
上期科普,小汇为大家带来了颅内表皮样囊肿的相关知识,本期我们接着介绍与它仅一字之差的颅内皮样囊肿,名相似病不同,可千万不要搞混喽!
![]()
颅内皮样囊肿是一种先天性良性病变,一般呈球形或分叶状,表面光滑,囊壁较厚,边界清楚,偶与脑组织有牢固的粘连。与表皮样囊肿一样,皮样囊肿的形成也起源于神经管闭合期间残留的上皮细胞,除了上皮碎屑外,皮样囊肿还含有皮肤成分,包括毛发、汗腺、皮脂腺。颅内皮样囊肿较颅内表皮样囊肿更少见,男女发病无明显差异,可发生于任何年龄段,极少数有恶变倾向。可见于颅内任何部位,但多位于颅内中线位置,最常见于颅后窝,约占所有颅内皮样囊肿2/3,也可发生在第四脑室、枕部的硬膜下或硬脑膜外,其次是脑桥、额叶下面,其他部位还有垂体区、松果体区等。
![]()
颅内皮样囊肿通常表现为局部占位效应导致的症状,发生于颅后窝者可有小脑损害症状,包括共济失调、走路不稳、眼球震颤等;发生于鞍区者可有视力模糊、视野障碍等。
此外,囊肿破裂(自发性、创伤性、医源性)也是颅内皮样囊肿出现临床症状的原因之一,囊内成分可进入蛛网膜下腔和脑室系统,造成化学性脑膜炎、室管膜炎、蛛网膜炎、血管痉挛、脑积水、脑梗死、颅神经纤维化等脑部病变,严重者可致死。
由于颅内皮样囊肿发展缓慢,也有部分患者长时间甚至终生无任何症状。
皮样囊肿常伴有皮瘘,是其重要的临床特点,所以结合患者的临床表现,可对伴有皮瘘者进一步做出诊断。无皮瘘者可借助放射学检查进行定位诊断,但术前定性诊断有一定困难。
实验室检查
脑脊液检查一般正常,蛋白含量不高,有感染时脑脊液细胞数增多。
![]()
辅助检查
1.头颅平片:可见圆形骨缺损或局限性骨质侵蚀,对肿瘤的定性诊断有重要价值。
2.脑血管造影:可显示正常血管移位等占位性病变的表现。
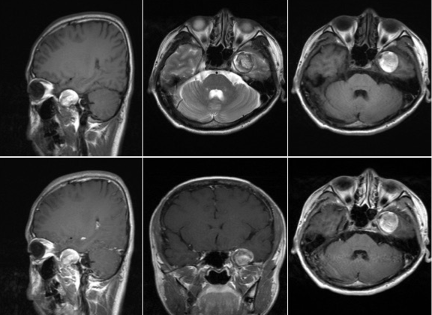
3.CT:由于含大量脂肪,平扫时可呈低密度区,CT值在-20~80Hu,有时可有钙化呈高低混杂密度影。一般边界清楚,偶有呈高密度者,CT值在20Hu以上。增强扫描一般无明显强化。
4.MRI:内含液态脂类物质,在T1WI表现为高信号是其特征性表现,有时也可因囊内含有毛发团等其他成分,呈高低混杂信号,T2WI多为略高信号。皮样囊肿破裂后蛛网膜下腔和脑室内有短T1、等T2脂肪信号。增强扫描肿瘤无强化。
![]()
手术切除是治疗颅内皮样囊肿的主要方式,伴有皮瘘者应连同瘘管一同切除。由于皮样囊肿多位于颅底颅后窝,包膜与周围组织粘连,因此,囊壁完全切除有困难。对于脑重要部位的皮样囊肿,不必强求全部切除囊壁,可做部分切除。硬膜外皮样囊肿伴有皮瘘者,勿切开硬膜以防颅内发生感染而导致死亡。
由于皮样囊肿生长缓慢,即使做部分切除,亦能达到长期缓解的效果。术后密切观察患者情况,留意是否有发生无菌性脑膜炎,如果能防止这一并发症发生,预后多数良好。
Online Consulting
线 上 咨 询
患友可以在脑医咨询【找医生】服务脑肿瘤-皮样囊肿病种分类下,找到对应专业方向的医生进行咨询哦!

声明:脑医汇旗下神外资讯、神介资讯、脑医咨询所发表内容之知识产权为脑医汇及主办方、原作者等相关权利人所有。未经许可,禁止进行转载、摘编、复制、裁切、录制等。经许可授权使用,亦须注明来源。欢迎转发、分享。




