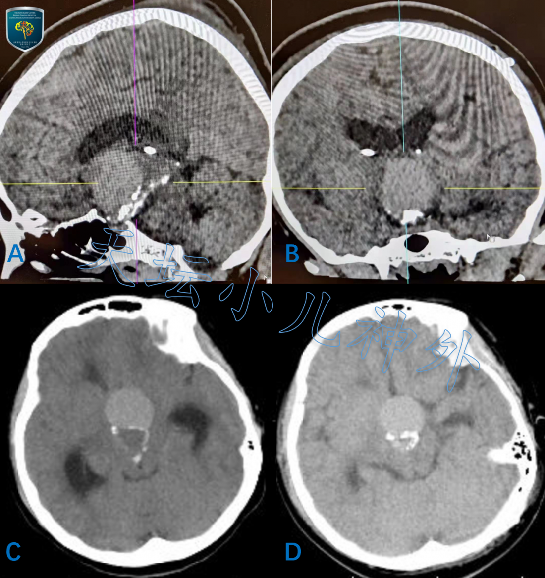
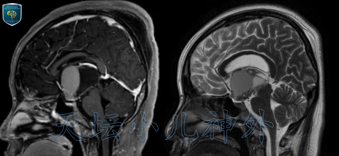
2020年11月接诊一例来自山东莒县12岁女性患儿(158cm,52.0kg),主诉:间断头痛1月,双眼视力下降5天。当地医院检查示巨大鞍区占位,遂来我院就诊。门诊查体示:神清语利,自主体位,双眼视力下降,眼前20cm数指,双瞳等大、光反应灵敏,余神经系统查体阴性。术前激素水平正常;头颅CT平扫显示:鞍区囊实性占位伴钙化,梗阻性脑积水伴室旁水肿,颅咽管瘤?(图1)。MRI显示:蝶鞍扩大,鞍上囊实性占位突入第三脑室,视交叉受压,长圆形混杂信号影,边界清晰,大小约40*25*25mm,囊壁不均匀强化,颅咽管瘤可能性大(图2)。
治疗体会
本例颅咽管瘤体积巨大,囊性主体突入第三脑室,第一间隙狭小,手术只能通过终板间隙(第四间隙)施行肿瘤切除。依据天坛小儿神外诊疗规范(附链接),先行Ommaya囊腔穿刺,囊液抽吸缓解梗阻性脑积水,待两周后瘤体缩小,瘤壁与下丘脑松解后再行手术,大大提高了手术安全性。
由于颅咽管瘤位于中线,我们的原则是:“中线肿瘤中线入路”,经前纵裂可视为天坛小儿神外切除颅咽管瘤的“黄金”入路。该入路沿脑组织自然间隙接近肿瘤,暴露广阔、无死角,重要结构均在肿瘤边缘,可在直视下妥善保护。
前纵裂入路需要特别关注的解剖结构是前交通动脉,磁共振T2矢状位可以清晰显示肿瘤与前交通动脉的位置关系,为通过哪一解剖间隙切除肿瘤提供依据。若手术涉及第四间隙,由于切除肿瘤需要在第三脑室操作,术后下丘脑反应明显重于单纯第一间隙操作。尽管理论上,前交通动脉平均长度可达12.7mm,有足够的活动度与延展性1,但本例宽度小于1.0cm,为向两侧牵拉额叶从而充分暴露终板间隙增加了难度。有日本学者认为可以主动牺牲前交通动脉换取足够的手术视野2,但前交通动脉发出多簇穿支动脉(下丘脑支、视交叉支、胼胝体下动脉),特别是胼胝体下动脉常为单干,损伤后可能导致穹隆、胼胝体膝部梗塞3。因此,不宜主动切断前交通动脉,我们主张在保护好前交通动脉的基础上,通过锐性松解蛛网膜,达到最佳暴露效果。
当然,任何经前纵裂手术都要做好前交通动脉破裂出血的预案。北京天坛医院小儿神经外科每年完成经前纵裂入路鞍区肿瘤切除术近200例,术中出现前交通动脉破裂出血的情况3-5例(约1-2%)。一旦术中破裂出血,术者要沉着冷静,吸引器准确指向破裂口,防止血液倒灌至深方造成急性脑膨出。无论电凝烧灼或动脉瘤夹夹闭,一定要确切止血,切记不要海绵压迫5,或采取肌肉粘附破裂口;一旦迟发出血,患儿剧烈头痛后瞬间昏迷,严重者危及生命,我们曾有类似教训,在此提醒同行切记!
参考文献:
1. Mortini P, Gagliardi F, Boari N, Roberti F, Caputy AJ. The combined interhemispheric subcommissural translaminaterminalis approach for large craniopharyngiomas. World neurosurgery. 2013;80(1-2):160-166.
2. Shibuya M, Takayasu M, Suzuki Y, Saito K, Sugita K. Bifrontal basal interhemispheric approach to craniopharyngioma resection with or without division of the anterior communicating artery. Journal of neurosurgery. 1996;84(6):951-956.
3. Meila D, Saliou G, Krings T. Subcallosal artery stroke: infarction of the fornix and the genu of the corpus callosum. The importance of the anterior communicating artery complex. Case series and review of the literature. Neuroradiology. 2015;57(1):41-47.
4. Gupta A, Tripathi M, Umredkar AA, Chauhan RB, Gupta V, Gupta SK. Impact of Postoperative Infarcts in Determining Outcome after Clipping of Anterior Communicating Artery Aneurysms. Neurology India. 2020;68(1):132-140.
5. Foundation A. Management of Surgical Hemostasis-Independent Study Guide. 2013.












