病情简介
患者2月余前无明显诱因突发头晕,伴右侧肢体无力感,仍能站立及持物,行走不稳,无头痛、恶心、呕吐、抽搐、意识障碍、耳鸣等情况,就诊于当地医院,全麻DSA提示右侧椎动脉闭塞,左侧椎动脉多发狭窄并瘤样凸起,考虑风险较大暂停手术,为行手术治疗患者就诊于我院,以“椎动脉狭窄、颅内动脉瘤”收入我科。
查体
神志清楚,言语流利,双瞳正圆,光反射灵敏,四肢肌张力基本正常,右侧肢体肌力4级左右,左侧肢体肌力5级,生理反射存在,病理征阴性。
DSA(外院)
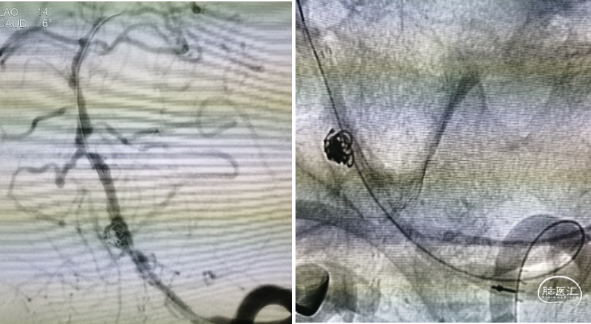
左侧椎动脉V4段狭窄,远端见瘤样扩张;右侧椎动脉闭塞。脑血管符合硬化表现。(阅片)
初步诊断
1.椎动脉狭窄(LV4,重度)
手术过程
患者取平卧位,全麻满意后,留置尿管通畅,术区常规消毒铺巾,右股动脉行Seldinger穿刺,置入6F动脉鞘,静脉肝素化,静脉尼膜同5 mL/h泵入。路图提示三型弓,超滑泥鳅导丝、4F MPA1、6F Envoy同轴送入左侧椎动脉,管头位置满意后造影见左侧椎动脉V4段多发重度狭窄,多发动脉瘤。Transcend微导丝携带SL-10微导管选入左侧大脑后动脉,微量造影明确微导管位于真腔内,交换300 cm Transcend微导丝,沿微导丝送入Gateway 2.0 mm×15 mm球囊扩张V4起始及椎基底交界处狭窄,造影见狭窄较前明显改善,撤出球囊,送入ProwlerPlus支架管,管头位置满意后撤出微导丝,连接高压肝素水持续滴注。路图指引下,Transcend微导丝携带SL-10微导管反复尝试无法于动脉瘤近端绕过支架管送入动脉瘤内,遂撤出微导管,沿支架管送入Enterprise 4.5 mm×37 mm支架一枚,头端释放于椎动脉,中段跨越动脉瘤,尾端跨越狭窄降落于正常管腔,重新跟入支架管通过支架,交换300 cm Transcend微导丝备用。Synchro微导丝携带塑形后SL-10微导管送入动脉瘤内,管头位置满意后撤出微导丝,沿微导管送入Target 360 Ultra 3 mm×6 mm、Target 360 Ultra 2 mm×6 mm各一枚,见弹簧圈位置良好,动脉瘤近全栓塞。撤出微导管,造影见动脉瘤近全栓塞,载瘤动脉内残余狭窄,考虑患者对侧椎动脉闭塞,遂跟入Gateway 2.0×15 mm球囊扩张狭窄处,再次造影见载瘤动脉通畅。遂结束手术,撤除各级导管系统,穿刺点封堵止血满意后加压包扎固定良好,患者麻醉苏醒后平车送回病房,术后给予监护、补液、吸氧、右下肢制动24小时、抗血小板等对症治疗,观察患者意识、瞳孔、肢体感觉及运动情况,及时对症处理。

三型弓,最终采用泥鳅导丝、4F MPA1、6F Envoy同轴技术送入左侧椎动脉


造影提示右侧椎动脉闭塞,左侧椎动脉V4多发重度狭窄,并V4段夹层动脉瘤


Transcend携带SL-10微导丝进入左侧大脑后动脉,明确真腔内后交换Gateway2.0mm×15mm以命名压缓慢进行两次扩张,造影见现在较前改善,动脉瘤近端存在狭窄暂时未扩张

首先尝试并行式支架释放,但ProwlerPlus通过后SL-10无法进入动脉瘤内,考虑动脉瘤近端狭窄较重,考虑患者血管情况较差,未尝试强行通过,遂考虑穿支架网眼。尽管选择的是4.5 mm×37 mm的EP支架,但长度仍然捉襟见肘,头端尝试释放于基底动脉时末端距离不足,考虑椎基底交界处血管扩张情况尚满意,遂将支架释放于椎动脉



穿支架网眼动脉瘤近全栓塞(Target 360 Ultra 3 mm×6 cm、Target 360 Ultra 2 mm×6 cm

Gateway 2.0 mm×15 mm球囊命名压缓慢后扩支架



栓塞结束后造影情况,可见支架贴壁良好,血管狭窄较前改善,动脉瘤近全栓塞,远端大脑后动脉显影明显改善

术后DWI提示左侧小脑半球点状小梗死灶,患者无新增神经功能障碍,术后第三天出院
术者思考
本例患者难点在于1.手术入路的建立;2.狭窄和动脉瘤处理的先后顺序。我们术前左手桡动脉已经预留,若经股动脉无法到位的话可能需行桡动脉穿刺。通过MPA1内衬Envoy终于成功经股动脉到位,显示出中间导管的重要性。本例患者狭窄位于动脉瘤两端,且程度较重,因此必须进行预扩才能把支架管及微导管送到位,但动脉瘤近心端的狭窄没有提前预扩,是出于担心动脉瘤破裂的考虑。
本例患者动脉瘤填塞没有做到完全栓塞,主要是考虑EP支架网眼较稀疏,而微导管是穿网眼通过支架,稳定性差,更小的弹簧圈可能会逃逸到血管内,患者对侧椎动脉闭塞,后交通代偿不佳,一旦出现血栓事件可能是灾难性的。术中我们尽可能加快速度,尽管如此整个手术从造影到结束约95分钟,Envoy到位后操作时间仍约为45分钟。所幸患者椎动脉管径大于2 mm,且过程中无血管痉挛发生,高压滴注速度适中,术后新发脑梗死仅为单一点状,且无神经功能障碍出现。
对于动脉瘤合并血管狭窄,是预扩还是后扩?选择开环还是闭环支架?动脉瘤栓塞程度?相信每个人有自己的考量,我们在临床工作中需要权衡利弊,针对不同的病例特点,选择最熟悉和最合适的治疗方法。







