今天为大家分享的是,由浙江大学医学院附属杭州市西溪医院神经外科崔亚辉副主任医师带来的:前交通动脉瘤夹闭术,欢迎阅读、分享!
病例资料
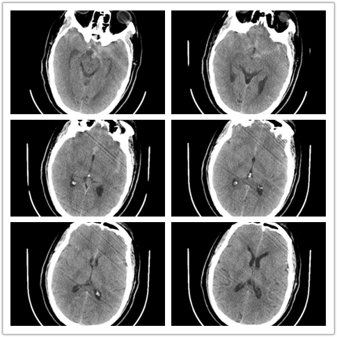
辅助检查



初步诊断:前交通动脉瘤破裂伴蛛网膜下腔出血,低血钾症。
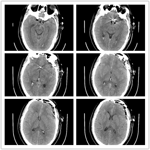
术后复查


术后视频:术后2周余出院,详见下方术后康复视频。
总结
该例患者术中因考虑动脉瘤体大,周围粘连明显,分离较困难,故术中采取低电凝收缩动脉瘤壁后,充分暴露双侧A2,分离动脉瘤与A2之间间隙后再进行夹闭。若术中再多切除部分直回,直接充分暴露双侧A2,再进行瘤壁重塑并夹闭可能更加安全更从容。
崔亚辉 副主任医师
浙江大学医学院附属杭州市西溪医院神经外科
神经外科副主任医师,师从我国著名神经外科专家张建民教授。
浙江大学神经外科学硕士,浙江省医师协会神经外科分会青年委员,杭州市医学会神经外科分会青年委员,杭州市中西医结合学会神经外科分会常务委员。擅长脑血管病显微外科手术及介入治疗,如颅内动脉瘤夹闭术、颅内肿瘤切除术、脑出血开颅及微创手术、脑积水V-P分流、颅内动脉瘤、动静脉畸形介入栓塞术、颈动脉狭窄内膜剥脱或支架植入术、椎管内病变切除术等。





