提示
“浙二神外周刊”不定期接收外院投稿,审核后发表。欢迎各专业同道联系我们,分享精彩病例、研究热点或前沿资讯。投稿请联系:shishi74@163.com
前言
神经肿瘤是颅内常见病,主要包括神经上皮肿瘤、脑膜瘤、转移瘤及淋巴瘤等。自279期开始刊发神经肿瘤系列,与同道共享,欢迎大家批评指正和交流讨论。
病例介绍
患者男,20岁,因“多饮多尿2年余,加重半年”于2019年7月22日入院。
患者2年余前无明显诱因下出现多饮多尿,尿量不详,无明显头痛头晕、恶心呕吐,无发热消瘦乏力,无肢体水肿等,起初未予重视就诊。最近半年症状明显加重,到当地医院就诊,怀疑为“垂体性尿崩症”,行头颅MR增强检查,提示鞍上区占位伴脑内多发强化灶,考虑生殖细胞瘤伴脑内脑脊液播散,淋巴瘤待排。为求进一步诊治转来浙大二院。
诊治经过
入院查体:神志清,精神可,瞳孔等大等圆,对光反射灵敏,颅神经检查未见异常,四肢肌力V级,肌张力不高,病理征阴性。
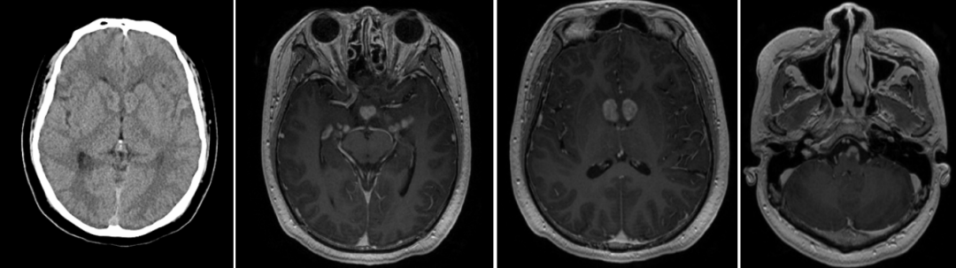
复查增强头颅MRI,提示两侧脑室旁、鞍上池区、松果体区、左侧额叶、右侧枕叶、两侧颞叶、桥脑、两侧小脑半球、延髓左腹侧,见多发大小不等结节状、团片状异常信号,增强后呈结节样、串珠样明显强化影(图1)。

实验室检查:血液及脑脊液HCG、CEA、AFP等均在正常范围。
术前科室讨论:患者症状明显,颅内多发病灶手术切除风险较大,以明确病灶性质为主,建议行立体定向活检术。遂于2019年7月26日行“导航立体定向下右侧脑室旁基底节区病灶穿刺活检术”。手术经过顺利,术后无新发神经功能障碍。
病理结果
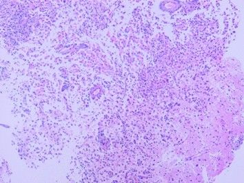
术后病理回报:脑组织中见大量组织样细胞,考虑组织细胞起源肿瘤(图2)。
免疫组化结果:CD68+,CD20小簇+,CD79a小部分+,S-100+,CD138个别+,P53小部分+,Ki-67(5-10%),NF极少轴突片段+,Olig2极少+,PAX5局灶少量淋巴细胞+,CK(AE1/AE3)-,SALL4-,CD117-,Oct3/4-,MUM1-,SV40-。因病理性质难以确定,建议UCLA会诊。

图2、病理切片镜下形态。
美国UCLA病理会诊,考虑富于巨噬细胞的病变,显示破坏性而不是脱髓鞘。可见局灶淋巴细胞浸润,尽管是少数。未见病毒包涵体。免疫组化SV40-,提示进行性多灶性白质脑病可能性小。未见具有诊断性的胶质瘤、生殖细胞肿瘤或转移性肿瘤。最终病理诊断也未有定论。
外院病理科会诊:大量炎性细胞渗出,伴有泡沫细胞形成,倾向炎性反应性改变。免疫组化结果:GFAP+,Ki-67少量+,MBP+,CD1a-,CD20-,CD3-,CD68/kpl-,S-100-。
由于病理结果最终不明,此后一直予随访观察,定期复查头颅增强MRI。
2020年5月,MRI提示病灶增大,尤其是左颞内侧病灶更为明显(图3)。进一步PET-CT检查,提示颅内多发局灶FDG代谢异常升高(片子遗失)。


图3、第2次手术前头颅MR增强影像。
因病灶增大,2020年10月,患者去复旦大学附属华山医院再次开颅手术,取左侧颞叶大块病灶送病理检查。
术后病理诊断:考虑非朗格汉斯组织细胞增生性病变,但未给出具体亚型。免疫组化结果:KP-1+,CD163+,Ki76(6%+),CD20少+,CD3少+,CD23个别+,GFAP(脑组织)+,Olig2(脑组织)+,ATRX+,CD34(血管)+,INI1+,Syn(脑组织)+,SMA(血管)+,CD56(脑组织)+,CD1a-,S100-,CD138-,Kappa(-/+)-,λ-,ALK-,IDH1-,P53-,Neun-,EMA-,H3K27M-,CK-,PLAP-,OCT-4-,CD117-,Des-,SOX-10-,HMB45-,TTF-1-,分子检测:BRAF V600E野生型。
外院再次病理会诊,诊断组织细胞增生性病变。免疫组化结果:H120-CD68/kpl+,PGM1+,CD163+,S-100-,ALK1A4-,langerin(CD207)-。
鉴于以上病理诊断,患者在复旦大学附属华山医院采用VP方案化疗,随访观察中。
讨论
临床上颅内多发病灶的疾病并不少见,需要鉴别的疾病种类也非常多,包括肿瘤性(胶质瘤、淋巴瘤、转移瘤、生殖细胞瘤等)、感染性(真菌感染、寄生虫、结核)、脱髓鞘病变、中枢系统血管炎、线粒体脑病、放射性脑病、结节病等等,有些类型要得到明确诊断及治疗有一定困难。“浙二神外周刊”公众号(第109期——颅内多发病变之多发性硬化一例)曾对颅内多发占位性病变的鉴别诊断进行了详细的描述。本例颅内多发占位,辗转多家医院,经历2次手术,多家知名医院的病理科会诊,最后病理诊断为非朗格汉斯组织细胞增生症。
颅内非朗格汉斯组织细胞增生症极为罕见,只存在于个案报道。该疾病属于组织细胞增生性病变,是以组织细胞(单核-巨噬细胞)异常增生为特征的一组疾病。分为朗格汉斯细胞组织细胞增生症(LCH)、非朗格汉斯细胞组织细胞增生症(NLCH)以及恶性组织细胞增生症。
LCH起源于树突状细胞,好发于淋巴造血系统,常累及中枢神经系统,曾被称作组织细胞增生症X和嗜酸性肉芽肿等。目前LCH通过免疫组织化学病理性LC特异性标志CD1a+和/或CD207+(Langerin)确诊。活检是诊断LCH的必要条件,此外需结合患者临床表现、组织学和免疫组化的辅助诊断。LCH疾病性质一直不明,起初被认为是一种炎性反应疾病,1994年LCH细胞克隆性扩增的首次报道将该病的理解从反应性趋向于肿瘤性,直至2010年在高危患者的髓系前体细胞CD34+干细胞中发现鼠类肉瘤滤过性毒菌致癌同源体B1(V-raf murine sarcoma viral oncogene homolog B1,BRAF)基因突变,将其归结为一种肿瘤性疾病。在2016年修订的组织细胞分类中将LCH定义为炎性髓系肿瘤。治疗方案包括手术、放疗、化疗或各疗法的联合应用。有研究显示,甲泼尼龙联合长春新碱可作为多系统病变的一线治疗方案,除此之外报道的化疗药物还有阿糖胞苷、氯法拉滨、克拉屈滨、依托泊苷等,目前治疗方案尚无统一标准。近年来,应用针对BRAF基因突变的抑制剂,对LCH进行靶向治疗也取得满意效果。
NLCH与LCH不同,并不起源于树突状朗格汉斯细胞,而是一组巨噬细胞增生性病变。是具有巨噬细胞分化特性的细胞的良性增殖性疾病。分为皮肤损害为主、皮肤和多系统受累、原发性皮肤外组织受累3种主要类型,包括罗塞-道夫曼病(Rosai-Dorfman disease, RDD)、欧迪海姆-奇斯特病(Erdheim-Chester disease, ECD)、幼年性黄色肉芽肿(juvenile xanthogranuloma, JXG)、成人黄色肉芽肿(adult xanthogranuloma, AXG)以及播散性黄色瘤(xanthoma disseminatum, XD)等。RDD,ECD,JXG是其中相对常见的NLCH,有文献总结其临床特点及影像学特征见表1。其诊断和鉴别诊断几乎完全依靠病理学检查。治疗上,目前没有统一方案,有的患者具有自愈倾向,有些患者预后较差。术后结合放疗及以长春新碱和糖皮质激素为主的化学治疗方法,有些患者病情能缓解、稳定甚至痊愈。

各种NLCH之间、NLCH与LCH之间,临床、影像学以及病理虽理论上各有不同,但均来源于组织细胞,不同类型的免疫学表型特征也较复杂,有文献总结见表2。故在实际诊断工作中,其细胞特征、免疫组化可出现重叠效应,有时可能需要反复的活检或手术才能明确。另外,NLCH(如ECD和XG)和LCH在同一患者可同时或依次发生。其病理生理尚有待于更深入的研究。

对于颅内多发性病变,需要结合病史、体检、检查化验等,必要时得到病理组织确诊,再根据病理学诊断采取相对应的治疗。由于颅内多发性病变需要鉴别的疾病种类非常多,有些类型得到明确诊断及治疗有一定困难,需要继续积累更多临床资料,以提高诊疗效果。
本例患者经历2次手术,多家知名医院的病理科会诊,最后病理诊断考虑为非朗格汉斯组织细胞增生症。由于非朗格汉斯组织细胞增生症也细分很多类型,诊断过程比较复杂,目前也没有统一的治疗方案,故总结了此病例的临床资料。关于该患者的诊治,也请同行提供更多宝贵意见。
参考文献
[1] 刘玲春, 朴月善, 卢德宏. 几种常见的累及中枢神经系统的非朗格汉斯细胞组织细胞增生症[J]. 中华内科杂志,2015,54(12):1057-1059. DOI:10.3760/cma.j.issn.0578-1426.2015.12.017.
[2] 于士柱. 组织细胞增生性病变病理学特点与鉴别要点[J]. 中国现代神经疾病杂志,2015,15(4):256-262. DOI:10.3969/j.issn.1672-6731.2015.04.002.
[3] 范枝俏, 潘耀柱, 刘萍, 等. 朗格汉斯细胞组织细胞增生症的研究进展[J]. 中国实验血液学杂志,2020,28(1):354-358. DOI:10.19746/j.cnki.issn1009-2137.2020.01.060.
[4] 陆坤娥, 蔡绥勍. 朗格汉斯细胞组织细胞增生症4例误诊分析并文献复习[J]. 中国皮肤性病学杂志,2020,34(8):964-968. DOI:10.13735/j.cjdv.1001-7089.201909130.
[5] 彭岸雄, 刘正豪, 郑眉光, 等. 颅脑朗格汉斯细胞组织细胞增生症的临床分型与治疗分析[J]. 中华神经医学杂志,2020,19(7):706-710. DOI:10.3760/cma.j.cn115354-20191104-00642.
[6] Silveira LN, de Souza Queiroz L, Reis F. Non-Langerhans cell histiocytosis[J]. Acta Neurol Belg, 2016 Dec;116(4):687-689. doi: 10.1007/s13760-015-0588-8. Epub 2016 Jan 6.
[7] Classen CF, Minkov M, Lehrnbecher T. The Non-Langerhans Cell Histiocytoses (Rare Histiocytoses) - Clinical Aspects and Therapeutic Approaches[J]. Klin Padiatr, 2016 Nov;228(6-07):294-306. doi: 10.1055/s-0042-109713. Epub 2016 Nov 15.
[8] Kobayashi M, Tojo A.Langerhans cell histiocytosis in adults: Advances in pathophysiology and treatment.Cancer Sci. 2018 Dec;109(12):3707-3713. doi: 10.1111/cas.13817. Epub 2018 Oct 30.sis
[9] Abla O, Rollins B, Ladisch S. Langerhans cell histiocytosis: progress and controversies[J]. Br J Haematol, 2019 Dec;187(5):559-562. doi: 10.1111/bjh.16099. Epub 2019 Jul 15.
[10] Nakamine H, Yamakawa M, Yoshino T, et al. Langerhans Cell Histiocytosis and Langerhans Cell Sarcoma: Current Understanding and Differential Diagnosis[J]. J Clin Exp Hematop, 2016;56(2):109-118. doi: 10.3960/jslrt.56.109.
[11] Janku F, Diamond EL, Goodman AM, et al. Molecular Profiling of Tumor Tissue and Plasma Cell-Free DNA from Patients with Non-Langerhans Cell Histiocytosis[J]. Mol Cancer Ther, 2019 Jun;18(6):1149-1157. doi: 10.1158/1535-7163.MCT-18-1244. Epub 2019 Apr 23.
(本文由浙二神外周刊原创,浙江大学医学院附属第二医院周珂人主治医师整理,徐锦芳副主任医师审校,张建民主任终审)






