
手术者:吴建东主任医师
助手:马冕主治医师

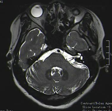
第二例 面肌痉挛何某,女,36岁,“左面部不自主抽动2年,加重3个月”入院

左侧面神经与小脑前下动脉与小脑后下动脉关系紧密

注意了,这是两根不同的血管

血管穿过面听神经之间

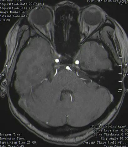
术中暴露小脑前下动脉和小脑后下动脉

剥开听神经可见细长面神经,小脑前下从面听神经之间穿出,并与小脑后下动脉被蛛网膜包裹形成系带

细长面神经可见系带形成的压迹

TEFLON棉垫开两根责任血管术后患者再无挤眉弄眼的表现

第三例舌咽神经痛王某,女,52岁,“右侧阵发性咽后壁疼痛一月余”入院

舌咽神经痛与右侧小脑后下分支血管关系紧密

术中暴露神经与血管

游离舌咽神经与迷走神经

电凝舌咽神经支

剪断杜绝后患

术后患者疼痛症状明显缓解,无声音嘶哑,吞咽呛咳等并发症!


马冕
主治医师,医学博士,擅长脑血管疾病,垂体瘤,颈动脉狭窄的显微手术治疗
手机号(微信号):18862323139





