
今天为大家分享的是《监测有道丨颅脑创伤-神经重症周刊》第225期,山东省淄博市中心医院神经外科孙虎主治医师带来的:一例特重度颅脑损伤的救治思考,欢迎观看、阅读。
患者,男,53岁,因车祸伤1小时来诊,入院时患者烦躁,GCS评分5分,不能对答,双侧瞳孔等大等圆,直径2mm,对光反射迟钝,四肢躁动,自主呼吸尚稳定。


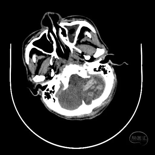
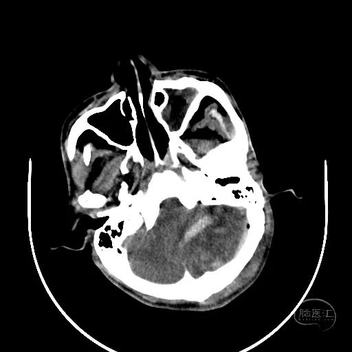
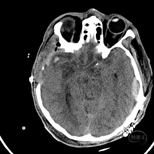
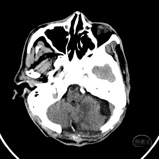
颅脑CT可见左侧小脑半球挫裂伤,第四脑室明显受压。




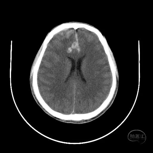
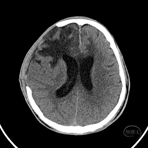
右额叶脑挫裂伤并血肿,侧脑室额角受压,脑室无明显扩张。

中线结构稍向左侧偏移。

骨窗显示枕骨粉碎性骨折,累及枕骨大孔左侧,齿突尚居中。

此时手术应该如何做,后颅窝减压?脑室引流?脑挫裂伤是否会加重?再复查颅脑CT?
患者家属对手术意见不统一,留急诊治疗,短期复查CT。

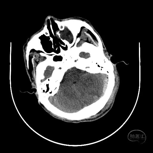
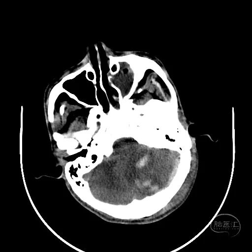
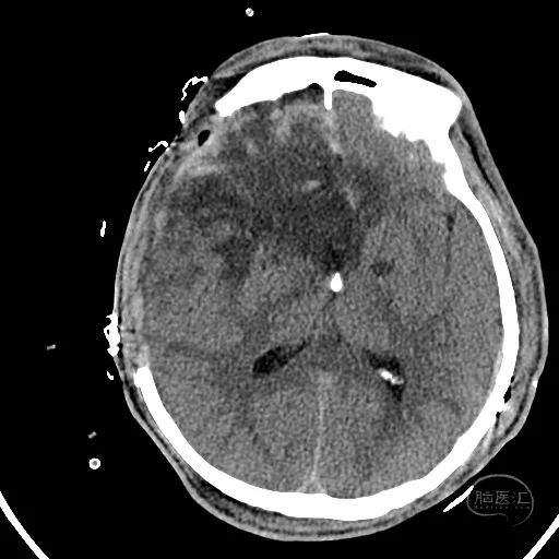
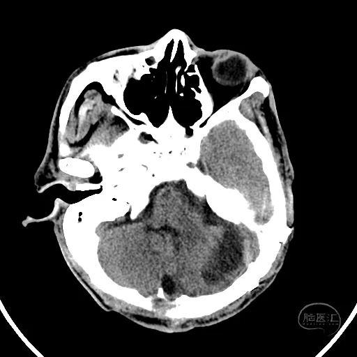
2小时后复查颅脑CT显示第四脑室受压消失。

小脑挫伤灶水肿较前加重,脑干及小脑半球低密度改变。

硬膜外血肿无明显变化。

右额叶脑挫裂伤并脑内血肿形成,中线结构明显移位。

左侧脑室有扩张表现。
此时患者双侧瞳孔散大,GCS评分4分,气管插管,自主呼吸。家属同意手术治疗。
幕上脑疝,幕下压力也高,第四脑室闭塞,导水管显示不清,脑室有扩张表现。
经过讨论,决定行左侧脑室引流+右侧扩大翼点入路血肿清除去骨瓣减压+后颅窝血肿清除去骨瓣减压+硬膜外血肿清除。
左侧脑室引流顺利,脑压500mmH₂O,释放少量脑脊液,再行右侧扩大翼点入路血肿清除去骨瓣减压,术中清除额叶血肿及挫伤坏死脑组织,颞骨咬除至中颅底,脑组织塌陷一般。
继续行后颅窝血肿清除去骨瓣减压,枕骨大孔处骨折,仔细清除骨片,硬膜未破裂,清除小脑血肿,脑组织塌陷一般,近横窦处硬膜悬吊,将后正中切口向左侧延伸,开骨瓣,清除硬膜外血肿,悬吊硬膜。因各种原因未放颅内压监护。术后双侧瞳孔均回缩。

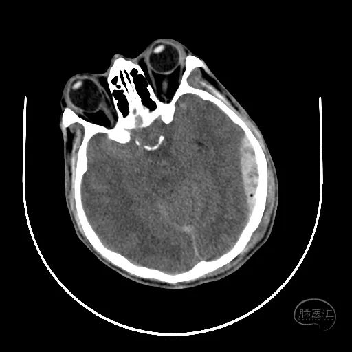
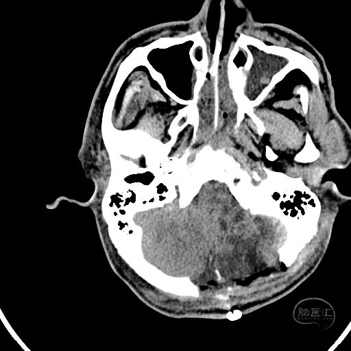
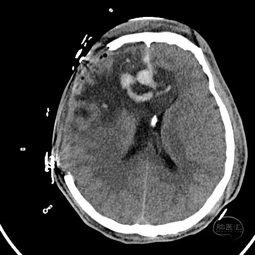
术后第一天复查CT显示后颅窝血肿清除,第四脑室隐约可见。
患者昏迷状,GCS评分3分,双侧瞳孔等大等圆,直径3mm,对光反射迟钝。


额叶血肿清除后,水肿明显。

额叶残余少量血肿,脑室引流管在位。

骨窗见枕骨大孔开放。术中清理枕骨大孔骨折时,无明显出血。

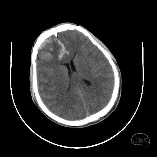
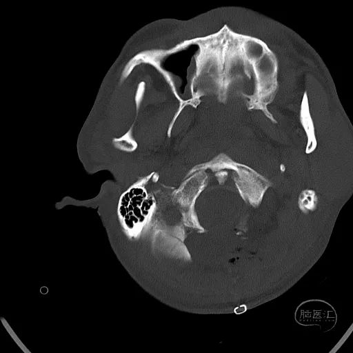
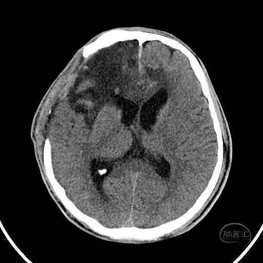
术后18天复查颅脑CT,显示小脑半球恢复良好,第四脑室清晰。


硬膜外血肿基本吸收。

额叶水肿减轻。

脑室稍扩张,骨窗张力较低。
患者GCS评分8分,已转入普通病房,继续康复治疗。
5. 经过积极脑脊液引流治疗,后期仍可能发生脑积水。

重度颅脑损伤的治疗仍然是神经外科的重点和难点,其手术仍然是神经外科医师的基本功。
为更好继续提高、规范中国神经外科医生颅脑创伤救治能力及水平,神外资讯《监测有道丨颅脑创伤-神经重症周刊》继续面向全国收集颅脑创伤病例并展开讨论,由国内医生提供真实病例,经专家审核通过及点评后刊登。投稿邮箱:shenwaizixun@163.com声明:脑医汇旗下神外资讯、神介资讯、脑医咨询所发表内容之知识产权为脑医汇及主办方、原作者等相关权利人所有。未经许可,禁止进行转载、摘编、复制、裁切、录制等。经许可授权使用,亦须注明来源。欢迎转发、分享。