神外资讯《新医神外双周刊》第十九期为大家分享的是由新疆医科大学第一附属医院汪永新教授、吉文玉副主任医师团队带来的:基底节区生殖细胞瘤手术及术后处理一例,感谢刘冬医生的资料编辑,欢迎广大神外同道阅读并提出宝贵意见和建议。
一般情况
主诉
简要病史经过
专科查体
辅助检查
术前增强MRI


诊疗思路及方案
01
初步诊断:右侧岛叶占位性病变;胶质瘤?生殖细胞肿瘤?
02
进一步治疗:手术?新辅助放化疗?
03
手术入路
04
术中注意事项
05
术后
术中情况
术后情况
术后查体
术后增强MRI

术后病理:卵黄囊瘤

术后后续治疗
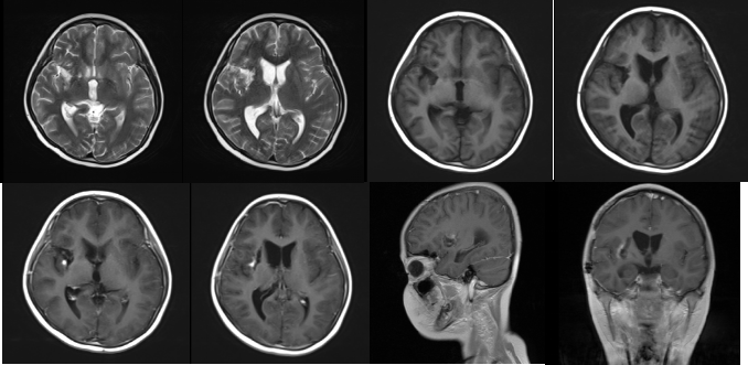
化疗前复查头颅增强MRI(术后2周)

2周期化疗后复查头颅增强MRI

表1. 不同时期患者肿瘤标志物一览表

讨论
参考文献
术者简介

汪永新

吉文玉
医学博士,副主任医师,讲师,硕士研究生导师
中国女神经外科医师同盟常务理事
中国医药教育协会小儿神经外科(互联网)分会委员
世界华人医师协会、世界华人神经外科协会功能神经外科专业委员会委员
新疆抗癌协会神经肿瘤专委会委员
中国妇幼保健协会妇幼微创专业委员会小儿神经微创学组青年委员
目前主要从事小儿神经外科相关疾病的诊治工作,擅长小儿神经系统的先天畸形、外伤、肿瘤、脑瘫的手术治疗以及儿童中枢神经系统肿瘤的化疗
团队成员

图柯拜·吐尔托合提
在读博士,主治医师
2014年6月 新疆医科大学 外科学硕士
2014年9月 新疆医科大学第一附属医院住院医师规范化培训医师
2017年8月 新疆医科大学第一附属医院小儿神经外科主治医师

刘冬
硕士研究生,住院医师
2015年9月-2018年6月 新疆医科大学第一附属医院外科学硕士
2015年9月-2018年6月 新疆医科大学第一附属医院神经外科专业规范化培训
2018年9月至今 新疆医科大学第一附属医院小儿神经外科住院医师

赵俊红
研究生,住院医师
2020年6月 新疆医科大学硕士研究生
2020年10月 新疆医科大学第一附属医院住院医师规范化培训
2020年10月 新疆医科大学第一附属医院小儿神经外科住院医师






