To Improve Sometimes
To Summarize Always
病例详情
患者,女性,67岁
现病史:
查体:
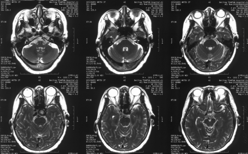
辅助检查:
1.颅内巨大动脉瘤(海绵窦段,左);2.白内障术后(双);3.头晕;4.黑矇(左)




血流导向装置 高流量搭桥
颈内动脉闭塞
拜阿司匹林肠溶片 100 mg Qd
患者取平卧位,全麻满意后,留取尿管通畅,术区常规消毒铺巾,右股动脉行Seldinger穿刺,置入6F动脉鞘,超滑泥鳅导丝携带5FMPA1行脑动脉造影,见左侧海绵窦段巨大动脉瘤,眼动脉段血管异常扩张,左侧A1未见显影。更换8F动脉鞘,超滑泥鳅导丝、5F MPA1、8F Envoy同轴送入左侧颈内动脉,撤出MPA1及导丝,超滑泥鳅导丝携带5F Navien送入颈内动脉,管头位于岩水平段。造影见脑血管痉挛,回撤Navien,静脉予以尼膜同泵入,血管痉挛缓解。选择合适工作角度,路图指引下,Synchro14微导丝携带Marksman支架管送入颈内动脉末端,微导丝头端进入M4,尝试送入微导管仍无法前进,于动脉瘤处反复疝入动脉瘤体内。更换Transcend微导丝送入远端大脑中动脉M2,将支架管送入M1末端,管头位置满意后撤出微导丝,连接高压肝素水持续滴注。选择工作角度,沿支架管送入PED-4.75-35一枚,于大脑中动脉保持支架头端稳定,回撤支架管露出支架头端,缓慢回撤至眼动脉段,保持支架管稳定,推送支架推送杆,动脉瘤瘤颈处适当增加张力,至近端岩骨段转弯处反复调整张力支架仍无法完全贴壁,遂先行原位释放近端,见贴壁良好。保持推送杆稳定,跟入Marksman支架管,支架管经过岩骨段转弯时可见支架展开程度较前改善。回收支架推送杆,沿微导管送入大C塑形后Synchro14微导丝,结合支架管弓背按摩支架,见支架贴壁明显改善。
XperCT提示支架贴壁良好,造影见载瘤动脉通畅,动脉瘤内血流迟滞。遂结束手术,撤出各级导管系统,穿刺点封堵止血满意后加压包扎固定良好。患者麻醉苏醒后平车送回病房,术后给予监护、吸氧、抗血小板聚集、抗血管痉挛等对症治疗,嘱患者穿刺侧肢体绝对制动6小时,卧床24小时,术后注意患者意识、瞳孔、肢体活动等。


造影见左侧颈内动脉海绵窦段巨大动脉瘤,瘤体远端海绵窦水平段血管狭窄,眼动脉段血管扩张,左侧A1段缺如

术后XperCT提示支架贴壁良好
术者思考:
血流导向装置是治疗颅内巨大动脉瘤的利器,随着近年研究的不断深入和适应症的不断拓宽,这种治疗理念得到了越来越多人的认可。自第一代Pipeline面世以来,截至年初,全球范围内已应用9000+,SCI研究文章300+,报道所涉及的病例2000+。当然对于该病例而言,高流量搭桥对该患者也是一个很好的选择,而且无异物植入,术后无需长期服用双抗药物,但手术的创伤有些患者无法接受。
本例患者动脉瘤位于海绵窦段,眼动脉段血管同时存在一定扩张异常,患者无明显高血压病史,从出血角度而言该患者相对出血风险并非极高。但根据核磁情况,尽管该动脉瘤位于海绵窦段,但已经有一部分瘤体突入颅内,一旦发生破裂出血,有一定可能进入蛛网膜下腔。且患者近期出现头晕及单眼黑朦,考虑与血流瘀滞于动脉瘤内有关。核磁上同样也可以看到瘤壁大量的血栓沉积,未来发生脑梗死的风险较大。此外,家属与患者对疾病的恐惧与治疗的决心也是我们最终决定施行手术治疗的原因之一。
在进行密网支架的释放时近端的支撑力尤为重要,术前考虑到动脉瘤位置不高,穿刺时准备使用普通的6F Envoy或Envoy DA作为支撑,但造影之后发现血管弹性较差,而且比CTA估计的扭曲要更为严重,于是更换8F Envoy+5F 115 cm Navien作为整体的支撑系统,如果当动脉瘤位置更高时可以考虑更换5F 125 cm Navien。
密网支架的贴壁与否是术后动脉瘤愈合的关键问题之一,XperCT对于术后评价密网支架贴壁具有一定的优势,可以弥补二维图像某些投射角度无法到位的问题。
患者术前服用的是阿司匹林+替格瑞洛的双抗药物,之所以由波立维更换为替格瑞洛是因为在常规双抗5天后的TEG检测提示AA抑制率和ADP抑制率均为0。尽管TEG仍存在着很多缺陷,测量结果受到的影响因素过多,目前仍没有得到全面的认可,但至少仍是一个监测凝血的指标,可以为我们提供一定程度的参考。近期全国多中心的PED随访工作已接近尾声,我们期待中国数据和经验能为血流导向装置未来的使用提供更多指导。
刘爱华 作者简介 主任医师、教授 博士生导师 北京市神经介入工程技术中心副主任 中国卒中学会神经介入分会党建书记 中国卒中学会神经介入分会秘书长 中国医师协会科普分会神外专委会主任委员 中国青科协生物医药常务秘书长 北京医师协会神经介入分会秘书长 北京医师协会神经介入分会青委会主任委员 擅长脑动脉瘤、脑血管狭窄支架成形与脑血管畸形等微创介入治疗,脑血管病先后获省部级奖7项,先后承担国自然、科技部等课题12项,已发表学术论文107篇(Neurology、Stroke等SCI论文62篇),已获发明国家专利4项,培养硕士生14名,博士生4名。
![]()






