美国丹维尔盖辛格神经科学研究所神经外科的Cameron Brimley等报道1例罕见的一侧大脑半球严重发育不良、无侧脑室的难治性癫痫患儿的半球切开术结果并介绍新颖手术的要点;文章发表于2020年8月的《J Neurosurg Pediatr》在线。
——摘自文章章节
【Ref: Brimley C, et al. J Neurosurg Pediatr. 2020 Aug 28;1-6. doi: 10.3171/2020.5.PEDS20247. [Epub ahead of print]】
大脑半球离断或切开术是治疗难治性癫痫的有效的方法。解剖性半球切除风险较大,正被保留脑组织的半球切开术所替代。而侧脑室是该术式的关键结构;美国丹维尔盖辛格神经科学研究所神经外科的Cameron Brimley等报道1例罕见的一侧大脑半球严重发育不良、无侧脑室的难治性癫痫患儿的半球切开术结果并介绍新颖手术的要点;文章发表于2020年8月的《J Neurosurg Pediatr》在线。13个月的男性患儿,抗癫痫药物治疗11个月,但控制不良,表现为动作突然停止,随后出现右侧面肌痉挛或全身抽搐,伴右侧上肢痉挛或右侧肢体痉挛。发作期和发作间期的EEG检查显示异常脑电波均为左侧。在神经外科就诊时,癫痫发作非常频繁,每天数十次,并出现双侧痉挛症状。患儿口服左乙拉西坦100mg/kg/d、奥卡西平33mg/kg/d、氨己烯酸1500mg/d以及类固醇。患儿发育明显迟缓,嗜睡,右侧肌张力增高伴中度偏瘫,无法爬行。EEG显示,左侧慢波伴中央颞区棘波,以及左侧半球发作间期尖波。MRI显示,左侧大脑半球明显发育不良,未见侧脑室(图1、2)。患儿整个半球严重畸形,由于没有侧脑室和典型的半球切开术的解剖标志,因此侧方入路半球离断很难完成。为此,作者创新地采用俯卧位经枕半球间入路行半球切开术。
图1. MRI-T1加权增强冠状位成像和T1加权矢状位成像;A和B为术前,C和D为术后改变。A.大脑镰与半球间隙成角;经顶入路,转向患侧小脑幕。B.左侧矢状窦旁成像显示,额叶与左视束关系紧密;分离额叶和左侧视神经时,以视神经作为关键解剖标志。C.从三脑室到小脑幕分离丘脑与中脑。D.中脑喙部与视束上方离断。
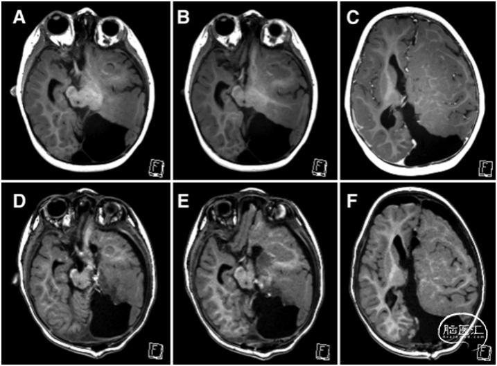
图2. MRI-T1加权轴位成像;A-C为术前,D-F为术后显示解剖切开。A和B.左侧视路、前脑和额叶之间的关系。D和E.在左侧视路上方可见丘脑与中脑切开、半球间隙切开。C.大脑纵裂静脉是胼胝体前部切开的标志。F.显示胼胝体切开。术中患儿取俯卧位,安装Mayfield头架固定,采取神经电生理监测和导航辅助。作左枕部正中线旁5.5cm头皮直切口,小骨瓣开颅。C形剪开硬膜,翻向矢状窦侧。可见左侧枕部重度发育不良(图3)。
图3. A.患者取俯卧位,Mayfield头架固定,术中神经电生理监测。B.作左枕部正中线旁5.5cm直切口。C.左侧枕部重度发育不良。显微镜下,切入半球间隙,从小脑幕切迹左侧至视神经,放置脑棉作为丘脑与中脑切开的标志。视神经位于半球间切开的前界和下界,在此打开三脑室后部,在双侧丘脑之间分开中间块。再沿着半球间隙至胼胝体。辨识右侧穹窿,其向前分开发出纤维束,经过发育不良的组织至左侧乳头体(图4)。穹窿的位置有助于确定胼胝体向前切开的方向。沿中线静脉从后至前切开胼胝体,避免损伤穹隆(图5)。当到达穹隆间裂时,继续切开左侧纤维,并保护右侧穹窿完整,然后向下至视路,连通三脑室前部至鞍上池、视交叉池和颈动脉池。
图4. 术中保护穹窿。A.MRI-T2加权冠状位成像显示右侧穹窿(箭头),其发出纤维通过发育不良的中线神经组织至左侧乳头体。B.术中照片示穹隆复合体。
图5. A.术后MRI-T1加权增强轴位成像显示,胼胝体切开后的三脑室静脉(箭头)。B.术中照片示,胼胝体切开后显露的静脉(箭头)。
从三脑室到小脑幕切迹切开丘脑与中脑连接。继续向前切开脑组织,直到视交叉池和颈动脉池,从而把半球间离断与脑干离断相连通。重要的是,当在脑干的水平离断时,不必离断颞干、杏仁核、海马和放射冠。预期术后左脑对右侧肢体运动的支配可丧失,但术中对侧电生理监测信号保持稳定。至此,已从脑干与对侧半球发育不良的皮质完全分离。彻底出血后正常关颅,三脑室内放置引流管。估计失血量为250ml;术中患者液体出入量平衡,未输血。
术后MRI成像显示对侧半球完全离断,并且无损伤出血。术后第3天拔除引流管,第4天转出ICU。检查发现,无假性脑脊膜膨出和无癫痫发作。在出院到康复治疗前,患儿已开始移动术前不能活动的右侧肢体;与术前相比,互动和认知更好,表现为渴望食物和玩具。
术后随访7个月,无癫痫发作,减少抗癫痫药物用量;患儿生长发育明显加快。开始走路,而术前完全不能;俯卧时能用双臂推高上身;并在增加语言沟通。双眼均可以追物,表明双侧视神经功能保护完好。由于手术累及左侧下丘脑,术后在ICU和随访中均重复检查内分泌功能,结果显示正常。随访13个月,仍然无癫痫发作,已能独立行走,可以说更多词语。作者手术结果表明,对于无侧脑室的患儿可以经枕入路行单纯半球切开术,也可获得半球完全离断术控制癫痫的效果,而且未发生半球切除术的并发症。

声明:脑医汇旗下神外资讯、神介资讯、脑医咨询所发表内容之知识产权为脑医汇及主办方、原作者等相关权利人所有。未经许可,禁止进行转载、摘编、复制、裁切、录制等。经许可授权使用,亦须注明来源。欢迎转发、分享。