2021年08月23日发布 | 3852阅读
创伤重症-自定义

V-P术后疑似分流依赖性脑积水一例(神经急重症系列二)---浙二神外周刊(第314期)

吴海建

浙江大学医学院附属第二医院

闫伟

浙江大学医学院附属第二医院

达人收藏
“浙二神外周刊”每周病例回顾,提出最优化的临床治疗分析和随访指导意见。专业讨论意见仅代表浙二神经外科团队观点,如有不同见解,欢迎同道斧正!每期讨论病例资料及整理均为“浙二神外周刊”原创,“浙二神经外科”授权官方合作新媒体《神外资讯》发布,其他网络媒体转载,请务必注明出处!


提示

“浙二神外周刊”不定期接收外院投稿,审核后发表。欢迎各专业同道联系我们,分享精彩病例、研究热点或前沿资讯。投稿请联系:shishi74@163.com


前言


神经急重症亚专科是浙大二院神经外科主要亚专科之一,每年完成相关手术逾千例。经过多年发展,亚专科在重型颅脑损伤的规范化诊治、自发性脑出血的个体化微创化治疗、严重颅内感染及复杂脑积水等各种术后并发症的处理等方面积累了丰富的经验。近年来,通过将神经内镜、立体定向及神经介入等新技术引入亚专科,团队在创伤性视神经损伤、自发性脑干出血及顽固性硬膜下积液等疾病治疗领域取得了丰硕成果。目前亚专科由闫伟副主任医师牵头,联合科室多个医疗组及兄弟科室,共同救治急重症患者。自313期开始系列报道科室神经急重症亚专业的相关病例,与同道共享,并期待大家指导、交流。


病史简介


患者,女性,27岁,因“V-P分流术后20年,头颈部疼痛1月余,加重伴视物重影1周”入院。

患者20年前因小脑胶质瘤行开颅手术治疗,术后2月因脑积水行脑室腹腔分流术(Ventriculo-peritoneal Shunt, V-P分流术)(不可调压式分流管,中压),术后患者恢复可,无头痛呕吐、步态不稳、记忆力差等情况,未定期复查。1月前患者无明显诱因下开始出现头颈部阵发性胀痛,晨起时尤为明显,站立及行走后有所缓解,伴头晕,未予重视。1周前患者感头颈部疼痛明显加剧,颈部疼痛尤其明显,伴视物重影,无恶心呕吐,无肢体抽搐无力,到当地医院就诊,查头颅CT提示:脑瘤及脑积水术后改变,交通性脑积水,脑脊液引流管在位。查头颅增强MRI示:小脑及脑积水术后,术区软化灶形成,脑室系统扩张。给予对症支持治疗(具体不详),上述症状未见好转,为进一步治疗来我院就诊,拟“脑积水V-P分流术后”收住入院。自起病以来,神志清,精神软,胃纳睡眠一般,无大小便失禁,体重无明显减轻。既往无高血压、糖尿病、心脏病等基础疾病及外伤史。
 
入院查体:体温:36.6℃,呼吸:14次/分,脉搏:91次/分,血压100/66mmHg,血氧饱和度:99%。痛苦面容,神清,对答切题,GCS评分:E4V5M6=15分,双侧瞳孔等大等圆,直径3mm,对光反射灵敏,鼻唇沟对称,伸舌居中,颈项强直,双肺呼吸音清,未闻及干、湿啰音,心律齐,未及额外心音和病理性杂音,腹软,无压痛及反跳痛,肝脾肋下未及。四肢肌力IV-级,肌张力无增减,浅、深感觉无明显异常,双侧巴氏征阴性,指鼻试验阴性,闭目难立征阴性。
 
实验室检查:血常规:红细胞3.44×1012/L、血红蛋白107g/L、白细胞 6.1×109/L(中性粒细胞百分比59.4%,淋巴细胞百分比31.2%)。
 
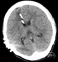
辅助检查:我院头颅CT(图1)提示:小脑肿瘤切除术后,左侧小脑半球软化灶。脑积水V-P分流术后,脑室系统轻度扩张。头颅MRI平扫+黑水成像+DWI(图2A)提示:脑积水V-P分流术后,交通性脑积水伴间质性脑水肿,脑室系统轻度扩张。头颅增强MRI提示:小脑肿瘤切除术后,左侧小脑半球软化灶,伴脑室穿通畸形;脑积水V-P分流术后,脑积水伴间质性脑水肿,幕上脑实质未见明显异常密度灶,静脉窦未见明显异常。颈椎MRI(图2B)示:未见明显异常。


图1. 头颅CT提示脑积水V-P分流术后,脑室系统轻度扩张。


图2. (A)头颅MRI提示:脑积水V-P分流术后,交通性脑积水伴间质性脑水肿,脑室系统轻度扩张;(B)颈椎MRI示:未见明显异常。


诊治经过


根据患者病史、临床症状及影像学表现,诊断为:1.头颈部疼痛,原因待查?2.脑积水V-P分流术后;3.小脑肿瘤切除术后。完善常规检查及相关检查,三大常规、肝肾功能、电解质、心超、胸部CT检查结果均无明显异常。行腹部CT检查提示:V-P分流术后,腹腔见引流管影;右侧结肠旁沟少量积液,未见分流管头端包裹情况。检查分流阀提示弹性可,下压及回弹良好。行第一次腰穿检查,测得初压为100mmH₂O;送检脑脊液常规、生化、涂片、细菌和真菌培养均无异常。腰穿释放30ml脑脊液后,患者感头颈部疼痛较前稍有减轻。考虑患者上述症状可能因V-P分流管通而不畅、分流系统工作效能降低引起。但患者腰穿压力不高,且主要症状表现为颈项部疼痛,为进一步明确诊断及评估疗效,与患者及家属沟通病情后,决定先期行腰大池置管引流术。术后每日控制脑脊液引流量为200ml,患者诉头颈部疼痛较前明显减轻,无视物重影,肌力逐步恢复至V级。4天后腰大池引流管予以拔除,患者感头颈部疼痛再次加重。次日第二次行腰穿,测得初压仅为70mmH₂O,脑脊液送检结果无异常。腰大池置管引流后复查头颅MRI提示:脑积水V-P分流术后,脑积水伴间质性脑水肿;较前大致相仿,脑室无明显缩小(图3)。基于上述临床表现及检查评估结果,考虑患者头颈部阵发性剧烈疼痛及视物重影症状可能与长期脑脊液分流术后脑室顺应性降低、分流管工作效能不良相关,存在一定程度的分流管依赖状况,遂行“脑室腹腔分流术”,术中见未按压状态下分流阀无脑脊液流出,按压分流阀后正常运作,有清亮脑脊液流出(视频1);术中使用自制的测压装置,发现脑室端及分流阀通畅,颅内压力约为80mmH₂O(视频2)。因原脑室段引流管较短,无法实现重力阀与地面垂直,故重新植入脑室端分流管,原分流管拔除困难,予结扎(视频2)。新分流管术前初始压力调整设置至为100mmH₂O,术后调整至60mmH₂O。术后患者症状明显改善,1周后病情稳定出院。术后1月门诊复诊,无明显头颈部疼痛、头晕、视物重影等不适,复查头颅CT(图4)提示脑积水较前好转。


图3. 腰大池置管引流术后复查头颅MRI提示:脑积水V-P分流术后,脑积水伴间质性脑水肿;较前大致相仿。




图4. 术后1月复查头颅CT提示脑室端分流管在位,脑积水较前好转,余未见明显异常。


讨论


V-P分流术是治疗脑积水最常用的手术方法,操作简便,但并发症很常见,主要包括机械性、感染性及功能相关性并发症(表1)[1]。其中,分流系统功能障碍是V-P分流术后最常见的并发症之一,其发生率可达50%左右,与之相关的死亡率可达1-2%[2-4]。因此,充分了解分流装置的属性、放置及功能状况,及时准确地评估V-P分流术后患者的临床表现及影像学特点,将有利于对该类患者进行精准的管理和处置。


对于典型病例,当存在颅高压的症状、脑积水进展的影像学特征、分流装置梗阻的表现,诊断分流系统功能障碍并不难。然而,当V-P分流术后患者仅有头痛头晕等非特异性症状,脑脊液压力检测并不高,检查分流阀发现弹性良好,下压及回弹均正常,头颅CT等影像学检查亦未见明显异常时,将对判定分流系统工作正常与否及是否需要更换分流装置带来了困难[2]。在本病例中,患者V-P分流术后20年,出现阵发性头颈部疼痛,颈项强直,伴视物重影,但影像学检查提示脑室系统仅轻度扩张,特别是腰穿压力亦不高,检查分流阀发现弹性良好,且缺少长期随访复查影像资料予以比对,因此,诊断上存在一定的困难。通过要穿、外周血象及影像学检查,在排除颅内病变及感染的情况后,我们先行腰大池置管引流,以明确诊断并判断V-P分流管重置的必要性。腰大池置管持续引流脑脊液4天,每日引流量为200ml,患者诉头颈部疼痛症状明显缓解。拔除腰大池引流管后,次日患者头痛症状明显,但此时再次腰穿,测得初压仅为70mmH₂O。且腰大池持续引流后复查头颅MRI显示脑室同引流前,无明显缩小。基于该患者的病史、临床表现及检查评估结果,特别是腰大池引流前后患者临床表现及检查。我们认为患者头颈部阵发性剧烈疼痛及视物重影症状可能与长期脑脊液分流术后脑室顺应性降低、分流管工作效能不良相关,存在一定程度的分流管依赖状况,遂行“脑室腹腔分流术”。术中检测证实原引流系统通而不畅,患者颅内压不高;遂重置V-P分流管,并于术后将分流管压力下调至60mmH₂O。术后患者症状明显改善,复查头颅CT提示脑积水较前好转。


表1. V-P分流术后常见的并发症(Bober et al. Pediatr Emerg Med Pract. 2016 Feb; 13(2):1-22)


分流管依赖综合征是一种因长期放置分流管导致的少见并发症,主要见于蛛网膜囊肿-腹腔分流术后[5,6]。目前,分流管依赖的发生机制尚未阐明,可能的机制有:1.长期脑脊液分流使患者脑脊液主要依赖分流管分流,导致其生理性脑脊液吸收功能遭到废弃而减退;2.部分脑脊液分流术后患者可出现颅内压降低,慢性低颅压可导致硬膜和脑组织发生纤维化,造成组织顺应性下降,不利于对抗颅内压上升[7-9]。因此,当分流管引流障碍或分流管拔除后,经分流管途径引流的脑脊液减少甚至中止,而已减退的脑脊液吸收功能无法代偿,则可导致脑脊液排出受限。同时,脑室壁因长时间低颅压导致顺应性下降无法扩张代偿而出现颅高压症状[10,11]。临床主要表现为急性的剧烈头痛、恶心呕吐、视乳头水肿等颅高压症状。值得一提的是,部分患者可表现为颅内压不高,也无明显脑室扩张表现,甚至出现脑室容积较V-P分流术前更小的情况,也需要考虑存在分流管依赖和脑室分流系统功能障碍的可能性,需要仔细评估以利于准确干预治疗。文献报道,分流管依赖综合征几乎都发生再颅内蛛网膜囊肿行囊肿-腹腔分流术后;部分学者认为,V-P分流术后患者也可能面临同样的脑脊液循环机制改变,也可能发生该并发症。本例患者有类似于分流管依赖综合征典型的阵发性头痛、颈项疼痛及视物不清的表现;腰穿压力低而脑室轻度扩展伴间质性水肿,腰大池持续引流后脑室无明显缩小等表现,皆提示患者脑组织顺应性及弹性变差。因此,我们推断该患者病情演变与分流管依赖综合征机制相仿。


此外,对于分流术后分流管是否通畅,临床上缺乏非常简便有效的评估方法。按压储液囊,通过其下压和回弹是否顺畅判断引流系统的通畅程度,是临床上常用的方法。但本例显示,该方法存在一定的局限性。患者储液囊按压和回弹都顺利,但术中所见证实:在无外界压力情况下,引流系统引流不畅,因颅内压低于分流阀的阈值;按压后,在施加进一步压力作用下,引流通畅,储液囊下压和回弹皆无明显阻碍。这种情况对临床判断有一定借鉴意义。


综上,对于脑积水行V-P分流手术的患者,在长期随访过程中,如出现头痛、呕吐、视力减退等症状,应及时评估颅内情况及分流系统引流状况,注意到正常颅压甚至低颅压脑积水以及分流管依赖可能,并与过度分流引起的缝隙样脑室综合征作鉴别[12],进而作出恰当的临床决策和处理。


点击进入浙大二院神外官方账号


参考文献


1. Bober J, Rochlin J, Marneni S. Ventriculoperitoneal Shunt Complications In Children: An Evidence-Based Approach To Emergency Department Management. Pediatr Emerg Med Pract 2016; 13:1–22; quiz 22–23.
2. Sainte-Rose C. Shunt obstruction: a preventable complication? Pediatr Neurosurg 1993; 19:156–164.
3. Madikians A, Conway EE. Cerebrospinal fluid shunt problems in pediatric patients. Pediatr Ann 1997; 26:613–620.
4. Kim TY, Stewart G, Voth M, Moynihan JA, Brown L. Signs and symptoms of cerebrospinal fluid shunt malfunction in the pediatric emergency department. Pediatr Emerg Care 2006; 22:28–34.
5. Li C, Yin L, Jiang T, Ma Z, Jia G. Shunt dependency syndrome after cystoperitoneal shunting of arachnoid cysts. Childs Nerv Syst 2014; 30:471–476.
6. Laviv Y, Michowitz S. Acute intracranial hypertension and shunt dependency following treatment of intracranial arachnoid cyst in a child: a case report and review of the literature. Acta Neurochir (Wien) 2010; 152:1419–1423; discussion 1422-1423.
7. Paisan GM, Ding D, Starke RM, Crowley RW, Liu KC. Shunt-Dependent Hydrocephalus After Aneurysmal Subarachnoid Hemorrhage: Predictors and Long-Term Functional Outcomes. Neurosurgery 2018; 83:393–402.
8. Mijderwijk H-J, Fischer I, Zhivotovskaya A, et al. Prognostic Model for Chronic Shunt-Dependent Hydrocephalus After Aneurysmal Subarachnoid Hemorrhage. World Neurosurg 2019:S1878-8750(19)30024–5.
9. Fukuhara T, Luciano MG, Brant CL, Klauscie J. Effects of ventriculoperitoneal shunt removal on cerebral oxygenation and brain compliance in chronic obstructive hydrocephalus. J Neurosurg 2001; 94:573–581.
10. Hsu S-Y, Chang H-H, Shih F-Y, et al. Risk Factors for Ventriculoperitoneal Shunt Dependency in Patients with Spontaneous Cerebellar Hemorrhage. World Neurosurg 2017; 105:63–68.
11. Kim S-K, Cho B-K, Chung Y-N, Kim H-S, Wang K-C. Shunt dependency in shunted arachnoid cyst: a reason to avoid shunting. Pediatr Neurosurg 2002; 37:178–185.
12. Rekate HL. The slit ventricle syndrome: advances based on technology and understanding. Pediatr Neurosurg 2004; 40:259–263.

 

(本文由浙二神外周刊原创,浙江大学医学院附属第二医院神经外科吴海建主治医师整理,闫伟副主任医师审校,张建民主任终审)


声明:脑医汇旗下神外资讯、神介资讯、脑医咨询所发表内容之知识产权为脑医汇及主办方、原作者等相关权利人所有。未经许可,禁止进行转载、摘编、复制、裁切、录制等。经许可授权使用,亦须注明来源。欢迎转发、分享。

最新评论
发表你的评论
发表你的评论
来自于专栏