男,79岁。
发病时间:2020-12-13 20:10。
症状:右侧肢体无力和言语含糊。
到院时间:2020-12-14 01:10。
NIHSS:9。
既往高血压和房颤,未服用抗凝药物;3天前因下肢静脉曲张在我院行手术治疗,住院期间发现右侧周围性肺癌。
个人史和家族史无特殊。
2020-12-14 01:40 急诊多模式CT

△颅脑CT平扫:左侧ASPECT-8。

△颅脑CT平扫(薄层图像):左侧大脑中动脉下干位置血栓高密度征。

△颅脑CTA:重建图像质量差,左侧颈内动脉和大脑中动脉未见显影。

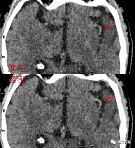
△基于CTP静脉早期源图像厚层重建(最大密度投射法,MIP):左侧大脑中动脉分支显影较右侧浅淡,下干局部显影中断(红箭),提示闭塞或极重度狭窄。




△脑CTP:左侧大脑中动脉区TTP显著延迟,左侧颞叶前部CBV和CBF明显降低,提示已经梗死。

△基于颈部CTA静脉期源图像重建(MIP):左侧颈总动脉分叉部高密度钙化斑块,左侧颈内动脉可见显影(橙箭)。


△颈部CTA源图像多平面重建:左侧颈总动脉远端管腔内可见等信号血栓充盈缺损(红箭),并延伸到颈外动脉和颈内动脉近端管腔;左侧颈内动脉近端可见钙化斑块狭窄(黄箭),并见临近钙化的低信号斑块组织(橙箭)。
此患者到达医院时已经发病5小时,超出4.5小时的静脉溶栓时间窗。然而,CTA显示左侧颈总动脉分叉部重度狭窄(斑块狭窄合并大血栓栓塞卡顿),以及CT平扫显示同侧大脑中动脉下干高密度征,属大血管闭塞脑卒中;结合NIHSS-9,CT平扫左侧ASPECT_8,符合急诊血管内介入治疗指证。
患者有房颤,脑卒中机制考虑心源性栓塞;因左侧颈内动脉起始部合并粥样硬化狭窄,导致一较大的心源性血栓卡顿于左侧颈总动脉分叉部,同时合并一血栓栓塞左侧大脑中动脉。
局麻,04:20穿刺成功
普通肝素3000单位

△采用同轴技术将6F长鞘(Cook,90cm)送至左侧颈总动脉远段,造影:左侧颈内动脉海绵窦段严重狭窄(橙箭);左侧颈总动脉远端、颈内和颈外动脉近端管腔内血栓充盈缺损;长鞘头端接触血栓,并负压抽吸,但未能抽吸出任何血栓组织。

△尝试微导丝(.014”,300cm,Command 雅培)通过血栓进入左侧颈内动脉,但未成功;隧以.035”泥鳅导丝顺利通过血栓进入左侧颈内动脉,并4F多用途导管(125cm,Cordis)跟进到颈内动脉。

△撤出泥鳅导丝,经4F多用途管送入.014”微导丝(300cm,Command,雅培)到左侧颈内动脉,并交换出4F多用途管。

△经微导丝于左侧颈内动脉颅外段远侧释放Spider保护伞(5mm)。

△保护伞保护下,再次尝试用长鞘抽吸血栓,但还是未能吸出任何物质;而后以4.0*30mm球囊扩张左侧颈内动脉近端,造影:左侧颈总动脉分叉部血栓和狭窄无变化;综合以上,表明此血栓质地坚韧。

△于左侧颈总动脉远端和颈内动脉近端植入一枚自膨式颈动脉支架(Protege 6-8~40mm,EV3),造影:左侧颈总动脉远端和颈内动脉近端管腔通畅,无血栓充盈缺损;左侧颈外动脉近端闭塞;支架远侧管腔内可见一小结节样血栓充盈缺损影(红箭)。

△经保护伞微导丝将中间导管(Navien 058,115cm)越过支架,头端接触上述结节样血栓(红箭),并反复负压抽吸中间导管,但抽吸此血栓的尝试失败。

△固定保护伞微导丝,推送中间导管,间断经长鞘造影显示此血栓(红箭)跟随中间导管头端向前移动。

△继续用中间导管头端将血栓前推到接近保护伞装置的近端位置(红箭)。

△中间导管负压状态下回收保护伞,保护伞撤出体外,俘获一小块状红色血栓;并再次负压抽吸中间导管,但未抽吸到任何血栓物质,造影:左侧颈内动脉海绵窦段重度狭窄(橙箭),并见狭窄后扩张。

△颅内造影:左侧大脑中动脉主干远端血栓充盈缺损,但管腔未完全闭塞,可见前向血流。

△微导丝(.014”,205cm,Transend)越过海绵窦段狭窄部位,以2.5*12mm球囊扩张此处狭窄病变(压力12atm),但狭窄未见明显缓解,卸除球囊压力,中间导管试图通过球囊导管越过狭窄病变,但失败。


△将中间导管置于海绵窦段近端,微导丝导引下将微导管(Rebar 17)送至左侧大脑中动脉下干,造影证实位于真腔后,通过微导管释放取栓支架S AB 4.0*20mm。



△等待约5分钟后,回收取栓支架,取出一不规则的淡红色血栓,质地坚韧;造影:左侧大脑中动脉主干及其分支显影良好;左侧颈内动脉颅内段弥漫粥样硬化病变,伴多发狭窄,其中以海绵窦段狭窄最为严重;颈内动脉起始部支架展开良好,贴壁佳,管腔通畅。

△支架取出的血栓

△DSA平板CT:左侧侧裂池和颞部蛛网膜下腔明显高密度影,提示蛛网膜下腔出血。
2020-12-14 18:35 复查CT

△颅脑CT平扫:左侧侧裂池和颞部蛛网膜下腔高密度范围缩小,CT密度值较前显著降低,提示之前高密度中混有碘造影剂。

△颅脑CTA:左侧颈内动脉和大脑中动脉通畅,但显影较右侧明显浅淡,提示血流慢(与左侧颈内动脉颅内段严重狭窄有关)。


△颅脑CTA:右侧颈内动脉颅内段多发狭窄病变(白箭)。

△颈部CTA:左侧颈内动脉支架展开良好,支架处管腔通畅。

△颈部CTA之右侧颈动脉曲面重建:右侧颈内动脉起始部钙化斑块,伴管腔中-重度狭窄(白箭)。
2020-12-16 CT

△颅脑CT平扫:左侧颞叶前部低密度梗死,蛛网膜下腔高密度已经消失。
2020-12-21 CT

△颅脑CT平扫:所见同2020-12-16 CT。
2020-12-22 MRI

△DWI:左侧颞叶前部片状急性梗死灶,左侧基底节、额颞顶叶皮层下多发急性小梗死灶。
1、之前公众号文章已讨论过,高龄大血管闭塞脑卒中急诊血管内治疗是一巨大挑战,本案例即是一典型高难度的高龄复杂大血管闭塞脑梗死急诊血管内治疗。
2、不同于单纯心源性栓塞闭塞,或动脉粥样硬化狭窄-闭塞病变,此高龄患者脑卒中病理机制极为特殊。发病前该患者即已存在严重的左侧颈动脉串联狭窄病变,而此次发病是大块的心源性血栓脱落栓塞左侧颈动脉系统;然而,由于心源性血栓体积巨大,主体卡顿于左侧颈总动脉分叉狭窄处,并小块血栓碎裂脱落栓塞同侧大脑中动脉。同时,不多见的是,可能是因为血栓形态不规则,且质地坚韧,即使在血流持续冲击下,也未能按照卡顿处管腔形态二次塑形,血栓和管壁间始终保持一定腔道空隙,从而保证了部分前向血流通过,这也给治疗争取了时间,是患者预后良好的重要原因之一。
3、此患者虽然是左侧颅外颈动脉合并同侧大脑中脉狭窄-闭塞的串联病变,但不同于常见的颈内动脉颅外段闭塞病变合并颅内血栓栓塞的串联病变,急诊介入治疗时不存在优先处理颅外还是颅内病变的争论,这是因为:卡顿在左侧颈总动脉分叉部的血栓负荷巨大,随时有脱落栓塞远侧血管的可能,给后续治疗增添难度,因此尽快处理此处血栓是当务之急。
4、左侧颈总动脉分叉部血栓负荷巨大,质地坚韧,此处病变处理过程比较曲折复杂。笔者术中两次尝试用长鞘抽吸血栓均失败(植入保护伞前后);无奈之下,于保护伞保护下,对左侧颈内动脉行血管成形和支架植入术,成功重建局部管腔。在植入颈动脉支架后发现有一碎裂小血栓迁移到支架远侧,此时沿保护伞导丝送入中间导管到达上述小血栓处,尝试抽吸,但失败;而后,不得不用中间导管头端把这个小血栓前推,接近保护伞装置后,将保护伞撤回中间导管并回收到体外,幸运的是保护伞装置成功捕获此小血栓。还需要指出的是,由于血栓质地坚韧,且合并左侧颈内动脉起始部狭窄,微导丝通过血栓困难,未能超选进入颈内动脉;此时,用.035”泥鳅导丝通过血栓和左侧颈内动脉起始部狭窄,而后推送4F多用途管(125cm)进入颈内动脉,撤出泥鳅导丝,经4F多用途管送入300cm微导丝,并交换出4F多用途管,最终经微导丝于左侧颈内动脉释放Spider保护伞。
5、在处理完左侧颈总动脉分叉部复杂病变后,下一步面临的挑战是左侧颈内动脉颅内段迂曲并弥漫粥样硬化病变,局部管腔严重狭窄。笔者首先经中间导管将微导丝通过海绵窦段狭窄,沿微导丝将冠脉球囊送至狭窄处进行血管成形术,并试图经球囊导管将中间导管越过狭窄病变,但失败,而且球囊扩张效果不佳。此后,只能将中间导管置于海绵窦段狭窄近侧,进行后续的颅内取栓操作,幸运的是海绵窦段狭窄并未影响支架取栓效果,一次取栓成功,最终实现血管再通。
6、在此患者,多模式CT为介入治疗提供了不少重要信息,主要是大血管病变的部位和性质。CTA于左侧颈总动脉分叉部检测到典型的血栓充盈缺损,以及左侧颈内动脉起始部显著钙化斑块狭窄,结合房颤病史,提示心源性大血栓栓塞因颈总动脉分叉部粥样硬化狭窄病变,而卡顿于此处;因此,在导管抽吸血栓失败后,果断在此处快速行血管成形和支架植入术,压迫血栓,重建管腔,以便对颅内血管病变进行再通治疗。同时,CT平扫检测到左侧大脑中动脉下干高密度血栓征象,CTP源图像提示局部造影剂充盈缺损,考虑是血栓栓塞,虽然术中DSA显示局部未完全闭塞,仍有一定的前向血流,但基于术前多模式CT判断,还是进行支架取栓治疗,并一次成功取出血栓。
7、据笔者有限经验,高龄房颤心源性卒中患者,常合并严重的脑动脉粥样硬化病变,而心源性栓子则有可能卡顿于这些粥样硬化病变部位(大多是颅内动脉狭窄病变),从而给急诊血管内治疗带来困惑和挑战。但如本例患者巨大心源性血栓卡顿于颈总动脉分叉部粥样硬化狭窄部位,实属罕见,笔者虽然对该患者进行了成功的介入治疗,但具体手术策略和操作技巧可能还有很多值得商榷改进的地方。





