女,74岁
发病:家属诉2019-6-3上午07:00正常,11:30被发现右侧肢体无力和言语不能
到院:2019-6-3 14:11
NIHSS:14
既往史和个人史无特殊
急诊心电图未见异常

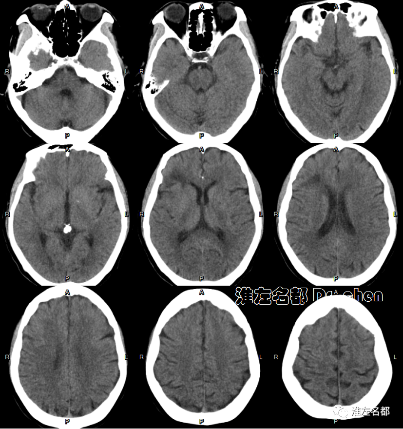
△头颅CT平扫:右侧额叶陈旧性梗死,左侧胼胝体膝部和临近脑组织低密度。


△头颅CTA:左侧大脑前动脉A2段远端闭塞(橙箭)。

△颈部CTA:左侧颈内动脉颅外段螺旋样延长迂曲(白箭)。

△脑CTP:左侧大脑前动脉区TTP较对侧显著延长,但其大部分区域CBV和CBF未见明显降低。
1.最后表现正常-到院时间达7小时余,超出静脉溶栓时间窗。2.NIHSS-14,左侧大脑前动脉闭塞,其供血区TTP较对侧显著延长,但其大部分区域CBV和CBF未见明显降低,提示较大范围“组织窗”,可考虑急诊血管内治疗。
经和患者家属沟通后,家属态度积极,同意血管内介入治疗,并签署手术知情同意书。

△采用同轴技术将6F长鞘(90cm,Cook)送至左侧颈总动脉,造影:左侧颈内动脉颅外段螺旋样延长迂曲,经.035”泥鳅导丝将中间导管(Navien 072, 105cm)头端送至岩骨段(黑箭)。

△经中间导管造影:左侧大脑前动脉A2段闭塞(橙箭)。



△路径过于迂曲,微导丝(Transend TM-300)进入左侧大脑前动脉后微导管(Rebar TM-18)难以跟进,将长鞘尽量进入颈内动脉增加支撑,中间导管推送到海绵窦段近端,而后微导丝通过左侧大脑前动脉闭塞段,微导管成功进入A4段,撤出微导丝,微导管造影证实位于真腔。


△经微导管释放取栓支架 S AB 4*20mm,造影:闭塞再通,局部管腔狭窄(橙箭)。
因路径迂曲,操作极其艰难,穿刺成功-第一次释放取栓支架已经花费了约60分钟。考虑到路径迂曲,回收支架出血风险高;如果第一次取栓未能开通闭塞,估计其后的操作可能还要花费很长时间,患者可能难以耐受,且取栓获益可能性也会降低。
笔者团队协商后,决定先欣维宁静注15ml ,7ml/h维持,观察30分钟;如果能维持较好前向血流,则解脱支架,继续欣维宁维持;如果不能维持前向血流,则取栓。与家属沟通后,家属表示理解,并同意此治疗方案。
△30分钟后造影:左侧大脑前动脉前向血流良好,A3段局部中度狭窄(橙箭)
静推欣维宁15ml,7ml/h维持,30分钟后造影可见左侧大脑前动脉前向血流良好,A3段局部中度狭窄,解脱取栓支架。
DSA-平板CT未见出血,结束手术。


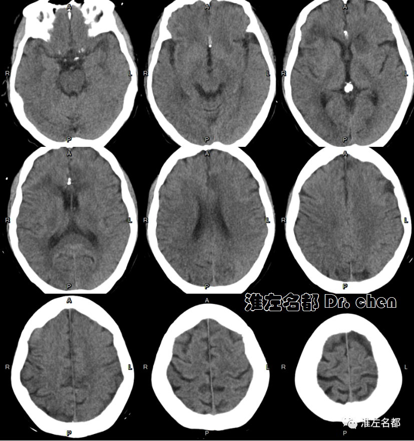
△颅脑CT平扫:左侧大脑前动脉支架(橙箭)植入术后;左侧尾状核头部、胼胝体膝部和临近额叶低密度梗死。


△颅脑CTA:左侧大脑前动脉A3段狭窄(橙箭),但前向血流可。


术后第二日NIHSS-7,复查CT后,予负荷双抗(阿司匹林 0.3 + 氯吡格雷 300mg),6小时后停欣维宁。
住院期间监测到阵发性房颤(快速型),经充分评估后,未发现其他潜在脑卒中原因,脑卒中机制考虑是:左侧大脑前动脉栓塞性闭塞(心源性)。
术后第3天抗栓方案调整为新型口服抗凝物(拜瑞妥)+阿司匹林。
住院一周,出院NIHSS-4;出院后继续康复训练。

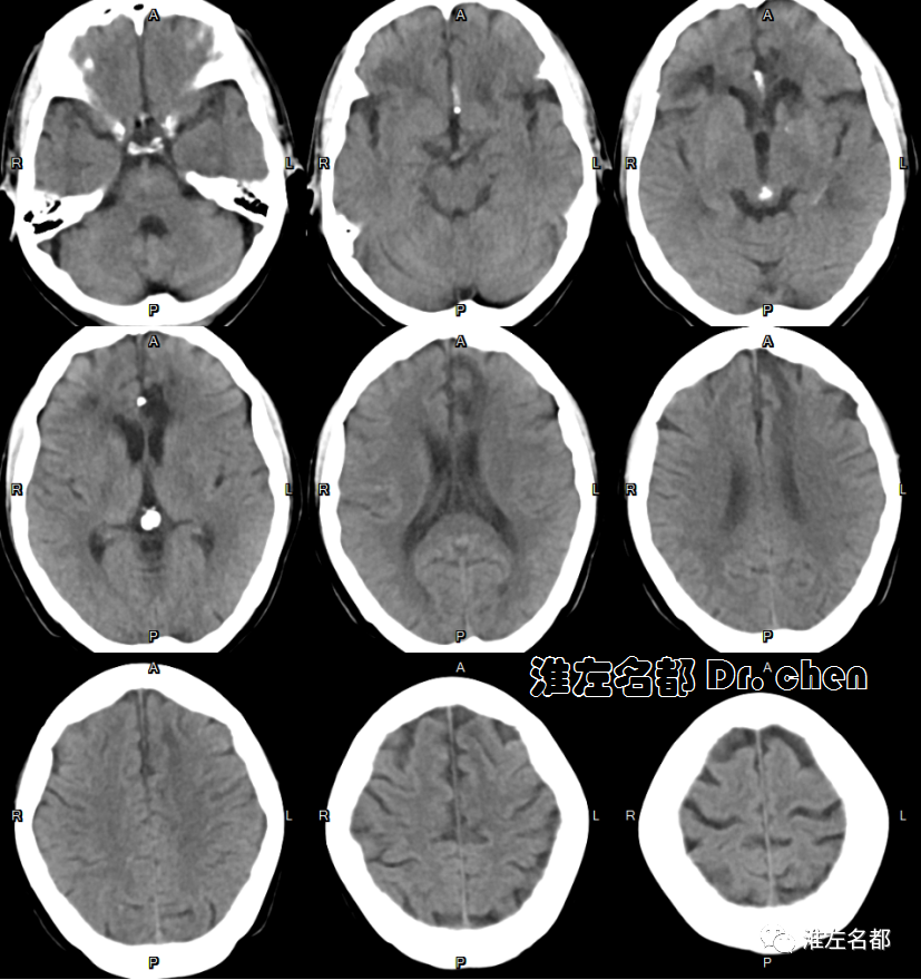
△颅脑CT平扫:左侧尾状核头部、胼胝体膝部和临近额叶陈旧性梗死,局部坏死液化;右侧额叶陈旧性梗死。

△颅脑CTA:左侧大脑前动脉管腔通畅,未见明显狭窄。
1.在缺血性卒中急诊血管内治疗领域,尽管目前不在指南强烈推荐的颅内大动脉闭塞范畴,但业界已有不少关于大脑前动脉、后动脉等颅内分支血管闭塞取栓治疗的尝试。2.本病例大脑前动脉闭塞,临床症状重,核心梗死范围不大,而低灌注范围相对较大,推测开通闭塞血管可能获益较大,加之家属态度积极,故行急诊血管内介入治疗。3.因颅内-外介入路径曲折,中间导管难以到达高位,花费很长时间才使得取栓支架得以到位释放,闭塞管腔再通;因担心出血风险,并预见第一次取栓失败的话,第二次取栓操作可能也要花费较长时间。考虑到上述对患者不利的因素,与家属沟通后决定:使用欣维宁情况下,观察30分钟;如果能维持较好前向血流,则解脱支架,继续欣维宁维持;如果不能维持前向血流,则取栓。4.幸运的是,30分钟后造影显示取栓支架位置管腔中度狭窄,但前向血流良好,故解脱取栓支架。术后第二日影像学复查显示取栓支架位置管腔狭窄,但不影响前向血流;术后7周余复查影像学提示取栓支架位置已无明显狭窄,考虑和局部血栓自溶有关。5.此患者起病症状重,但开通闭塞大脑前动脉后NIHSS评分一周内由14降至4,表明血管内介入治疗对患者功能恢复还是发挥重要作用的。6.另外,本病例表明,在一些特殊情况下,如果能保持良好的管腔通畅,解脱取栓支架也是缺血性卒中急诊介入治疗方法的潜在选项之一。