■ 前言
颅内动脉慢性狭窄急性闭塞往往合并有继发血栓形成,如何规避增加急诊腔内再通后血栓塞逃逸几率是我们在术前必须考虑到的问题。而术中球囊扩张可有效防止夹层形成,球扩成形良好后维持予欣维宁静脉抗板往往能维持责任病变的良好血运。
本期嘉介谈邀请珠海市人民医院李忠亮、程光森教授,展示SacSpeed®球囊用于ICAS病变急性闭塞急诊再通一例,精彩不容错过。
患者基本信息
男性,62岁
突发右侧肢体无力,伴意识不清5小时。
简要病史
家属代诉:患者缘于5小时前(约13:30)无明显诱因突然出现右侧肢体无力,伴有一过性呼之不应,持续时间约5-6分钟,家属呼叫后意识模糊,不能言语,无肢体抽搐、大小便失禁,遂由120送至我院急诊。
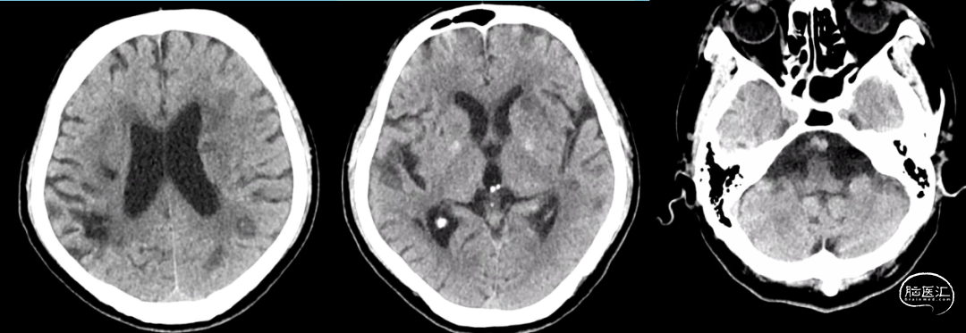
急查头颅CT+CTA检查示:左侧基底节区及放射冠区腔隙性脑梗塞、双侧颈内动脉及基底动脉硬化、左侧大脑中动脉M1段以远闭塞。予阿替普酶58.5mg静脉溶栓治疗,溶栓治疗后患者症状未见明显改善,经我科急会诊后拟“急性大脑中动脉闭塞脑梗死” 收住入院,患者自起病以来,呈嗜睡状态,胃纳一般,大小便如常,近期体重无明显变化。
既往史:7年前有“脑梗死”病史,于外院保守治疗,具体治疗情况不详,未遗留明显肢体乏力;高血压病史10年,未规律服用降压药治疗,血压情况不详,否认冠心病,糖尿病等慢性疾病史。
入院查体情况
意识:嗜睡;NIHSS评分:12分。
混合性失语,不能配合查体,双侧瞳孔直径约2.5mm,对光反射灵敏,眼球各项运动正常,颈软,无抵抗,肺部未闻及干湿性啰音,心律齐,腹部无压痛,右侧肌力1级,左侧肌力5级,双侧肌张力正常,双侧腱反射对称,右侧巴氏征阳性,脑膜刺激征阴性,感觉检查、共济检查不能配合。
术前查体情况
术前头颅CT+CTA:左侧基底节区及放射冠区腔隙性脑梗塞、双侧颈内动脉及基底动脉硬化、左侧大脑中动脉M1段以远闭塞。
左侧大脑中动脉M1段闭塞。
前、后交通动脉均未开放,未见后循环经软脑膜支代偿血运供应左侧颞叶。
病因考虑:
左侧大脑中动脉慢性狭窄并急性闭塞。
8F血管鞘,8F-指引导管,泥鳅导丝
Sofia(125cm,6F)远端通路导管
Synchro-14(3m)微导丝
加奇SacSpeed® 2mm×9mm颅内球囊
Wingspan 2.5mm×15mm颅内动脉支架
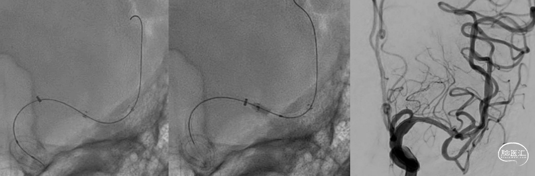
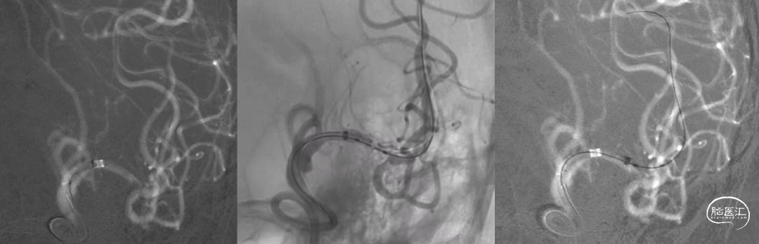
8F指引勾选左侧颈内动脉,推送Sofia导管至左侧大脑中动脉闭塞段近端;Sofia导管抽除少量团块样血栓,闭塞段血运复通,责任病变段血管重度狭窄。
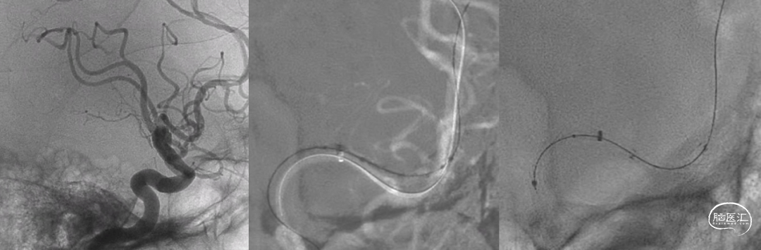
Synchro-14微导丝留置于左侧大脑中动脉下干远端分支建立轨道;沿导丝送入加奇SacSpeed® 2mm×9mm颅内球囊,造影定位于狭窄段。
加奇SacSpeed® 2mm×9mm颅内球囊缓慢充盈成形扩张原位狭窄段;经球扩后,责任病变血管狭窄程度明显改善,前向血运流速改善。
责任病变血管管壁毛糙,内膜撕裂?血栓附壁?
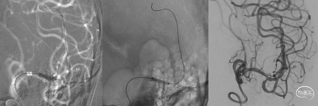
欣维宁10ml静脉推注、6ml/h泵注20min,使用Wingspan 2.5mm×15mm颅内动脉支架定位于残余狭窄段释放。
推送加奇SacSpeed® 2mm×9mm颅内球囊至支架内后扩张成形(加奇SacSpeed® 2mm×9mm颅内球囊内加压至12atm)。
最后造影显示支架贴壁良好、支架内血运通畅、支架以远各级动脉分支显影良好。

病例总结
1
颅内动脉慢性狭窄急性闭塞往往合并有继发血栓形成,如何规避增加急诊腔内再通后血栓塞逃逸几率是我们在术前必须考虑到的问题,充分造影评估病变段性质、指引导管封闭近端前向血运、闭塞段先行抽吸&支架取栓减低血栓负荷量都是必要的操作步骤。
2
对于颅内动脉慢性狭窄急性闭塞行逐级加奇SacSpeed® 2mm×9mm颅内球囊扩张可有效防止夹层形成,球扩成形良好后维持予欣维宁静脉抗板往往能维持责任病变的良好血运,可避免支架内急性血栓形成后闭塞的被动局面;对于部分出现管壁损伤的情况,使用开环支架修复损伤内膜、改善残余狭窄可能效果更好。
3
此病例中加奇SacSpeed® 2mm×9mm颅内球囊的优点非常明显:
a.加奇SacSpeed® 2mm×9mm颅内球囊充盈后显影性优良;
b.通过眼动脉弯等迂曲血管时柔顺性优良;
c.支架内后扩张操作过程中,加奇SacSpeed® 2mm×9mm颅内球囊进入支架、撤离支架均未见挂壁现象,安全性优良;
d.加奇SacSpeed® 2mm×9mm颅内球囊完全充盈后成形效果优良。
第一术者:
李忠亮
珠海市人民医院
暨南大学附属珠海医院
脑血管病诊疗中心主治医师,临床医学硕士。
广东省医学会介入医学分会秘书,广东省医学教育协会脑血管病专业委员会委员,珠海市医师协会脑血管医师分会秘书。
专业能力:从2015年开始从事周围血管疾病介入诊疗工作,参与完成脑动脉瘤栓塞、脑动静脉畸形栓塞、颅内动脉狭窄成形等四级神经介入治疗手术近千例,独立完成急诊脑动脉介入取栓逾百例。
学术能力:一作/共一于《Brain Research》等杂志发表SCI论文3篇。参与国自然面上项目一项(815071233)、参与广东省自然科学基金项目一项(2016A03031370)。参与编译论著两本。
手术指导:
程光森
珠海市人民医院
暨南大学附属珠海医院
脑血管病科主任,脑血管病诊疗中心副主任。
主任医师,医学博士,岭南名医。
国家脑防委缺血性卒中专家委员会委员,中华放射学分会介入专委会神经介入组委员,广东省医师协会神经介入分会常务委员,珠海市医师协会脑血管分会主任委员,脑医汇-神介资讯编委。
从事神经介入20余年,擅长各类急慢性脑梗塞的微创介入治疗,脑动脉瘤、血管畸形等各种脑出血的介入治疗,血流导向装置全球导师,共进行各类神经介入诊疗5000余例,先后于德国基尔大学附属医院、美国纽约康奈尔大学神经介入中心学习交流,主持多项省市级课题,参与多项国际国内多中心临床研究,发表论文20余篇。