今天为大家分享的是《监测有道丨颅脑创伤-神经重症周刊》第220期,由山西省人民医院神经外科郭宇宏、程刚、聂晓奇、贾禄带来的:一例脑外伤术后难治性硬膜下积液的治疗,欢迎观看、阅读。
基本信息及外院治疗
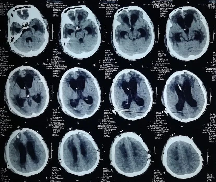
患者男性,48岁。2020年10月头部外伤,头颅CT显示双额叶脑挫裂伤,于当地医院行左额颞开颅血肿清除+去骨瓣减压术。
入院治疗
给予行左额颅骨成形术,术后双侧硬膜下积液消失,但出现脑积水,也就是脑外积水转为脑内积水。
总结讨论
外伤性硬膜下积液的患者,原发性脑损伤多数较轻,若诊断明确,处理及时合理,预后较好;若脑实质原发性损伤严重,则预后较差。一般情况下,外伤性硬膜下积液的转归大致分为以下三种:
硬膜下积液吸收 大多数患者经治疗后,积液量可明显减少或消失;小儿脑组织处于发育阶段,其代偿能力相对较强,因而对创伤的恢复能力强;如若伤后诊疗及时准确,预后往往较好,其后遗症也较成人少。
硬膜下积液增多 部分外伤性硬膜下积液的患者,积液量增多,其临床症状和体征也随之加重, 甚至出现脑组织中线移位、单侧或双侧瞳孔散大、脑疝等严重后果;这部分患者需要立即行手术治疗,解除积液对脑组织的压迫,避免对患者造成进一步伤害。
演变为慢性硬膜下血肿 其发生机制可能为:随着硬膜下积液量的不断增多,积液腔也随之增大,脑组织在颅腔内移位,导致桥静脉、静脉窦、蛛网膜颗粒等受牵拉撕裂而出血,脑脊液以及血液积聚 在硬膜下间隙内;一段时间后,会刺激硬膜内层的炎性反应从而形成包膜,而这种新生包膜不断出血,使得硬膜下积液逐渐发展成为硬膜下血肿。
保守治疗方法为:
早期卧床,卧床后床头不要抬高,可去枕尽量保持头低位,但要适时左右侧翻身,避免长时间平躺。
限制脱水剂:避免长期、大量应用甘露醇、呋塞米,高渗盐水等脱水剂,盲目降低颅内压,使局部颅内压力减低,硬膜下间隙增宽,加重积液的产生。
适度补液:维持正常血浆胶体渗透压,使渗出液减少,同时促进硬膜下积液向血管内转移,加强积液的吸收。
使用尼莫地平等钙离子拮抗剂缓解脑血管痉挛,使用丹参,银杏内酯等活血化瘀药物,改善微循环,促使积液吸收。
高压氧治疗:高压氧对于硬膜下积液的治疗可能有:改善病变区脑组织缺氧,提高氧分压,促进脑细胞代谢以及创伤后的修复,间接减轻脑萎缩,并葡萄糖代谢率增高,能量生成增加,减轻毛细血管内皮细胞的损伤和改善细胞通透性,从而使血浆白蛋白及电解质渗出减少,有助于硬膜下积液的吸收及脑功能的恢复。
手术治疗方法:
颅骨修补术。
硬膜下积液钻孔引流术/单侧双孔钻孔外引流术。
硬膜下积液腔-腹腔分流术。
开颅积液包膜切除及蛛网膜造瘘术。
早期颅骨修补术尽早恢复颅骨形态和颅腔完整性,使颅内压恢复平衡状态,对治疗去骨瓣减压术后硬膜下积液起到积极作用,可有效减少并发症,疗效令人满意。但有一部分患者由硬膜下积液(脑外积水)转为脑积水(脑内积水),仍需密切观察,必要时手术治疗。
山西省人民医院神经外科位于院内科研临床楼12-17层,开放床位180张,重症监护室(NICU)设置床位48张(15、16层),监护室床位数居山西省神经外科之首,已配备床旁移动CT、血气分析仪、可视喉镜、PICCO血流动力学监测系统等;开展床旁脑电、脑氧、呼末CO2分压监测、脑电双频指数监测、颅内压监测、脑温监测、有创动脉血压监测、中心静脉压监测、床旁超声、床旁纤支镜、鼻空肠营养管等多模态神经重症器官功能监测与保护核心技术,同时拥有吞咽神经和肌肉电刺激仪、微电流刺激仪、综合感官刺激仪、经颅磁刺激仪、右正中神经刺激仪及康复直立床等多种早期促醒、康复仪器。颅脑创伤与神经重症团队正在继续提高临床专业能力、科学研究能力等,改善山西省颅脑创伤及神经危重症病人预后及生存质量。
