![]()

就像封面图片中那样,尽管大树的主干没有了,由于生存的本能在树桩上却长出细小而茂盛的小树枝,但它们发育却很不完善。烟雾病的新生血管就像这些小树枝一样稚嫩,非常容易出血。

![]()
前言
烟雾病(Moyamoya Disease)常以头痛、头晕、肢体麻木等起病,发病年龄以儿童和青壮年为主,容易被患者忽视。部分患者可表现不同程度的智能减退、感觉缺失、频繁摔跤、发音困难、失语、偏盲、脑神经损害等,从大宗病例分析来看,烟雾病早期诊断,按病理分期及临床表现及时予以干预,做到定期复查可以明显较低并发症,得到较好治疗效果。

山西省人民医院神经外科脑血管病团队一直致力于烟雾病的诊治,精准定位缺血位置,成熟的脑血运重建技术,使手术变得更加安全,报告一例烟雾病间接血运重建治疗体会,愿与同道分享和探讨。

烟雾病不同阶段的分型
![]()
病例分享
病例介绍
患者崔**,男性,7岁
主诉:间断头痛1年,右侧肢体活动不利3月余
查体:神志清楚,右侧肢体肌力IV
既往:体健。

入院3月前颅脑MR: 双侧额顶叶可见多发急性脑梗死灶


3月前颅脑MRA:双侧大脑中动脉闭塞及双侧大脑前动脉闭塞

入院前CT:经治疗脑梗死好转,左侧额叶脑内软化灶形成


术前MR:未见新发脑梗死

术前CTP:双侧额叶低灌注

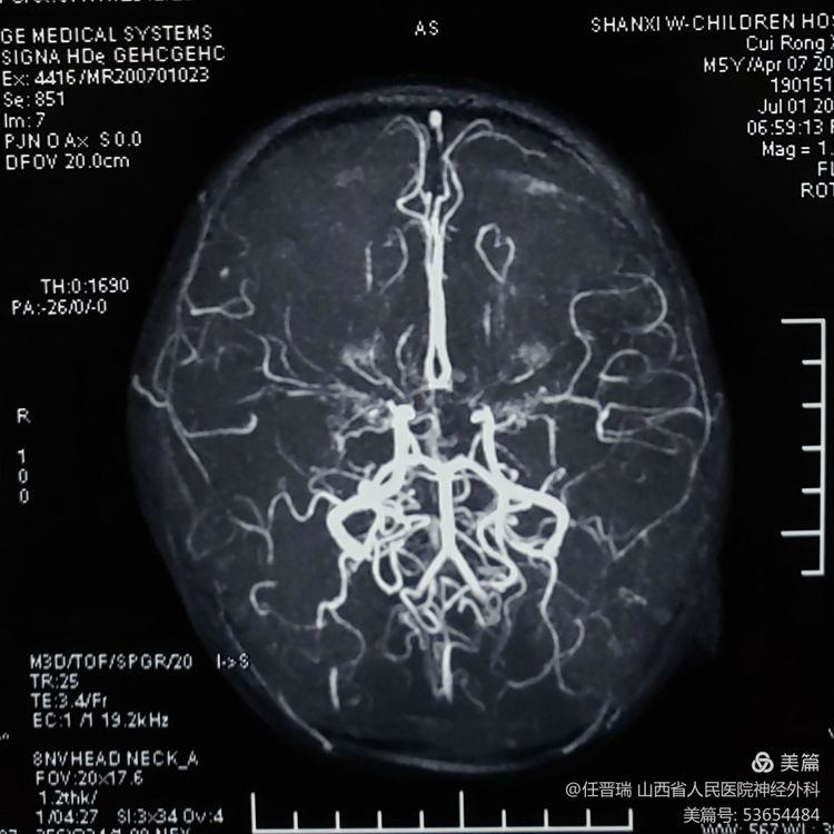
全脑血管造影:双侧大脑中动脉及双侧大脑前动脉闭塞,颈内动脉末端烟雾样血管形成
入院诊断: 烟雾病 陈旧性脑梗死
术前病例分析:
•脑血管造影发现病灶,诊断明确;
•手术指征: 儿童缺血型烟雾病,诊断明确,脑血运重建预防远期缺血并发症
治疗方案:
•手术方案: 间接血运重建(颞浅动脉贴敷+硬膜翻转+骨膜瓣转移)
•治疗关键:耐心细致地分离颞浅动脉
•技术要点:颞浅动脉缝合到蛛网膜,硬脑膜血管减少离断,止血彻底,头皮缝合严密等
术中情况:

左侧额颞切口并确认颞浅动脉位置

术中颞浅动脉贴敷+硬膜翻转+骨膜瓣转移

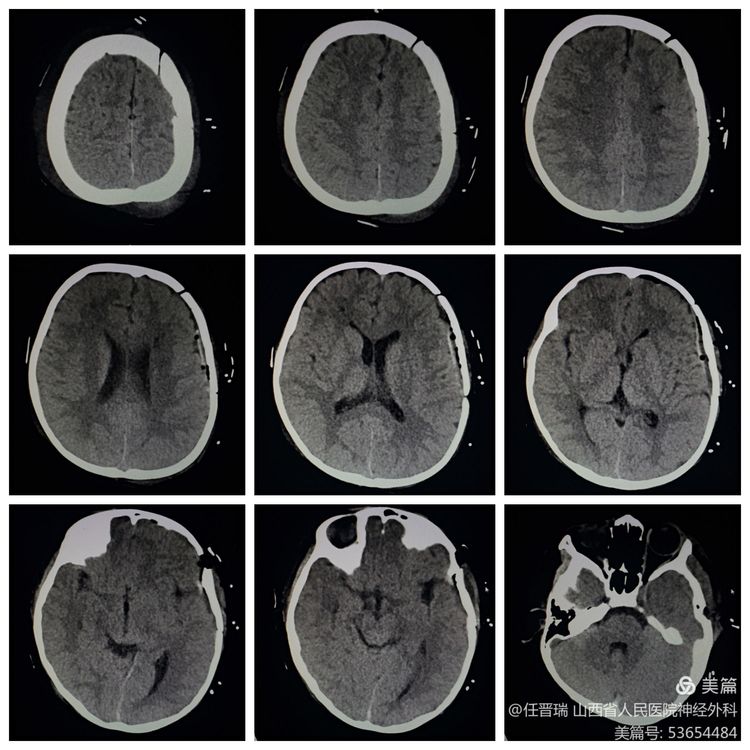
术后复查颅脑CT术区未见出血及梗死灶
术后患者无功能缺损,右侧肢体功能逐渐好转,行走和奔跑正常,与他人交流增加,顺利出院。
手术3月后随访:

患者的康复离不开团队中每一位成员的辛勤付出!
![]()
患有烟雾病该怎么办?
对于怀疑患有烟雾病的患者建议行脑血管造影和脑灌注检查进一步确诊,评估病情,必要时行外科手术。从治疗效果来看,联合血管搭桥术在烟雾病治疗方面取得理想效果。一方面直接搭桥手术(直接血运重建)快速改善脑供血,另一方面通过多种方式的贴敷(间接血运重建),诱导形成新生血管。通过双管齐下的方式,大大降低脑梗塞、脑出血发生几率。
![]()

任晋瑞
副主任医师
硕士研究生导师,神经外科博士,2015年在北京天坛医院学习脑血管疾病的显微外科治疗和介入治疗,后在北京宣武医院Yasargil显微外科训练中心进行血管吻合培训。目前主持省级科研项目一项,先后参与国家863基金资助项目二项和国家自然科学基金项目一项,获得山西省科学技术进步三等奖一项。先后发表SCI收录论文3篇,国家级论文6篇。入选山西省“三晋英才”支持计划青年优秀人才,现任山西省卫生健康委神经外科质控中心秘书,山西省医学会神经外科专业委员会青年委员兼秘书,山西省老年医学学会神经医学分会第一届理事会理事,中国生物物理学会体育医学分会委员。





