
2020年8月接诊一例来自福建泉州的10岁男性患儿(身高:140cm,体重:32.5kg),主诉“延髓胶质瘤术后一年半,残余肿瘤进行性增大来院就诊”。患儿一年半前阵发性头痛,经头部MRI检查发现小脑蚓部及延髓占位,于2018年2月23日在福州某医院行“延髓肿瘤切除术”。手术记录显示:肿瘤与延髓粘连紧密,血供丰富,术中患儿心脏停跳三次,经抢救恢复,肿瘤未能全切。病理回报:毛细胞型星形细胞瘤。术后未行后续治疗,术后一年复查显示瘤体明显增长,遂来我院就诊。初步诊断为“复发延髓胶质瘤”,家长坚决要求再次手术。

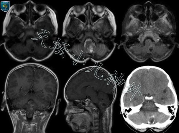
图1术前CT显示:枕部骨质缺损呈术后改变,后颅窝团块状密度影含钙化灶;MR提示:小脑及延髓背侧可见囊实性病变,长T1长T2,不均匀环状强化,考虑肿瘤复发。
鉴于肿瘤属低级别性质,若能全切或近全切除,患儿可长期存活。依据天坛小儿神外诊疗规范,于2020年9月7日在脑干功能电生理监测下,行原切口入路肿瘤切除术。术中见手术瘢痕形成,小脑延髓裂局部解剖结构混乱。沿中线切开下蚓部1.5cm,进入第四脑室,见肿瘤上极完好,未见手术瘢痕,色红黄相间、质地软韧不均,血供中等,肿瘤上极平桥延交界髓纹水平,上极呈游离状态,向下翻起肿瘤,见肿瘤起源于延髓背侧,四室底部桥脑背侧以上光滑完好;沿桥脑背侧向下探查肿瘤游离面,见肿瘤与延髓背侧中线部直至闩部无粘连,顺利抬起,棉片妥善保护延髓背侧中线处;通过瘤体上极及右侧两个游离面将肿瘤向左侧翻起,清晰显示肿瘤起源于延髓左侧小脑下脚,与左侧后组颅神经无关,妥善保护;双极缓缓低功率电凝切断瘤体基底约1cm,一度出现血压升高,通过反复打水降温,分步离断基底,终于瘤体整体切除,考虑肿瘤起源于延髓,确认为近全切除。术后脑干功能监测同术前,无明显损伤。术后病理回报:毛细胞型星形细胞瘤(WHOⅠ级),免疫组化:GFAP(+),Olig-2(+),IDH1(-),Ki-67(大部分<5%,局灶约5-8%)。患儿术后反应轻,留院一周后顺利出院,回当地继续后续治疗。

图2:术后CT/MR显示肿瘤切除满意
治疗体会:
儿童脑干胶质瘤分为局灶型(focalbrainstem gliomas,FBSGs)和弥漫内生型(diffuseintrinsic pontine gliomas,DIPGs),前者占比20%,多为低级别胶质瘤;后者占比80%,属高度恶性肿瘤2。
延髓胶质瘤涉及呼吸、循环中枢,在脑干胶质瘤中手术风险最大。本例在第一次手术中一度三次心跳骤停,术中抢救,可见手术风险之大。但考虑到病理提示低级别胶质瘤,又是局灶型,一旦全切或近全切除,患儿近乎治愈,值得冒险一搏!
总结手术要点:1:手术必须在脑干功能监测下完成,电生理的反馈是手术成功的根本保证;2:首先要找到瘤体与正常脑干的游离面,切忌瘤内减压,极易误伤延髓,造成严重后果;3:清晰辨别肿瘤起源,庆幸本例起源延髓左侧小脑下脚,与闩部无关!及时划定切除标线,宁可瘤体残留薄层,也不要误入延髓,造成不可逆损伤;4:手法轻柔缓慢,低功率电凝配合打水降温,尽量单人操作,不需助手配合,粗暴牵拉或热传导对延髓损伤几乎是致命的。
儿童延髓胶质瘤属小儿神经外科难度手术,外科医生要牢记:胆大心细,戒急戒躁!
中华医学会神经外科学分会肿瘤学组. 脑干胶质瘤综合诊疗中国专家共识[J]. 中华医学杂志,2017,33(13):217-229.
Daniyal A K,Altaf A L,et al.Treatment options for paediatric brainstem gliomas.J Pak Med Assoc.2019 Sep,69(9):1400-1402.






