2021年1月接诊一例来自云南省昭通的11岁女性患儿(身高:154cm,体重:42kg),主诉:间断头痛伴恶心呕吐1年余,走路不稳1月。患儿1年前无明显诱因出现头痛,伴恶心及呕吐,间断发作、可自行缓解,未予重视;近1月来出现走路不稳、言语不利,进行性加重,于当地医院检查发现颅内病变,遂来我院就诊。门诊查体示:神清语利,自主体位,生长发育正常,右下肢肌力IV级,余神经系统查体阴性。头颅CT显示:第四脑室、右侧桥臂占位,稍低密度,室管膜瘤?星形细胞瘤?头颅MRI显示:右侧后颅窝至上段颈椎管内占位,室管膜瘤可能性大;胶质瘤待除外。为行手术治疗,门诊以“延颈髓交界区病变”收入院。

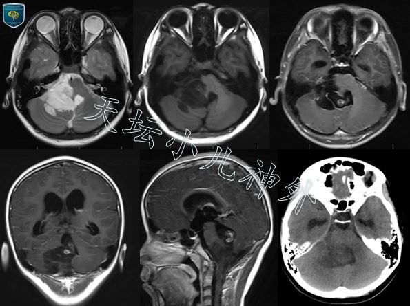
图1:头颅CT显示:第四脑室、右侧桥臂占位,稍低密度,室管膜瘤?星形细胞瘤?头颅MRI显示:C2水平椎管内,枕骨大孔,右侧小脑半球,脑干及四室内团块状影,边界清晰,增强扫描可见不规则强化,大小约46x40x70mm,室管膜瘤?胶质瘤?
鉴于肿瘤主体位于第四脑室,沿侧孔突入右侧隐窝、沿枕大孔突入椎管颈二水平,室管膜瘤可能性大,完善术前检查,于2021年1月15日在全麻下行后正中右拐入路肿瘤切除术。术中牵开右侧小脑半球,见肿瘤沿第四脑室中孔突入延、颈髓背侧,沿第四脑室侧孔突入右侧隐窝,肿瘤色灰红、质地软韧不均、部分呈烂鱼肉样,血供丰富,起源于右侧桥臂,与四脑室底、延颈髓背侧无粘连,易游离;突入右侧隐窝部分,质地硬韧,包绕后组颅神经、PICA分支、边界不清,肿瘤镜下近全切除。四脑室底、延颈髓、右侧椎动脉、后组颅神经保护完好,手术顺利,术中出血约500ml,输异体红细胞260ml,血浆400 ml,术后安返ICU监护。
![]()

图2.术中见肿瘤色灰红、质地软韧不均、部分呈烂鱼肉样,血供丰富,起源于右侧桥臂,与四脑室底、延颈髓背侧无粘连,易游离;突入右侧隐窝部分,质地硬韧,包绕后组颅神经、PICA分支、边界不清,肿瘤镜下近全切除。

图3:术后当晚(图左)及术后一周(图右)复查头颅CT显示肿瘤切除满意。
术后当晚患儿神志清、精神弱、呼吸弱,呼吸机辅助通气,术后第三天气管切开后呼吸平稳、逐渐脱机,复查头部CT示肿瘤切除满意。术后病理回报示:毛细胞型星形细胞瘤伴粘液样变性,局灶血管内皮细胞增生,肿瘤浸润蛛网膜下腔(WHOⅠ级);免疫组化:GFAP(+),Olig-2(+),Syn(+),IDH1(-),ATRX(+),P53(偶见+),Ki-67(约5-7%),BRAFV600E(-),CD34(灶状+)。术后第三周,患儿恢复好,神志清,遵嘱活动,顺利出院并进一步康复及化疗。
治疗体会
低级别胶质瘤是儿童最常见的中枢神经系统(CNS)肿瘤,约占儿童颅内肿瘤的三分之一1,儿童后颅窝肿瘤的25–35%2,3,预后好,10年总生存率高达85-96%4。影像学检查中,需要与室管膜瘤加以鉴别。胶质瘤CT通常为低密度、可伴有钙化及囊变,磁共振成像通常呈长T1长T2,不均匀强化5;室管膜瘤CT通常或等密度或低密度,位于幕下者可囊变但少有钙化,磁共振成像呈等或长T1、等或长T26,7。二者影像鉴别存在一定难度。
本例由于肿瘤沿中孔突入椎管颈2水平、沿侧孔突入右侧隐窝,此种侵袭性生长更符合室管膜瘤的特性,针对室管膜瘤质地软、与后组颅神经、PICA之间多有蛛网膜分隔,易游离后加以切除,术前制定的手术策略是尽量全切。然而术中却发现肿瘤起源于右侧桥臂,与四脑室底、延髓背侧仅仅是压迫而无侵袭,易分离;而突入右侧隐窝部分,质地硬韧、血供丰富、包绕后组颅神经、PICA,需要仔细辨别妥善保护,肿瘤基底与颅神经脑干端几乎融合,难以分辨,遂改变手术策略,采取肿瘤近全切除,瘤体减压充分,电生理监测下,脑干功能保护完好。
对于有残留的低级别胶质瘤,后续治疗仍存在争议。术后化疗是最常见的辅助疗法,卡铂和长春新碱的治疗方案证明有效8,9;与6-硫鸟嘌呤、丙卡巴肼、CCNU等联合使用,也广泛应用于临床10;对于肿瘤残留与复发,有报道显示质子治疗安全有效,值得进一步探讨11,12。
参考文献
1. A study of childhood brain tumors based on surgical biopsies from ten North American institutions: sample description. Childhood Brain Tumor Consortium. J Neurooncol. 1988; 6(1):9-23.
2. Cochrane DD, Gustavsson B, Poskitt KP, Steinbok P, Kestle JR (1994) The surgical and natural morbidity of aggressive resection for posterior fossa tumors in childhood. Pediatr Neurosurg 20:19–29.
3. Freeman CR, Farmer JP, Montes J (1998) Low-grade astrocytomas in children: evolving management strategies. Int J Radiat Oncol Biol Phys 41:979–987.
4. Ostrom QT, de Blank PM, Kruchko C, Petersen CM, Liao P, Finlay JL, et al. Alex’s Lemonade Stand Foundation Infant and Childhood Primary Brain and Central Nervous System Tumors Diagnosed in the United States in 2007–2011. Neuro-oncology. 2015;16 Suppl 10:x1–x36.
5. Bonfield CM, Steinbok P. Pediatric cerebellar astrocytoma: a review. Childs Nerv Syst. 2015 Oct;31(10):1677-85. doi: 10.1007/s00381-015-2719-1. Epub 2015 Sep 9.
6. Smith AB, Smirniotopoulos JG, et al. From the radiologic pathology archives: intraventricular neoplasms: radiologicpathologic correlation. Radiographics. 2013;33(1):21-43.
7. Furie DM, Provenzale JM. Supratentorial ependymomas and subependymomas: CT and MR appearance. J Comput Assist Tomogr. 1995;19(4):518-526.
8. Lafay-Cousin L, Sung L, Carrett AS, Hukin K, Wilson B, Johnston DL, Zelcer S, Silva M, Odame I, Mpofu C, Strother D, Bouffett E (2008) Carboplatin hypersensitivity reaction in pediatric patients with low-grade glioma: a Canadian Pediatric Brain Tumor Consortium. Cancer 112:892–899.
9. Yu DY, Dahl GV, Shames RS, Fisher PG (2001) Weekly dosing of carboplatin increases risk of allergy in children. J Pediatr Hematol Oncol 23:349–352.
10. Ater J, Holmes E, Zhou T,(2008) Abstracts from the thirteenth international symposium on pediatric neuro-oncology: results of COG protocol A9952—a randomized phase 3 study of two chemotherapy regimens for incompletely resected low-grade glioma in young children. Neuro Oncol 10:451.
11. Hug EB, Muenter MW, Archambeau JO, DeVries A, Liwnicz B, Loredo LN, Grove RI, Slater JD (2002) Conformal proton radiation therapy for pediatric low-grade astrocytomas. Strahlenther Onkol 178:10–17.
12. Hadjipanayis CG, Kondziolka D, Gardner P, Niranjan A, Dagam S, Flickinger JC, Lunsford LD (2002) Stereotactic radiosurgery for pilocytic astrocytomas when multimodal therapy is necessary. J Neurosurg 97:56–64.





