患者SLC,64岁,男性,因发作性头晕12小时,加重伴意识模糊3小时入院。既往体健,否认高血压病,糖尿病病史。
患者于晨8时许出现头晕,感走路不稳,未予注意,随后患者头晕逐渐加重,遂到医院就诊,行头颅CT未见异常。患者于下午5时许开始出现头晕加重,意识水平下降,嗜睡,问话不答,急诊来院,以“脑梗死”收入院。

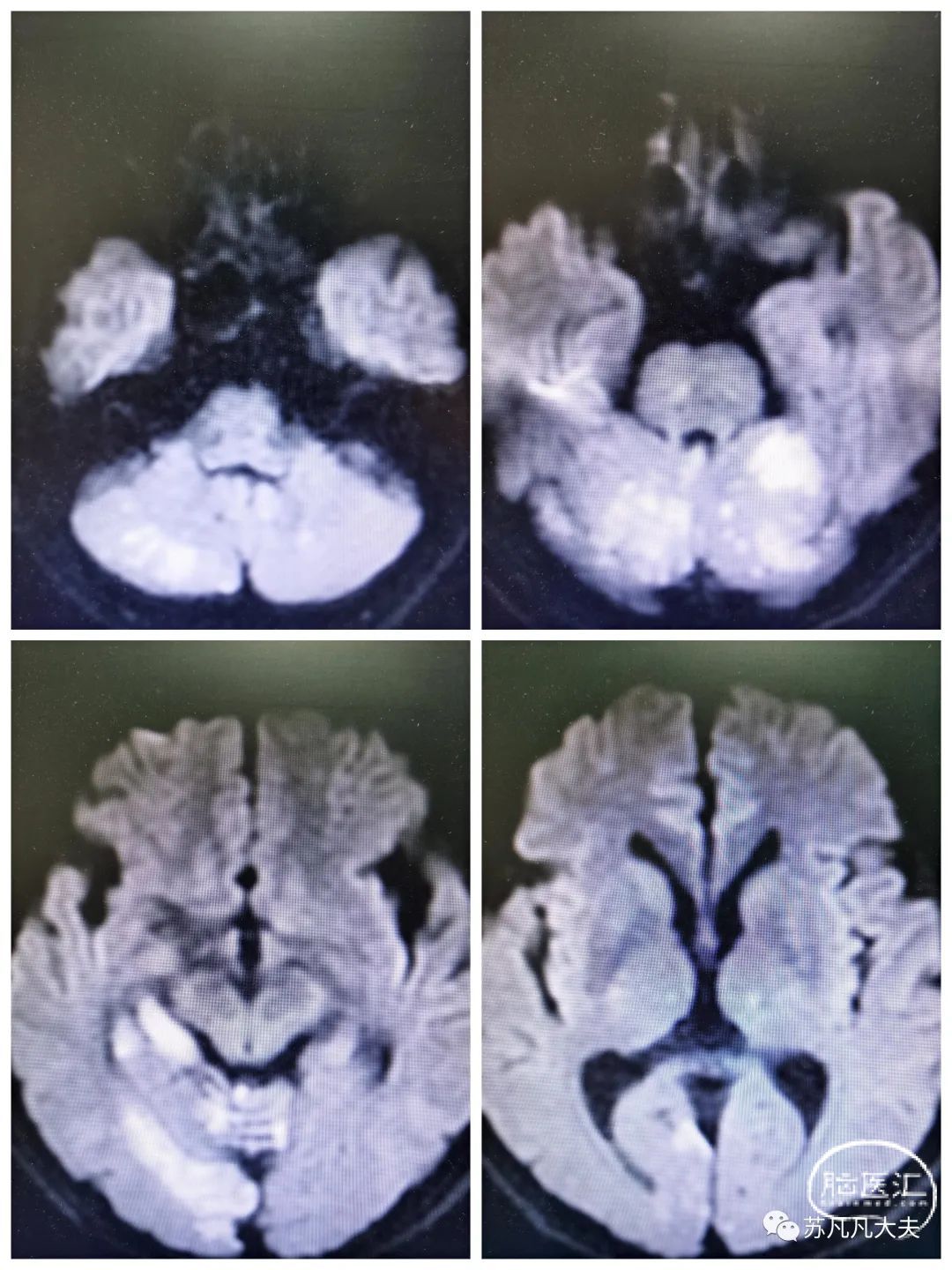
头CT可见双侧小脑梗死灶(11:33)

核磁DWI示双侧小脑,右侧颞叶,岛叶,双侧顶枕叶多发脑梗死。(19:30)

MRA示右侧椎动脉未显影,左侧大脑后动脉未显影。
诊断
脑梗死(后循环,低灌注,动脉-动脉栓塞)
诊疗策略
1、患者表现为后循环缺血症状,逐渐进展加重,目前出现意识水平下降;
2、核磁影像提示后循环多发梗死,存在低灌注及栓塞可能;
3、患者症状仍在逐渐加重;
4、发病时间错过静脉溶栓时间窗,有介入治疗指征。
向患者家属交代病情及预后,家属积极要求行介入治疗。



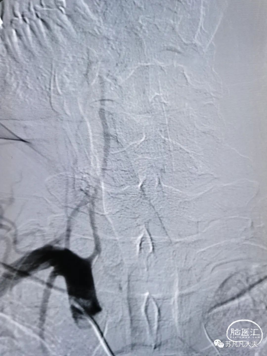
DSA示右椎发育不良,颅内段闭塞



DSA示左椎优势,V4段极重度狭窄,左侧大脑后动脉未显影
脑血管造影提示
患者右椎发育不良,左椎优势,颅内段极重度狭窄,狭窄远端存在双侧小脑后下动脉,导致低灌注,同时左侧大脑后动脉未显影,考虑系狭窄基础上血栓形成后脱落致大脑后动脉栓塞。
手术思路
1、行左椎颅内段球囊扩张后支架成形;
2、中间导管通过支架后辅助行左侧大脑后动脉支架取栓术。

2.5/15球囊预扩后仍残余重度狭窄

4.5/13颅内支架定位,6atm释放
支架后颅内段狭窄解除

微导丝携微导管到达左侧大脑后动脉远端

微导管造影确认真腔

4/20取栓支架到位释放后造影

取栓后左侧大脑后动脉P1段再通
考虑患者大脑后动脉远端迂曲,继续取栓存在血管破裂出血风险,和家属交代后结束手术。


术后造影狭窄解除,颅内血供改善
术后给予静脉替罗非班,监测生命体征,患者意识水平较前明显改善,四肢活动良好。

次日复查头CT见梗死灶同核磁DWI显示病灶,左侧枕叶未见新发梗死灶。

患者意识清,问答合理,四肢活动良好,病情平稳。
术者体会
1、后循环卒中临床表现多样,易忽视,本例患者以头晕为首发表现,随后逐渐进展,出现意识障碍。
2、依据核磁影像可判断病因,积极血管内治疗是改善预后的有效方式。
3、本例患者考虑系因左椎动脉颅内段狭窄导致低灌注及血栓形成,合并栓子脱落。
4、血管内治疗对于错过静脉溶栓时间窗的患者是最有效的救治手段。

苏凡凡
苏凡凡,解放军第967医院神经介入科主任,副主任医师,副教授,硕士研究生导师。现任全军神经内科学术委员会青年委员,全军神经内科学术委员会脑血管病介入学组委员,中国研究型医院学会介入神经病学专业委员会卒中急诊学组委员,辽宁省生命科学学会神经重症与介入专业委员会常务委员,辽宁省大连市脑血管病专科联盟副会长,辽宁省大连市劳动能力鉴定专家组成员,辽宁省大连市医疗鉴定专家组成员,享受军队优秀专业技术人才岗位津贴,获第四届“白求恩式好医生”提名奖。





