头皮发麻?有肿块?
老是想去挠头发?
不要不在意啊,有可能是得了头皮肿块疾病。
估计大家对头皮肿块不是很了解,
我们一起来看看广州市红十字会医院医生怎么说?


临床上,头皮肿块较为常见,很多人觉得是小事一桩,无需紧张,能不手术就不手术,或者随便找个诊所简单一切了之。殊不知不同的头皮肿块差别很大。

近日,在广州市红十字会医院神经外科就诊的Z女士(化名)发现右额长了一个皮下硬块,自发现2个月来增长速度比较快。这个小小头皮肿物其貌不扬,却没想到是极善伪装的“画皮”,诊疗过程跌宕起伏,“真凶”更是让人大吃一惊……
2个月前,一向爱美的Z女士因头皮肿物来到我院神经外科门诊就诊。医生检查发现该肿物坚硬,不能推移,边界清,考虑可能是颅骨骨瘤,建议Z女士入院进行进一步检查。

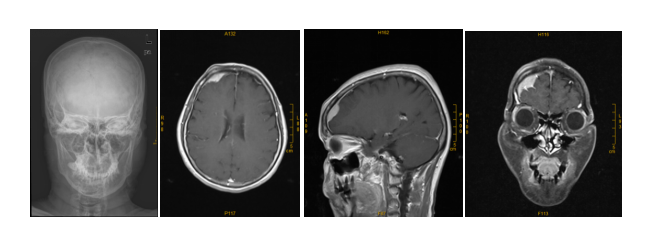
然而,常规CT、头颅X线都没看到骨瘤的影子,只提示右额皮下软组织内密影。这小小的头皮肿物难道不是骨瘤吗?虽然Z女士催促尽快安排手术切除头皮肿物,但主管医生梁一鸣为慎重起见,还是为她安排了头颅MRI。

果然,头颅MRI有了新发现:Z女士右侧大脑额叶长了一个肿物,最大层面大小约2.7x2.2x2.6cm,增强扫描明显均匀强化,可见“脑膜尾征”,相邻右侧额叶受压并少许脑水肿。
根据影像学所见,这个头皮肿物可能是脑膜瘤侵蚀颅骨的结果,初步诊断Z女士是“脑膜瘤”。

头颅X线没看到骨瘤,但头颅MRI发现右侧大脑额叶肿物
术前做好准备后,神经外科宁波主任主刀,为Z女士切除脑肿瘤。气管插管全麻后,宁波主任在术中见头皮下有一个肿物,大小约2x 2cm,质地坚韧,随后他对肿物进行了完整切除。
但颅骨表面光滑,没有看到想象中的颅骨受到侵蚀、缺损表现。右额叶肿瘤与硬膜粘连明显,大小约3x 2 x2cm,质地坚韧,肿瘤周围组织水肿明显。宁波主任主刀完整切除肿瘤,切除病变硬膜,并用人工硬脑膜严密缝合,骨瓣复位固定。皮下肿物、额叶肿瘤及病变硬膜等,标本送病理检查。

术中完整切除肿瘤,切除病变硬膜,并用人工硬脑膜严密缝合
住院期间,Z女士表示自己双眼视物模糊4年,之前在外院得到的诊断为“视神经萎缩”,对症治疗欠佳。入住神经外科后,医生为Z女士做术前检测视力只有眼前指数,几乎失明。经术前常规检查显示:血清梅毒特异抗体(化学发光)高、梅毒非特异抗体定量(RPR)阳性,考虑“梅毒”。

追问病史,Z女士家属反映其在2年前曾在外院诊断出“梅毒”,由于种种原因未做治疗。合既往病史、合并“梅毒”、视力进行性下降,这一系列的病症引起了宁波主任和梁一鸣医生的高度警惕,专家们分析认为Z女士合并“神经梅毒”的可能性极大。当即给Z女士做腰椎穿刺术,结果显示脑脊液梅毒特异抗体高,脑脊液蛋白、脑脊液白细胞数值都偏高。
Z女士是否能确诊为“神经梅毒”,怎么治疗?神经外科为此组织了多学科会诊(MDT),包括皮肤科、眼科、感染科、影像学、检验科、药学部等。

专家们一致认为Z女士“神经梅毒”的诊断可能性大,其视神经萎缩极有可能就是神经梅毒所致。为防止病情进一步恶化,建议予足量、全程“青霉素”治疗。
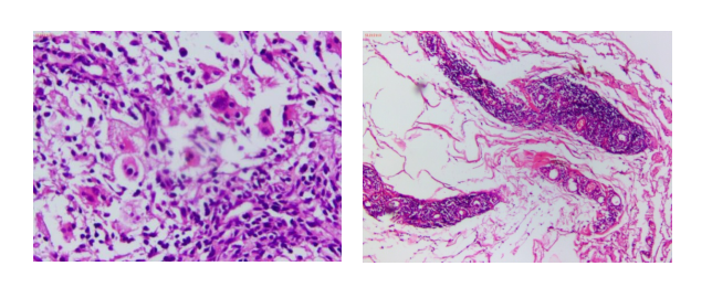
经病理分析,Z女士的头皮肿物符合慢性肉芽肿性炎。专家们面对病理结果,感到非常吃惊。这意味着梅毒不仅仅侵袭了患者的视神经,很有可能是神经梅毒的树胶肿型,也就是说患者的“脑肿瘤”并不是良性脑膜瘤,而是狡猾伪装、极其隐蔽的梅毒性树胶肿——一头“披着羊皮的狼”!

病理结果证实为梅毒性树胶肿
梅毒被称为是“巧妙的伪装者”,其表现复杂多样并且可以累及全身多个脏器。神经梅毒是梅毒螺旋体侵袭中枢神经系统所致的慢性临床综合征,脑、脊髓、周围神经等均可受累。

神经梅毒临床表现多变,可以没有神经系统受累的表现,也可以表现为不典型的脑膜炎、中风综合征等,还可以表现为典型的脊髓痨以及麻痹性痴呆。脑脊液的白细胞增多和蛋白升高是神经梅毒的常见表现之一,通过脑脊液的监测,可以有效观察神经梅毒的治疗效果。

梅毒性树胶肿是Ⅲ期梅毒的罕见类型,由于临床表现复杂多样,影像学表现不典型,早期误诊率极高,在早期常常被误诊为炎症性肉芽肿、脑转移瘤和恶性脑膜瘤等。
Z女士“与狼共舞”多年,视神经受累萎缩导致几乎失明,如果不是因为这个头皮“小肿物”现身,任由体内梅毒发展下去将累及全身多个脏器,后果不堪设想。

幸运的是,在我院神经外科专家谨慎诊疗、精心救治下,被确诊为梅毒性树胶肿的Z女士接受了足量、全程的青霉素治疗,现已康复出院,并将在门诊继续监测、观察治疗效果。

科室概况

神经外科创立于上世纪六十年代初,是我国最早建立的神经外科之一,为专院校的教学及实习基地。随着医院的发展,神经外科拥有目前国际上最先进的医疗设备,如高等磁共振和螺旋CT、手术显微镜、神经系统导航系统、术中超声、数字减影机(DSA)、神经内镜等,拥有雄厚的技术力量,神经外科现有主任医师1人,副主任医师4人,主治医师1人,住院医师2人;博士后1人,博士2人,硕士5人。多人在国家、省、市级学会任职,还有专业的神经外科护理团队,是广州市内规模较大的现代神经外科。神经外科是北京天坛医院神经系统疾病及北京宣武医院国家心脑血管疾病专科联盟成员,能开展远程医疗、协作手术,实现专家、临床、科研、教学等资源共享,让患者在家门口就能享受到国家级医院标准的医广东省各医学大、中疗服务。神经外科独立开展的手术包括:复杂颅脑肿瘤、脑血管疾病、颅脑创伤的精准显微外科治疗;脑血管疾病介入治疗;帕金森病综合治疗;脑瘫腰骶段脊神经后根选择性切断术(SPR)等。
指导专家

宁波
神经医学部主任、神经外科主任、主任医师、硕士研究生导师。北京天坛医院博士后,美国BerrowNeurologicalInstitute访问学者。现任广东省医师协会神经外科医师分会常务委员、广东省脑病精准诊疗与修复分会副主任委员、广州市医学会神经外科分会常务委员、广东省医学教育协会神外专委会常务委员、广东省中西医结合学会神经外科专业委员会常务委员、广东省健康管理学会神经外科专业委员会常务委员、广东省行业协会头颈外科分会常务委员、广东省行业协会神经外科分会委员、广东省医师协会神经修复专业医师分会委员。
专长:脑血管疾病、颅脑及椎管内肿瘤、功能神经外科疾病、颅脑外伤、脑积水等。
出诊时间:周一上午
指导专家

梁一鸣
医学博士,神经外科副主任医师。广东省医学会神经外科学分会第九届委员会创伤重症学组委员,广东省健康管理学会神经外科专业委员会委员。广州市医学会医疗事故技术鉴定专家、广州市医学会医疗损害鉴定专家。从事神经外科临床工作、科研、教学20年,对常见神经外科疾病,包括颅脑外伤、脑出血、脑肿瘤治疗具有比较丰富的经验。2007年1月入选中国青年志愿者海外服务计划塞舌尔项目第一批队员,在非洲塞舌尔共和国执行援外医疗任务。近年主持暨南大学、省、市级课题多项,在核心期刊发表论文多篇,其中SCI论文2篇。
出诊时间:周二上午







