To Improve Sometimes
To Summarize Always

病情简介
患者,男性,55岁。17月余前无明显诱因突发右侧肢体无力,上肢轻下肢重,不能行走,伴完全性运动性失语,于当地医院对症康复治疗后, 无明显好转,期间曾有癫痫发作,予对症药物治疗,遗留右侧肢体偏瘫,运动性失语,无法自理,行走需家人辅助。近半年来间断有头晕发作。
病史:
糖尿病病史1年余,目前口服二甲双胍1片 qd控制血糖。
入院查体:
神清,部分运动性失语,可发声,无有意义语言。双瞳等大等圆,直径2.5 mm,对光反射灵敏,眼动充分,视力视野粗侧正常。面纹对称match,伸舌居中,面部感觉正常。肢体活动正常,左侧肌力V级,右侧上肢0级,右侧下肢II级,肌张力正常。右侧肢体感觉减退,因右侧肌力下降,共济运动无法完成。入院评分 : mRS=3
入院影像评估:
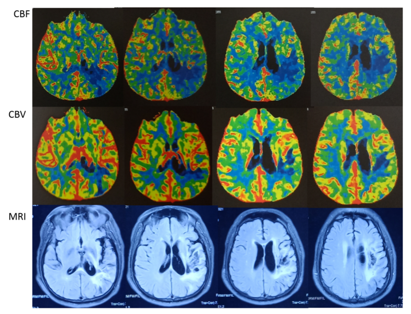
影显示左侧MCA M1段重度狭窄,右侧椎动脉V4段近闭塞,左侧VA PICA以远闭塞。基底动脉中段中重度狭窄,左侧AICA显影浅淡,右侧AICA不显影。左侧PCA不显影。

T2 Fliar 图像提示颞顶区域陈旧梗死灶,梗死区域多位于左侧大脑中动脉穿支区域,小脑半球,脑干区域未见明显缺血病灶。


左侧大脑中动脉供血区域,除陈旧梗死区域外,CBF轻度下降,CBV未见明显变化,提示局部部分代偿。
材料:
F Guiding、Transcend 300 微导丝 300 cm、Gateway 2.0 mm X 15 mm球囊、LVUS 4.5 mm x 30 mm 支架
术前药物准备:
阿司匹林100 mg + 替格瑞洛 90 mg QD 、术前TEG:R值 6.2 min,MA值65.3 mm。AA抑制率33.1%,ADP抑制率41.8%,ADP的MA值40.2 mm
路途下微导丝超选LPCA置于LPCA P2段

Gateway 球囊8 atm缓慢扩张椎基底动脉交界区

Gateway 球囊8 atm缓慢扩张椎动脉闭塞段

Gateway 球囊8 atm缓慢扩张椎动脉闭塞段

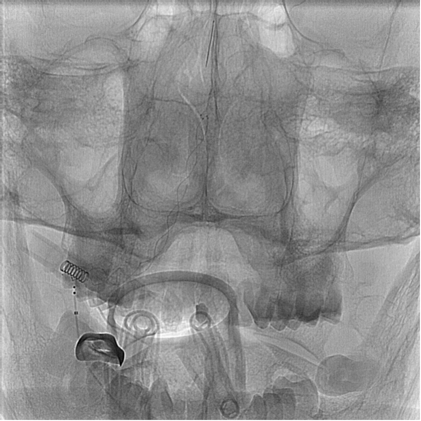
扩张后造影提示LVA明显改善,基地动脉中段狭窄50%,考虑病变节段过长,置入多枚支架增加术后支架内再狭窄或闭塞风险,故决定于椎动脉V4段置入支架成型。病变长度约40 mm,Neuroform Winspan均无合适型号 Enterprise 37 mm支架手头无货,拟用LVIS 4.5 mmX30 mm支架行支架成型术。

支架置入术后蒙片及正侧斜位造影,见支架上端位于AICA水平以上,支架脚跨过AICA开口,锁骨下动脉造影显示RVA前向血流明显改善,双侧AICA显影


术者思考:
治疗体会:
先用Gateway 2.0*15 mm的球囊进行狭窄段椎动脉血管扩张,球囊选择的一般原则:球囊直径等于或略大于狭窄远端血管直径,长度要全覆盖狭窄段,特长段狭窄则需要分段扩张。
尽管LVIS支架治疗症状性颅内动脉重度狭窄尚有很多商榷与争议之处,但LVIS支架治疗脑动脉狭窄也有其独特
优势:
3)LVIS支架未完全释放前可以回收,而开环的Winspan和Neuroform支架则不能。
(此文由在读博士张宝瑞整理)
![]()

刘爱华
作者简介
主任医师、教授
博士生导师
北京市神经介入工程技术中心副主任
中国卒中学会神经介入分会党建书记
中国卒中学会神经介入分会秘书长
中国医师协会科普分会神外专委会主任委员
中国青科协生物医药常务秘书长
北京医师协会神经介入分会秘书长
北京医师协会神经介入分会青委会主任委员
擅长脑动脉瘤、脑血管狭窄支架成形与脑血管畸形等微创介入治疗,脑血管病先后获省部级奖7项,先后承担国自然、科技部等课题12项,已发表学术论文107篇(Neurology、Stroke等SCI论文62篇),已获发明国家专利4项,培养硕士生14名,博士生4名。









