
今天为大家分享的是《监测有道丨颅脑创伤-神经重症周刊》第213期,由湖南省人民医院神经外科张凌云副主任医师带来的:脑室旁脓肿精准清除一例+脑脓肿诊疗精要复习,欢迎观看、阅读。
40岁男性,重型脑外伤术后4月,右侧肢体乏力加重7天入院。患者4月前因重型颅颅脑外伤在当地医院行去骨瓣减压术,术后恢复良好,7天前右侧肢体乏力加重入院。门诊以“颅脑外伤术后 颅骨缺损 脑积水”收入。
患者无发热,一般情况可,神清语利,左侧额颞顶部减压窗脑膨出明显,张力稍高。右侧肢体肌力2级。脑膜刺激征阴性。术前检查CT及核磁增强均提示左颞皮下深部脑室旁脓肿形成。术前血象腰穿常规生化均阴性,C反应蛋白略高。
舒毓高主任、孙圣礼主任医师、邓永文副主任医师、张凌云副主任医师术前讨论认为:患者为脑外伤术后切口内感染导致脑表面脓肿可能性大,脓肿紧靠扩张的脑室颞角,需要精准定位清除脓肿,避免探查或者穿刺时脓液进入脑室导致严重的脑室管膜炎发生。

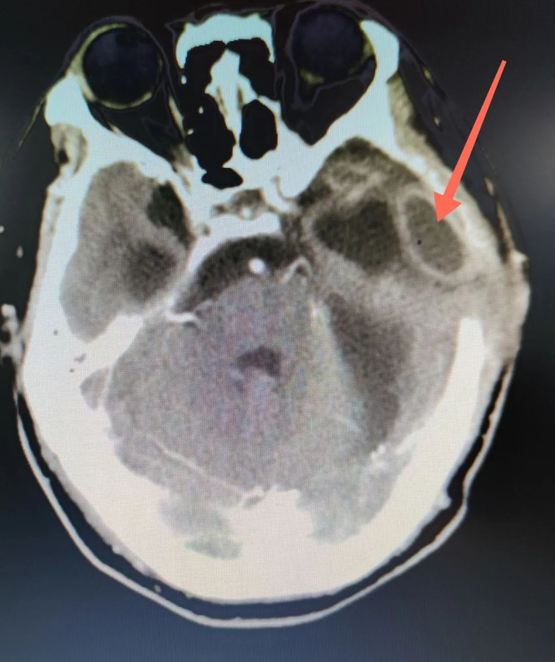
CT增强可见左侧侧脑室颞角旁、减压窗骨缘前脓肿形成,紧邻脑室。

术前增强CT可见脑室扩张,减压窗脑膨出明显。

术前腰穿脑脊液生化阴性。


全麻插管,仰卧位。床旁阅片记录参数。

用“度若飞”激光框架按照小程序“神基妙算”录入数据得出的扫描基准面和靶点层面数据确定靶点侧方投影点,体表标记。

切皮探查皮下2cm看到脓肿壁

抽出的脓液。

术后患者一般情况可,复查CT见脓腔消除。脓液培养阴性,继续抗炎。患者拆线后出院。美国每年有1500-2500例脑脓肿病人,发展中国家发病率更高(按照人口比例中国估算每年有1-2万例脑脓肿患者)。
肺部畸形(感染、动静脉瘘-50%有Osler-Weber-Rendu综合征即遗传性出血性毛细血管扩张症,其中5%发展为脑脓肿)、先天性紫绀型心脏病(红细胞增多、低氧分压及右向左分流均增加感染风险)、细菌性心内膜炎、穿通性脑损伤、慢性鼻窦炎或中耳炎(慢性中耳炎30岁患者一生患脑脓肿概率为1/200)、牙周脓肿、盆腔感染(通过Batson静脉丛到脑部)、脑外伤及脑部手术以及AIDS。
C反应蛋白:脑肿瘤及其它部位感染也增高,敏感度90%,特异度77%。
腰椎穿刺:90%异常,但极少确定病原菌(除非脓肿破入脑室),颅压高禁用。
MRI:增强T1相薄壁环状强化,中心低密度,可有液气平面,产气微生物可有气颅。弥散相DWI高信号,ADC低信号,波谱分析的氨基酸和醋酸或乳酸峰的出现有助于诊断。
不常用检查:99Tcm-HMPAO白细胞扫描,将患者白细胞标记后注回人体,敏感性特异性接近100%。
3. 长期抗生素(静脉6-8周,口服4-8周),根据临床和影像学而定。
药物治疗:适用于脑炎早期,不能手术患者,多发脓肿,感染扩散患者。建议以3cm为界,超过此界限应外科治疗。
穿刺抽吸:主要方法,尤其适合多发或深部脓肿。
外科切除:可防止复发,缩短抗生素治疗时间。建议用于需要清理异物的外伤后脑脓肿和真菌性脑脓肿。
外引流:有争议。
——《Handbook of neurosurgery 为更好继续提高、规范中国神经外科医生颅脑创伤救治能力及水平,神外资讯《监测有道丨颅脑创伤-神经重症周刊》继续面向全国收集颅脑创伤病例并展开讨论,由国内医生提供真实病例,经专家审核通过及点评后刊登。投稿邮箱:shenwaizixun@163.com
声明:脑医汇旗下神外资讯、神介资讯、脑医咨询所发表内容之知识产权为脑医汇及主办方、原作者等相关权利人所有。未经许可,禁止进行转载、摘编、复制、裁切、录制等。经许可授权使用,亦须注明来源。欢迎转发、分享。