征,可以溶栓。但该患者NIHSS评分20分,通过溶栓症状未见好转,已距发病4小时,立即完善头部MRA及DWI检查,来评估病灶大小及梗死的责任血管。



病人在发病六小时内符合动脉取栓时间窗。但病人血管代偿不同,梗死面积大小就有区别影响预后。只有病人症状重,梗塞面积小预后才好,反之预后差。
这是需要完善DWI检查的原因。即症状与影像不匹配。
术前也需要明确栓塞血管,明确病因,即低灌注梗塞?还是穿支事件?有的放矢手术及交代病情。
这是完善MRA的原因。发现该病然前交通开放,右侧颈内动脉通过前交通动脉向左侧大脑中动脉代偿供血,但代偿不足,左侧颈内动脉不显影。

术中弓上造影病人为急性颈内动脉闭塞,原因是心脏栓子脱落?夹层?
造影提示:红箭头左侧颈内动脉无前向血流。小绿箭头提示左侧大脑中动脉有代偿不足的血流。
病因的思考:年轻病人急性颈内动脉闭塞首先考虑的是???----颈内动脉夹层----原因??颈部外伤----刺激颈部造成。
预后的思考:前交通动脉开放,说明病人通过血管代偿争取了脑组织窗。
挽救病人重要的是两个窗,一是时间窗,就是我们要争分夺秒打通血管所需要的时间,时间越短,损伤的神经元越少。二是脑组织窗,脑组织有三级代偿,即willis环、颈外、软脑膜的代偿。因此同样的时间开通血管,病人预后并不一样,就是代偿不一样,即脑组织窗不同。
通桥银蛇®颅内支持导管(6F 125)显神通,直接用ADPT技术抽吸颈内动脉管腔,开通闭塞的颈内动脉,可以见到眼动脉及胚胎型大脑后,该导管柔顺性好,往往可以不用泥鳅导丝及微导管微导丝裸奔到位,由于导管的性能好,今早开通到颈内动脉末端,缩短开通时间,是病人预后良好的保证。


经过抽吸导管到位于颈内动脉抽吸,已开通到颈内动脉眼段及交通段---颈内动脉分七段,眼段及交通段就是颈内动脉末端,也就意味着颈内动脉全程开通了。
此时发现该患者颈内动脉末端有粗大的胚胎型大脑后动脉。因此颈内动脉闭塞导致后循环缺血,因为它累及大脑后动脉及丘脑穿支。并导致枕叶、丘脑、海马区梗塞。这是术前看到前后循环同时梗塞的原因。


在通桥银蛇®颅内支持导管辅助下,通过取栓支架利用抽拉结合技术进一步开通血管。
通过微导丝及微导管在闭塞的管腔里寻找真腔,是该手术的难点。探寻真腔后微导管跟进,撤出导丝后释放支架。造影显示,大脑前动脉开通,并代偿大脑中动供血区,大脑中动脉也开通,但大脑中远端未有血流。
体会:侧位片红箭头可以看到粗大的胚胎型大脑后动脉,这个患者就是单纯的前循环梗塞,但是梗塞累计了胚胎型大脑后,增加了梗塞面积。
正位片黄箭头虽然远端未开通,但是大脑前发达,对大脑中有代偿,梗塞时间已经过六小时,怕术后出血,因此没有再次取栓。

2018年公布的最新指南,把取栓时间窗延长到24小时,不是每个患者都符合这个时间窗,只有17%的人群,因为提到了脑组织窗,血管代偿不同,这就是DAWN和DEFUSE-3研究的结果----侧枝循环不同。
作为医生还需要争取每一分钟开通血管,指南仍把前循环六小时作为黄金时间窗,6-24小时叫做超时间窗,24小时叫时间窗外取栓。
作者认为:术前评估核心梗塞仍很重要,病人不同代偿不同,对缺血耐受也不同。DWI影像可评估核心梗死区。
病人神志清,双眼左侧凝视恢复,失语,右侧肢体二级,左侧肢体肌力全部恢复。
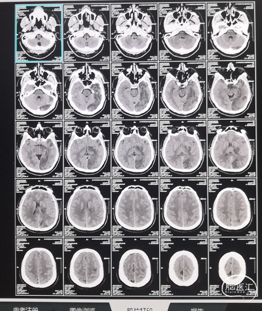
1. 梗死灶出现与术前DWI影像一致
2. 鞍上池及环池清晰
3. 左额顶叶皮层及半卵圆中心区没有梗塞
术后十天复查头部CT影像

年轻患者,血管代偿好,积极取栓治疗,是病人恢复保证。通桥银蛇®颅内支持导管的到位性能为整个手术提供巨大支持。
术后十二天行发泡实验,排除卵圆孔未闭。


年轻人脑梗塞一般有特殊原因,需排除血管夹层,粥样硬化,斑块脱落,卵圆孔未闭,血管炎性,免疫性等原因。
术后我们一直没有得到病人有房颤的证据,因此术后两周没有给与口服新型抗凝剂(利伐沙班)。
完善发泡实验,排除卵圆孔未闭的情况。
医生应努力学习,不断提高自己。
术者简介
指导老师:许友松
大连医科大学附属第一医院
大连医科大学附属第一医院神经外科教授、主任医师、硕士研究生导师、中国研究型医院学会神经外科学会委员、中国卒中学会神经外科学会委员、中国卒中学会神经外科复合分会委员.,2015年至2016年美国田纳西大学医学中心研修血管内治疗,2014年荷兰阿姆斯特丹大学医学院访问学者。
主要从事神经外科神经介入的临床,教学和科研的工作近30年。主持和参与课题组开展及完成多项国家级和省级科研课题,参与合作完成国家自然科学基金课题3项,主持和合作完成省教委基金课题2项,独立主持完成省教委课题一项,参与合作科研项目获省科技一等奖一项,获省科技二等奖一项。
长期从事神经外科临床疾病的诊治,尤其在脑血管疾病方面的治疗,各种复杂的颅内动脉瘤的神经介入治疗,颅内多发动脉瘤治疗,每年动脉瘤栓塞过百例,宽颈动脉瘤支架辅助治疗,双微导管技术的应用,同时开展颅内血管缺血性疾病的治疗。
于淼
瓦房店市中心医院
2006年毕业于辽宁医科大学,同年就职于瓦房店市中心医院神经外科,副主任医师。
2014年从事神经介入工作,分别于北京天坛医院,天津总医院,中国医科大学附属第一医院进修,在当地医院开展神经介入300余例。
申报大连市科研课题一项,申请并成功举办脑血管病省级教及市继教各一项。
2020被聘为大连市脑血管病专科联盟理事。
本内容仅供医学专业人士作线上专业交流
本内容不向非医学专业人士开放,敬请理解
讲课内容仅代表专家个人观点,非通桥医疗推广产品








