


病情简介


头部MRI
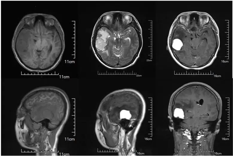
右中颅窝底见T2高信号、T1等信号,FLAIR高信号。病灶大小约33*30*30mm,增强扫描明显强化并可见脑膜强化
报告诊断:右中颅窝底占位:脑膜瘤?孤立性纤维瘤?大脑镰下疝;右侧小脑幕切迹疝

病例分析


手术过程



右颈内动脉造影示右大脑中动脉颞叶后动脉参与肿瘤供血






临床预后


专家介绍

手术医师

中国卒中学会复合介入神经外科分会常务副主委
北京天坛医院神经外科脑血管病一病区副主任
北京脑重大疾病研究院副院长
介入医师

医学博士,博士后,副主任医师,首都医科大学附属北京天坛医院神经外科脑血管病一病区。北京市丰台区青联副主席。先后师从于刘荣耀教授、姜卫剑教授、赵继宗院士,从事脑血管病基础及临床研究十余年,主要擅长颅内动脉狭窄、颅内动脉瘤、血管畸形等脑血管病的介入及外科手术治疗,并在赵继宗院士、姜卫剑教授的指导下,于国内率先开展脑血管病复合手术的研究及临床工作。目前主要从事脑血管病(颅内动脉狭窄,颅内动脉瘤,脑血管畸形等)的介入及手术治疗方面研究,特别是脑动脉瘤、脑动静脉畸形复合手术治疗。在SCI 期刊、《中华医学杂志》上发表多篇学术论著,执笔《神经血管疾病复合手术专家共识》,拥有发明、实用新型等十余项专利。

博士研究生,首都医科大学附属北京天坛医院神经外科住院医师。
主要工作:参与北京市科技计划重大项目《复合手术治疗多种危险因素并存的复杂性脑血管病》(D161100003816005)和十三五重大慢病专项《复杂性脑血管疾病复合手术新模式治疗技术研究》(2016YFC1301800)等复合手术临床课题的研究设计和运行管理;从事脑血管病、肿瘤等方面神经外科复合手术模式探索和技术创新,开展新技术的医疗质量持续改进;通过复合手术模式搭建脑血管病急诊危重症绿色通道救治体系和技术探索。
在SCI 期刊上发表多篇学术论著,参与多部教材编写。






