2021年06月15日发布 | 2726阅读
神经介入-狭窄

药物洗脱球囊治疗大脑中动脉支架术后再狭窄

孙锐

内蒙古鄂尔多斯中心医院

刘建

北京天坛医院

孙瑄

北京天坛医院神经病学中心

刘爱华

首都医科大学附属北京天坛医院

达人收藏
To Improve Sometimes,
To Communicate Often,

To Summarize Always...

导读:随着脑动脉狭窄支架成形术患者数量的不断增加,术后并发症也越来越受到关注,尤其在远期疗效观察中,支架内再狭窄仍然是影响手术疗效的一个主要因素。药物洗脱球囊是结合普通球囊扩张与靶向药物输送的新技术。作为一种既不依赖支架又能实现局部动脉获得有效药物浓度的血管内治疗装置,药物洗脱球囊从多角度降低了再狭窄的发生风险。并且药物洗脱球囊术后所需双抗服用时间更短,患者更易接受,对于高出血风险患者也更为适用。药物洗脱球囊在未来脑动脉疾病的介入治疗中具有广阔的应用前景。



病情简介


患者,女,50岁

主诉:
反复右侧肢体无力麻木
,言语不利,口角歪斜2年余。


现病史:

患者于2年前无明显原因出现右侧肢体无力,言语不利,口角歪斜,在附近医院诊断脑梗死,药物治疗好转出院,院外生活自理。10月前因症状复发,在我院诊断为脑梗死,左侧大脑中动脉狭窄,行大脑中动脉支架置入术,术后恢复可。3月前再次出现上述症状,每天发作多次,约4分钟恢复正常,经药物治疗症状消失。为明确诊治,今来我院。


既往史:

高血压病史32年余,最高血压160/110 mg,不规律口服降压药物,血压控制不满意,否认冠心病史,否认糖尿病史有妊高症子宫腺肌症。因“颅骨软骨瘤”行手术2次,恢复可。


体格检查:

无特殊异常。 


个人史及家族史:

父母亲皆有高血压病脑血管病。


辅助检查:

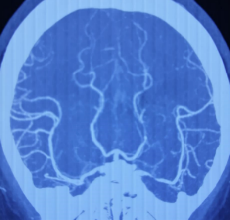
脑血管检查2021.02.20天坛医院:左侧大脑中动脉支架置入术后,局部管腔纤细,远端分支减少,左侧大脑后动脉P2局限性狭窄,左侧颞顶叶可见斑片状TTP,MTT延长,CBF略低。


CTA示左侧大脑中动脉主干重度狭窄 2019.6天坛医院


CTP:MTT,TTP延长



2020.5 DSA左侧大脑中动脉重度狭窄



介入治疗后明显改善



术后4个月复查,CTA示支架近端可疑再狭窄 (2020.09,天坛医院)



术后9个月再次复查CTA示左侧大脑中动脉支架内重度狭窄 (2021.02.18天坛医院)



口服双抗查血小板聚集试验三项达标CYP2C19为中等代谢型。


术前诊断

左侧大脑中动脉水平段支架置入后再狭窄

高血压病


术前用药:

阿司匹林肠溶片   100 mg qd(2年)

氯吡咯雷片       75 mg  qd(1月)

阿托伐他汀钙片   20 mg  qd (2年)


手术方案:
造影明确诊断血管成形+药物球囊扩张


手术指征:

左侧大脑中动脉为责任血管脑梗死短暂性脑缺血发作


手术风险:

动脉夹层、血管闭塞穿支闭塞

斑块脱落导致栓塞事件

急性、亚急性支架内血栓形成

术后残留狭窄

高灌注脑出血等


手术过程:

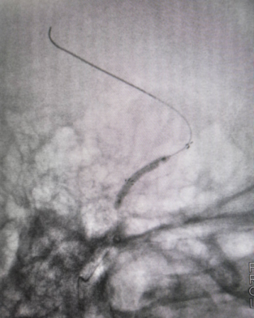
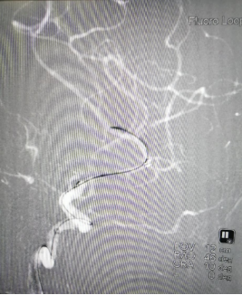
术中造影


DSA(天坛医院-2021.03.17 MCA支架内重度狭窄




微导丝较顺利通过支架



微导管到位撤出微导丝



Transand微导丝到位撤出微导管



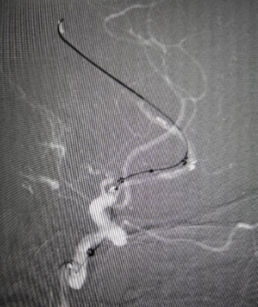
赛诺球囊扩张(1.5 mm×15 mm)



赛诺球囊扩张后狭窄有所改善但管壁不光滑



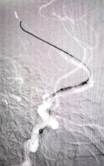
药物球囊扩张(2.0 mm×20 mm)



药物球囊扩张后



药物球囊扩张后10分钟狭窄明显改善且血管壁较光滑



扩张前带涂层的球囊(左图)与扩张后释放完涂层的球囊(右图)



治疗前TCD



治疗后TCD狭窄频谱明显改善



主要材料

8F导引导管

Catalyst-5 115 cm

Synchro14微导丝(0.014 in×200 cm)

Echelon-10

Transand微导丝(0.014 in×300 cm)

赛诺颅内球囊1.5 mm×15 mm

轻舟药物洗脱球囊2.0 mm×20 mm


术者思考:

随着接受脑动脉狭窄支架成形术患者数量的不断增加术后发生的并发症也越来越受到关注尤其在远期疗效观察中支架内再狭窄仍然是影响手术疗效的一个主要问题。为了减少脑动脉狭窄支架成形术后支架内再狭窄的发生人们在内科药物治疗的基础上采取了局部给药、血管内放疗、转基因治疗、置入放射性支架和被覆内皮细胞的支架等多种手段但是这些手段只是处于试验阶段。是否脑动脉狭窄支架成形术后支架内再狭窄的发生与冠脉内支架再狭窄一样也具有相关的危险因素是目前研究的重点。


支架内再狭窄的发生机制:目前多数观点认为支架内再狭窄形成的主要机制为血管成形术后血栓形成、新生内膜过度增生和消极的血管重构。支架植入即刻由于电荷之间的吸引作用就有一层血小板覆盖于支架内表面支架的网状结构为微血栓的形成提供了有利条件此后5~7天内附壁血栓形成达到高峰。另外支架以及球囊的机械性扩张刺激引起血管内膜损伤导致内皮细胞撕脱内皮细胞局部屏障功能丧失内皮下基质与胶原暴露血小板附着聚集增加促进血管腔内附壁血栓形成。血栓中存在的细胞因子和生长因子又为促进血管壁中层平滑肌细胞(VSMC)的增殖并向血管腔及支架内移行奠定了基础。同时由于在扩张支架时对血管壁的刺激损伤局部开始有巨噬细胞浸润以及其它一些炎症反应产生的大量细胞因子一方面进一步募集巨噬细胞等炎性细胞另一方面激活血管壁中层的平滑肌细胞(SMC)。微血栓、炎性细胞、以及大量细胞外基质表面被覆一层从支架周围血管内壁延伸而来的内皮细胞就共同组成了新生的内膜组织活化的炎性细胞通过释放细胞因子及生长因子促进平滑肌细胞增殖促进血管内膜增生。另外内皮细胞功能受损后分泌肝素样物质减少内皮细胞对VSMC的接触抑制功能丧失也会促进VSMC的增殖与迁移。在植入支架的过程中对局部血管壁造成的损伤包括内弹力层撕裂、血管壁中层变薄等其后的修复过程就伴随有血管壁的重构过程。血管外膜炎症浸润可使外膜成纤维细胞增生导致外膜纤维化限制血管的代偿性扩张从而引起血管的负性重构支架部位管腔缩窄。


当然引起脑动脉狭窄支架成形术后支架内再狭窄的过程还包括患者自身因素、手术操作因素、支架本身特性以及术后对于各种可能引起再狭窄的危险因素的控制情况等多种方面。所以防止支架内再狭窄的发生就要从控制引起再狭窄的病理生理环节与各种危险因素入手。明确一些危险因素我们可以早期进行控制以便通过预防来减少支架成形术后再狭窄的发生。高龄、高血压、高血糖、高血脂、吸烟、术后未坚持应用抗聚抗凝药物、术前狭窄率高、多个危险因素是脑动脉狭窄血管内支架成形术后支架内再狭窄的影响因素。


药物洗脱球囊是结合普通球囊扩张与靶向药物输送的新技术。作为一种既不依赖支架又能实现局部动脉获得有效药物浓度的血管内治疗装置药物洗脱球囊从多角度降低了再狭窄的发生风险。多项研究表明药物洗脱球囊在冠状动脉的应用具有良好的疗效。与冠状动脉类似脑动脉同样存在粥样硬化发生率高、介入治疗后复发率高、支架内再狭窄难以处理等问题药物洗脱球囊已在脑血管疾病的应用中崭露头角现有的文献报道初步表明在脑动脉疾病的治疗中药物洗脱球囊同样具有安全性和有效性。尽管仍存在一些问题但类比于冠状动脉疾病药物洗脱球囊在脑动脉疾病中应用的进一步开展有充足的理由:

(1)脑血管疾病发病率高致残率高严重影响了患者的生活质量药物洗脱球囊为患者和临床医师提供了新的备选方案;

(2)动脉粥样硬化性狭窄和支架内再狭窄同样困扰着脑血管病介入医师降低再狭窄率一直是他们努力的方向药物洗脱球囊的出现赋予了新的希望;

(3)与冠状动脉相比脑动脉更为复杂药物洗脱球囊操作简单安全性高在脑动脉疾病中的应用更具前景;(4)药物洗脱球囊术后所需双抗服用时间更短患者更易接受对于高出血风险患者也更为适用。


然而药物洗脱球囊在脑血管病中的应用也面临一系列挑战如设计出更适合脑动脉应用的产品克服血管壁因弹性回缩导致的再狭窄进一步降低装置成本等问题。

作为一种新技术药物洗脱球囊在脑动脉疾病中的应用仍需更多的临床证据支持。不管怎样药物洗脱球囊存在理论上的优势在未来脑动脉疾病的介入治疗中具有广阔的应用前景。


本例患者为大脑中动脉支架置入后再狭窄且有症状反复发生病情不稳定危险因素有18岁时即患有高血压高血压病史长血压控制不理想考虑支架置入后支架内再狭窄与血压控制不达标有关当然也可能存在其他因素。介入治疗指征明确术中普通球囊扩张后血管狭窄改善程度及形态均不满意再次狭窄可能性大给予药物球囊扩张后血管狭窄改善明显且血管壁光滑术中术后患者无不适查体正常继续严格控制危险因素定期复查。


声明:脑医汇旗下神外资讯、神介资讯、脑医咨询所发表内容之知识产权为脑医汇及主办方、原作者等相关权利人所有。未经许可,禁止进行转载、摘编、复制、裁切、录制等。经许可授权使用,亦须注明来源。欢迎转发、分享。


最新评论
发表你的评论
发表你的评论