芬兰赫尔辛基大学神经外科的Ilari Rautalin等在2021年2月的《Neurocrit Care》杂志报道1例aSAH患者在没有心脏停止搏动的情况下,出现短暂的颅内循环停止而意识丧失;这种颅内循环停止是短暂的,伴临床状态不佳,但可以恢复较好。
——摘自文章章节
【Ref: Rautalin I & Korja M. Neurocrit Care. 2021 Feb;34(1):340-342. doi: 10.1007/s12028-020-00948-w.】
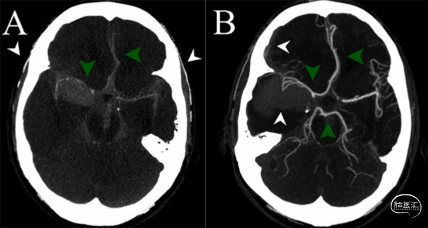
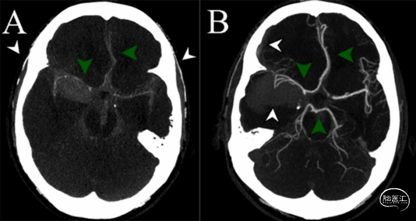
动脉瘤性蛛网膜下腔出血(aSAH)患者约有25%死于院前或急诊室。SAH引起的猝死第一症状是意识丧失(loss of consciousness,LOC),这也是非致命性SAH的常见症状。对动脉瘤破裂时LOC的病理生理机制仍有争议。芬兰赫尔辛基大学神经外科的Ilari Rautalin等在2021年2月的《Neurocrit Care》杂志报道1例aSAH患者在没有心脏停止搏动的情况下,出现短暂的颅内循环停止而意识丧失;这种颅内循环停止是短暂的,伴临床状态不佳,但可以恢复较好。1例有吸烟史、高血压和哮喘的50-60岁患者在运动时意识丧失,接受复苏后患者在几分钟内意识恢复。入院时患者神志清醒,无神经功能缺失,但血压偏高和头痛严重。进行CT检查时,患者再次意识丧失,并出现窦性心动过缓,但瞳孔大小及光反射正常。即刻气管插管,行头部CT扫描和CTA检查。在CTA检查期间,收缩压突然升高超过200mmHg。给予镇静和抗高血压药物治疗,双侧瞳孔变大、光反射消失。CTA成像显示,大脑中动脉近端和大脑前动脉水平远端的颅内循环停止,但颅外动脉正常充盈(图1a)。CT扫描示弥漫性SAH合并脑内血肿,未发现颅内动脉瘤。快速输注甘露醇后,患者瞳孔在10分钟内恢复正常。在第一次CTA的57分钟后患者状态稳定,再次CTA检查显示颅内循环恢复(图1b),并有再出血迹象,右后交通动脉处有可疑病灶。接着,DSA检查发现,右侧后交通动脉瘤(图2a)。住院期间的心电图和生物标志物均未提示发生过应激性心肌病。给予显微手术夹闭动脉瘤(图2b),并清除脑内和硬膜下血肿。患者出现脑积水,采用脑室腹腔分流术。一年后,患者重返工作岗位,并进一步进行神经认知后遗症的康复治疗。
图1. 患者在发生aSAH时行CT扫描和CTA成像。A.动脉瘤破裂、颅内循环停止,大脑前、中动脉远端区域充盈模糊(绿色箭头),而颅外动脉清晰可见(白色箭头)。B.颅内循环恢复后,大脑前、中、后动脉供血区正常充盈。CTA提示再次出血(白色箭头)。

图2. A.DSA显示右后交通动脉瘤。B.术后CTA示动脉瘤夹闭。通过分析该患者发生LOC但不伴有心脏骤停时进行的CT和CTA检查结果,作者认为aSAH患者发生LOC,很可能是短暂的颅内循环停止所引起。建议进一步的临床试验证实此现象并非为偶然发生。

声明:脑医汇旗下神外资讯、神介资讯、脑医咨询所发表内容之知识产权为脑医汇及主办方、原作者等相关权利人所有。未经许可,禁止进行转载、摘编、复制、裁切、录制等。经许可授权使用,亦须注明来源。欢迎转发、分享。