01
患儿:小杉(化名)
年龄:1月16天的小婴儿
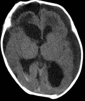
病史:于当地医院检查发现患有脑部疾病,头颅MRI影像检查提示颅内肿瘤合并脑积水。虽经积极的治疗以及护理,病情未见明显好转,孩子头围一天天增大,脑积水症状加重,由当地医院转西安市儿童医院治疗。
02
入院后,神经外科团队对孩子病情进行了详细的评估并制定了后续治疗计划。首先针对脑积水进行了积极降颅压治疗,营养支持改善患儿一般情况,积极为手术治疗做准备。
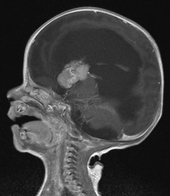
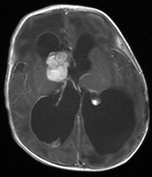
复查的头颅MRI检查提示孩子右侧脑室内占位性病变并交通性脑积水、间质性脑水肿,颅内硬膜下出血,增强扫描检查提示肿瘤病变均匀强化,肿瘤血供丰富(如下图)。



术前神经外科史航宇主任指出患儿低龄,体重仅4kg,全身血容量不足500ml,肿瘤术中出血多,头皮以及颅骨菲薄,麻醉风险以及手术风险较大,术后面临带气管插管不能撤离呼吸机,肺部感染,伤口愈合不良,颅内感染、硬膜下积液等多种并发症可能。
仁心仁术,精业进取,我院神经外科一直以祛除患儿病痛以换来健康为初衷,在不断克服困难,创造了全市、全省医疗行业多项“第一”。该患儿是我科目前接受手术治疗的颅内肿瘤患者中年龄最小、体重最低的病人,病情引起了神经外科团队的重视。
术前准备完善后于10日中午12:00如期开台,从切头皮开始,大家的注意力高度集中,患儿前囟门约3×3cm,头皮和颅骨菲薄,颅骨矢状缝下走行的上矢状窦,如有损伤可能导致患儿的术中大出血、甚至死亡。
随后手术有条不紊的进行着,顺利铣除骨瓣、敞开硬脑膜直至暴露大脑额叶皮层,肿瘤位于右侧侧脑室额角。
在显微镜下,双极电凝仔细电凝并分离蛛网膜、额上沟造瘘,逐步向下分离脑组织进入脑室额角,见肿瘤表面呈黄红色,脑室内壁出血导致的含铁血黄素沉积,肿瘤体积大小约3×3×2cm,明确引流静脉以及供瘤动脉,保护临近丘脑等重要神经结构,最终完整切除肿瘤,手术顺利完成。
术后
术后患儿意识清楚,但呼吸比较微弱,故转至我院儿童重症监护室(PICU)接受治疗,在监护室内医护人员精细治疗以及护理下患儿病情逐渐好转,顺利脱离呼吸机。术后患儿病理结果回报为间变型脑膜瘤(WHO Ⅲ级)。目前患儿生命体征平稳,精神反应逐渐好转,继续康复中。
附:儿童颅内肿瘤疾病科普
儿童中枢神经系统肿瘤较为常见,发病率仅次于白血病,而儿童颅内肿瘤约占全部人群颅内肿瘤的15-20%,发病部位45-70%位于幕下,肿瘤多以脑中线部位生长,幕上以颅咽管瘤多见,其次侧脑室脉络丛乳头状瘤/癌,生殖细胞瘤等;幕下以起源于小脑蚓部髓母细胞瘤多见,其次室管膜瘤以及毛细胞星形以及少突胶质细胞瘤等多见 。
患儿通常临床表现以头围增大,头痛、呕吐等颅内压升高,行走不稳等症状多见,头颅CT、MRI检查可明确诊断。目前由于母孕期产检的规范以及技术提高,部分儿童颅内肿瘤患儿可以在产前明确诊断,产后应制定规范的诊疗计划。随着医疗技术的提高以及诊疗理念的转变,儿童脑肿瘤患儿预后逐渐改善。治疗上,手术切除肿瘤仍是重要的治疗方案,后期结合分子免疫标记指导后期放化疗以改善患儿预后。
