2020年8月接诊一例来自河北省唐山的12岁男性患儿(165cm,56kg)。患者主诉:间断性头痛伴呕吐3天,加重1天。查体示:生长发育基本正常;血清学提示肿瘤标记物阴性;激素水平基本正常;头颅CT/MRI示:鞍内、鞍上、三脑室区、鞍背后方巨大占位;颅咽管瘤可能性大。该病例系鞍区实体性肿瘤,非典型囊性瘤体伴蛋壳样钙化,需与视路胶质瘤、鞍区生殖类肿瘤相鉴别。鉴于首发症状无尿崩表现,肿瘤标记物阴性,MRIT1像出现脂类信号,基本除外生殖类肿瘤;患儿首发症状与视力无关,查体无水平眼震,MRI呈含脂类的混杂信号,视路胶质瘤可能性小。初步诊断为颅咽管瘤,且由于实体为主,难以植入Ommaya囊穿刺放液,只能考虑直接手术切除。

图1.术前MRI示鞍区占位,蝶窝明显扩大,肿瘤由鞍内、鞍上突入第三脑室。

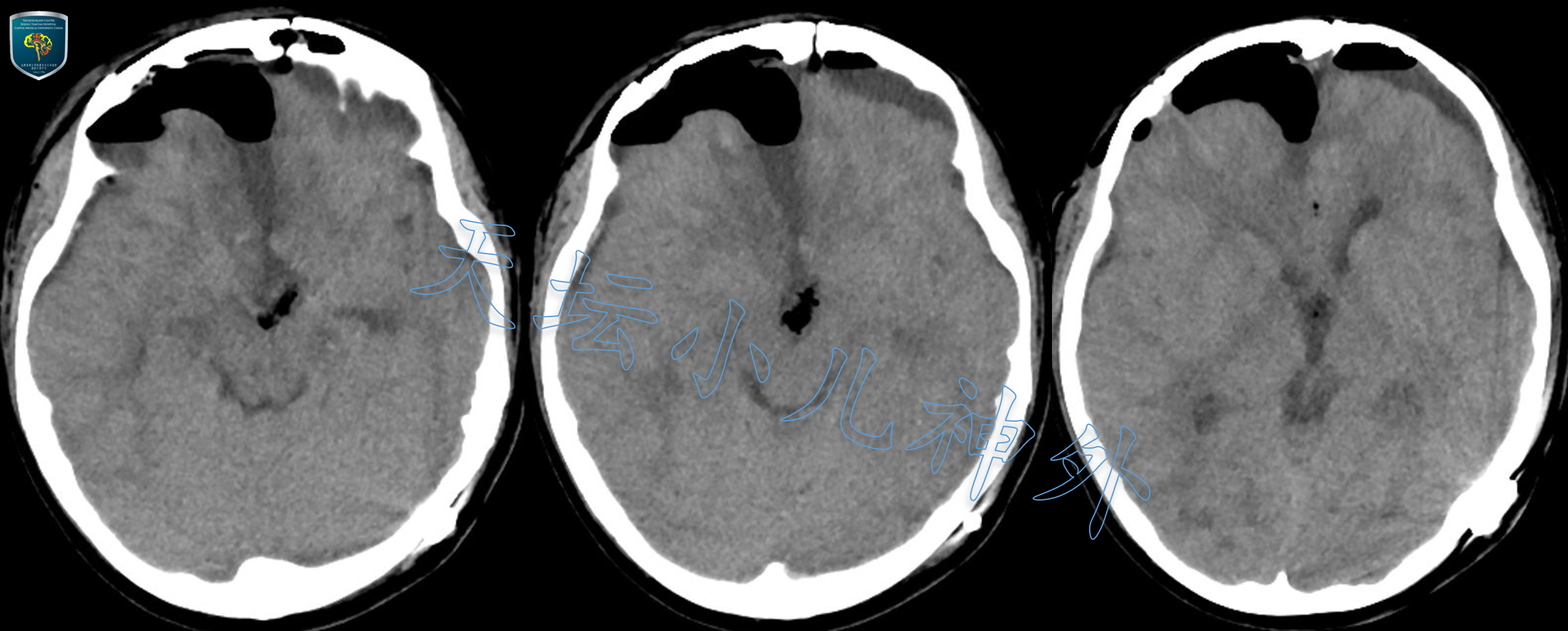
图2.术前CT见鞍区占位,实体为主,内含团块状钙化,充满脚间池并突入第三脑室。
依据天坛小儿神外诊疗常规,于2020年9月22日在全麻下行冠切右额开颅经纵裂入路鞍区肿瘤切除术。经纵裂顺利显露蝶骨平台、视交叉、双侧大脑前动脉及前交通动脉、胼胝体嘴部,打开第一、第四间隙,见瘤体粉红色、壁厚、血供中等、囊实性、实体为主,内含少量黄色囊液,多为结晶物质及沙砾样钙化,与周围组织粘连紧密,耐心于两个狭小间隙内分块切除肿瘤,未见垂体柄结构。特别是在三室内操作,注意辨别下丘脑结构并妥善保护,肿瘤镜下全切,下丘脑、脑干、基底动脉等重要结构保护完好,视交叉减压充分(图3)。术后病理回报示:造釉细胞型颅咽管瘤(WHOI型),浸润脑组织。术后患儿恢复好,未见明显神经功能缺失。一度多尿,历经高钠期、低钠期等血纳波动,两周后基本恢复正常,顺利出院,回当地继续调整内分泌并嘱三个月后来京复查。

图3.术中照片显示于第一间隙及第四间隙全切除肿瘤,视交叉减压充分。

图4.术后即刻CT显示肿瘤切除满意
治疗体会
儿童颅咽管瘤以囊性为主伴蛋壳样钙化,实体相对少(约占比45.5%1),手术难度更大。漆松涛2依据颅咽管瘤的位置与三脑室、垂体柄的关系,将颅咽管瘤分为3型:鞍隔下型(Id-CPs)、鞍上蛛网膜下腔型、鞍上与三脑室型(Sp-CPs)。鞍上与三脑室型的患者常有头痛(66.9%)、垂体功能减退(63.6%),合并脑积水(65.3%)。该型手术难度最大,全切率小于70%,围手术期死亡率高达4.1%。死亡原因主要是肿瘤多次复发、多次手术及放疗造成严重的下丘脑功能衰竭。北京天坛医院小儿神经外科每年完成儿童颅咽管瘤手术百余例,单中心手术例数位居世界前列,手术死亡率小于1%,远低于国际报道的4-10%3,4的水平。本例属于鞍上与三脑室型,根据我们的临床经验,确实属于手术风险最大、并发症最多、全切难度最大的一型颅咽管瘤。
2004年西班牙神经外科医生Pascual将累及第三脑室的颅咽管瘤分为“单纯三脑室内型”及“非单纯型”5。三脑室内外沟通的颅咽管瘤是肿瘤向上延伸的结果,肿瘤侵犯三脑室底部下丘脑核团,术后内分泌功能障碍者多见,严重者危及生命。由此,Pascual认为经纵裂终板入路的手术并发症明显低于经胼胝体入路或经额侧脑室入路,此观点与我们的临床实践不谋而合。
漆松涛提出颅咽管瘤的膜性概念,认为颅咽管瘤均起源于垂体或垂体柄,所有颅咽管瘤均从起源点由下而上生长,并无真正意义上的三脑室内型6。“肿瘤起源于鞍膈下的垂体中间叶或垂体柄鞍膈下段,当通过鞍膈孔凸向鞍上时,可有雪人症。肿瘤主体多位于鞍内,可见蝶鞍扩大,甚至凸向海绵窦,鞍膈或部分鞍膈向上膨隆。即使肿瘤较大,周边仍可见鞍膈孔及基底池蛛网膜形成的环形结构”。本例与此种描述基本一致。
本例手术关键点就是在处理三室内肿瘤时,要清晰辨别并妥善保护下丘脑结构。当然,这需要大量的临床实践积累,经验稍有欠缺,患儿就可能付出生命的代价。同时,我们会针对颅咽管瘤生长方式,尽快推出天坛分型,规范治疗路径,将手术风险降至最低,造福广大患儿。
参考文献
1. AlaladeAF, Ogando-Rivas E, Boatey J, et al. Suprasellar and recurrentpediatric craniopharyngiomas: expanding indications for the extendedendoscopic transsphenoidal approach. Journal of neurosurgeryPediatrics. 2018;21(1):72-80.
2. PanJ, Qi S, Liu Y, et al. Growth patterns of craniopharyngiomas:clinical analysis of 226 patients. Journal of neurosurgeryPediatrics. 2016;17(4):418-433.
3. GarnettMR, Puget S, Grill J, Sainte-Rose C. Craniopharyngioma. OrphanetJournal of Rare Diseases. 2007;2(1):18.
4. BidurK, Prasad D. Outcome following surgical resection ofcraniopharyngiomas: A case series. Asian Journal of Neurosurgery.2017;12(3):514-518.
5. PascualJM, González-Llanos F, Barrios L, Roda JM. Intraventricularcraniopharyngiomas: topographical classification and surgicalapproach selection based on an extensive overview. Actaneurochirurgica. 2004;146(8):785-802.
6. 漆松涛,潘军,包贇,et al. 颅咽管瘤的QST分型特点和手术治疗.中华神经外科杂志.2017;33(11):1088-1093.





