2021年05月10日发布 | 2781阅读

原发性颅内尤文肉瘤一例(神经肿瘤系列十九)---浙二神外周刊(第299期)

浙二神外周刊

周珂人

浙江大学医学院附属第二医院

洪远

浙江大学医学院附属第二医院

达人收藏
































































































“浙二神外周刊”每周病例回顾,提出最优化的临床治疗分析和随访指导意见。专业讨论意见仅代表浙二神经外科团队观点,如有不同见解,欢迎同道斧正!每期讨论病例资料及整理均为“浙二神外周刊”原创,“浙二神经外科”授权官方合作新媒体《神外资讯》发布,其他网络媒体转载,请务必注明出处!


提示

“浙二神外周刊”不定期接收外院投稿,审核后发表。欢迎各专业同道联系我们,分享精彩病例、研究热点或前沿资讯。投稿请联系:shishi74@163.com


前言


神经肿瘤是颅内常见病,主要包括神经上皮肿瘤、脑膜瘤、转移瘤及淋巴瘤等。自279期开始刊发神经肿瘤系列,与同道共享,欢迎大家批评指正和交流讨论。


病史简介


患者女,32岁,因“头痛10天”于2021年2月17日入院。


患者10天前无明显诱因下出现头痛,位于左侧额部,较剧、难忍,休息后可缓解,无明显加重因素,后偶有发作,自行服用散利痛止痛,疼痛稍减轻。无头晕,无恶心呕吐,无畏寒发热等不适,遂至当地医院查MRI平扫+弥散,提示:“左侧额颞部囊实性占位,考虑肿瘤性病变,脑膜瘤可能,局部颅骨稍增厚,血管增粗,中线右偏”。头颅CT平扫提示:“左侧额颞部囊实性占位,局部大脑镰旁疝形成”。患者为求进一步治疗,遂至浙大二院,门诊拟“颅内占位性病变”收住入院。


入院查体:神志清,精神可,双侧瞳孔等大等圆,对光反射灵敏,颅神经检查未见异常,四肢肌力V级,肌张力不高,双侧病理征未引出。


既往史无殊。


诊治经过


入院复查头颅增强MRI,提示:左侧额颞叶见囊实性肿块,大小约33.4*61.4*45mm,内可见多发大小不一囊性灶,占位效应明显,增强后实性成分及分隔明显强化,DWI呈高信号,周围脑组织水肿明显,左侧侧脑室受压,中线结构右移。余所示各层脑实质形态和信号如常,脑室、脑池和脑沟形态及位置无殊。中线结构未见移位。影像诊断:左侧额颞叶囊实性肿块,恶性肿瘤考虑(图1)。


图1. 术前头颅MR增强检查:左侧额颞叶囊实性肿块,恶性肿瘤考虑。

实验室检查:血常规、血生化、肿瘤标记物等未发现明显异常。全身PET除颅内病变外未见明显异常。

术前科室讨论:患者有头痛症状,颅内占位明显,手术指征明确。遂于2021年2月21日行“开颅左侧额颞病损切除术”。手术经过顺利,术后无新发神经功能障碍。术后复查头颅CT及MR增强显示肿瘤切除满意(图2)。


图2. 术后复查头颅CT及MRI,未见术区残余肿瘤。


病理结果


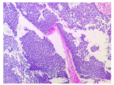
术后病理回报:(左额颞叶)圆形细胞恶性肿瘤,结合免疫组化及分子检测结果,首先考虑尤文氏肉瘤(图3)。免疫组化结果:CK-,EMA-,NSE-,S-100散在+,Syn部分+,CgA-,CD45散在+,GFAP-,NF-,CD99+,NKX2.2核弱+,Vimentin+,Desmin+,Olig-2个别弱+,Ki-67 40%+,P53部分+,Fli-1弱+。分子病理结果:EWSR1(22q12)基因断裂重排阳性。

图3. 病理切片镜下形态,可见致密深染的小圆细胞呈小巢状排列。

术后患者一般情况良好,无新发神经功能障碍。经放疗科会诊及家属商议后确定进一步放、化疗。


讨论


尤文肉瘤/原始神经外胚层肿瘤(Ewing’s sarcoma and peripheral primitive neuroectodermal tumor,EWS/pPNET )是起源于神经外胚层,高度恶性的小圆细胞肿瘤,具有多向分化潜能[1]。主要好发于15-25岁,男性略多于女性。大多来源于长骨、骨盆及软组织,只有不到4%的尤文肉瘤原发于颅内。常常位于顶骨及额骨,也有原发于颅底的尤文肉瘤。颅内骨外的尤文肉瘤更为罕见,只存在个案报道[2]
 
EWS/pPNET的病理学特征:镜下可见到肿瘤由多层胞核,核致密深染,细质较少的小圆细胞组成,肿瘤细胞呈边界不清的小巢状或片状排列,少部分肿瘤细胞呈弥漫性密集排列。部分肿瘤组织可见Homer⁃Wright菊形团或Flexner⁃Weinsteiner菊形团结构[3]。几乎所有EWS/pPNET患者CD99均表达阳性,是一项敏感指标。但无特异性,因为它可以出现在其他小圆形细胞肿瘤中,如淋巴瘤和室管膜瘤等。另外SYN、NSE、S-100、Leu-7等均可表达阳性[4]。细胞遗传学研究发现,EWS/pPNET存在特异性基因突变:位于22q12的EWSR1基因与其它基因融合。最常见的是与11q24上的FLI1基因形成EWS⁃FLI1融合基因t(11; 22)(q24; q12),或与21q22的ERG基因形成EWS⁃ERG融合基因t(21; 22)(q22; q12)[2]。特异性染色体异位及其融合基因检测为明确诊断的“金标准”。本病例免疫组化结果:CD99表达阳性,结合分子病理结果:EWSR1(22q12)基因断裂重排阳性,得以明确EWS/pPNET的诊断。
 
颅内EWS/pPNET最常见的首发症状是癫痫,随后出现颅内压升高的症状和体征,包括头痛、恶心呕吐、神经功能缺损和意识水平下降等。影像学上,EWS/pPNET常表现为一个明显的占位性病变,边界清楚,常累及硬脑膜或骨,类似脑膜瘤的外观。在CT上通常是高密度的。典型的MR表现是T1和T2低/等强度强化,强化可以是均匀的,也可以是不均匀的,伴有明显的瘤周水肿或脑移位。部分可出现囊性成分[5]。由于这些非特异性和可变的放射学特征,做出确定性的放射诊断是困难的。
 
由于组织学相似,颅内EWS/pPNET可误诊为淋巴瘤、横纹肌肉瘤、恶性脑膜瘤或不典型畸胎样/横纹肌样肿瘤等。另外,需要与中枢原始神经外胚层肿瘤(central primitive neuroectodermal tumors, cPNET)鉴别。其特征为未分化或低分化的神经上皮细胞组成的胚胎肿瘤。cPNET与pPNET患者组织细胞学形态相似,均由大小一致的小圆细胞组成,瘤细胞呈片状或巢状排列。pPNET中CD99的阳性率比cPNET高,而在cPNET中FLI-1的阳性率更高,对cPNET的诊断可能更有意义[6]
 
关于EWS/pPNET的治疗,由于病例罕见,目前尚没有统一的治疗方法,主要是手术联合放、化疗的综合治疗。在可行的情况下,应尝试进行积极的、完全的切除。有研究证实,肿瘤全切的患者相较未能全切的患者预后更好[6]。放疗策略也各不相同,对于颅内EWS/pPNET通常采用局灶性放疗。有研究总结出大部分患者在术后接受局部放射治疗,常规放疗通常给予36-60Gy的剂量;不完全切除的给予36-54Gy;病灶内切除后给予60Gy。另有研究表明,在没有完全切除的患者中,接受放、化疗的患者与只接受化疗患者的预后存在显著差异。这一结果证实了放化疗联合治疗在未完全切除的原发性颅内EWS/pPNET患者中的应用价值[7]。化疗方面,目前的治疗方案有包括长春新碱-阿霉素-环磷酰胺的VDC方案和长春新碱-异环磷酰胺-阿霉素-依托泊苷的VIDE方案[8]。研究证实,接受手术和化疗的患者有更好的结局,生存率为84%,而未接受辅助化疗的患者只有53%的生存率[9]
 
EWS/pPNET是具有高度侵袭性的恶性肿瘤,生长迅速,可局部复发和远处转移,多经血液转移至肺、肝脏,亦可转移至淋巴结。患者预后不良,5年生存率20%-30%。早期报道的尤文肉瘤影响中枢神经系统的存活率为6个月到3年[10]。然而,颅内原发EWS/pPNET的预后一般较其他部位起源的好,这可能是由于容易完全或接近完全切除。有文献报道经过6-20个月不等(平均12个月)的随访,患者生存率为72%,更有生存期长达20年的报道[6]。患者的预后取决于几个因素,包括肿瘤的位置,切除的范围,有无放、化疗,是否有EWS-FLI1融合基因等[11]
 
综上所述,原发性颅内尤文肉瘤临床上比较罕见,具有非特异性的临床表现和影像学特征,主要依靠病理明确诊断。需要手术联合放化疗的综合治疗。


参考文献


[1]Antunes NL, Lellouch-Tubiana A, Kalifa C, Delattre O, Pierre-Kahn A, Rosenblum MK. Intracranial ewing sarcoma/peripheralprimitive neuroectodermal tumor of dural origin with moleculargenetic confirmation. J Neurooncol 2001;51:51-6.
[2]Tanboon J, Sitthinamsuwan B, Paruang T, Marrano P, Thorner PS. Primary intracranial Ewing sarcoma with an unusually aggressivecourse: a case report and review of the literature.Neuropathology293–300
[3]ShanfieldRI. Immunohistochemical analysis of neural markersin peripheral primitive neuroectodermal tumor (pPNET) withoutlight microscopic evidence of neural differentiation. ApplImmunohistochem Mol Morphol1997:5:78-86.
[4]Gu M, Antonescu CR, Guiter G. Cytokeratinimmunoreactivity in Ewing's sarcoma: prevalence in 50 casesconfirmed by molecular diagnostic studies. Am J Surg Pathol2000:24:410⁃416.
[5]Jiahua Huang, Finn Ghent, Robyn Levingston.Surgical Neurology International2020:11(134)
[6]Abad Cherif El Asri. Primary intracranial pPNET/Ewing’s sarcoma: diagnosis, management and prognosticfactors dilemma; a systematic review of the literature.World Neurosurgery2018 Jul;115:346-356.
[7] Fiorillo A, Tranfa F, Canale G. Primary Ewing’s sarcoma of the maxilla, a rare and curable localization: report of two new cases, successfully treated by radiotherapy and systemic chemotherapy. Cancer Lett1996;103:177–82.
[8]Juergens C, Weston C, Lewis I, et al. Safety assessment of intensive induction with vincristine, ifosfamide, doxorubicin, and etoposide (VIDE) in the treatment of Ewing tumors in the EURO-E.W.I.N.G. 99 clinical trial. Pediatr Blood Cancer 2006;47:22–9.
[9]Ibrahim GM, Fallah A, Shahideh M, Tabori U and Rutka JT. Primary Ewing's sarcoma affecting the central nervous system: a review and proposed prognostic considerations. J Clin Neurosci 2012; 19: 203-209.
[10]Rosen G, Wollner N, Tan C. Proceedings: Disease-free survival in children with Ewing’s sarcoma treated with radiation therapy and adjuvant four-drug sequential chemotherapy. Cancer1974;33:384–93.
[11]Alava E, Kawai A, Healey JH. EWS-FLI1 fusion transcript structure is anindependent determinant of prognosis in Ewing’s sarcoma. J Clin Oncol 1998;16:1248–55.


(本文由浙二神外周刊原创,浙江大学医学院附属第二医院周珂人主治医师整理,洪远主任医师审校,张建民主任终审)


声明:脑医汇旗下神外资讯、神介资讯、脑医咨询所发表内容之知识产权为脑医汇及主办方、原作者等相关权利人所有。未经许可,禁止进行转载、摘编、复制、裁切、录制等。经许可授权使用,亦须注明来源。欢迎转发、分享。

最新评论
发表你的评论
发表你的评论