简要信息
男,15岁
发病时间:2019-8-31 15:30
症状:右侧肢体无力和不能言语
到院时间:2019-8-31 20:00
NIHSS:17
发病前无外伤、头痛;可疑感冒(无发热)
既往史、个人史和家族史无特殊
急诊心电图未见异常
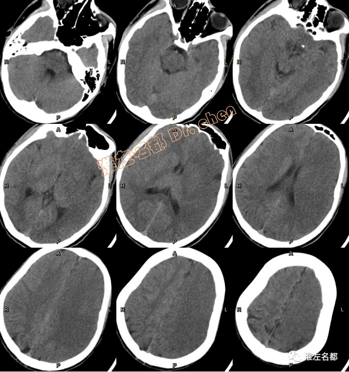
急诊多模式CT

△头颅CT平扫:左侧半球大范围低密度,灰白质分界消失,脑沟受压变小-消失;左侧大脑中动脉区ASPECT-2。

△头颅CTA:左侧颈内动脉末端和大脑中动脉未见显影;左侧颈内动脉显影较右侧细小,造影剂浓度淡(提示血流缓慢)。

△颈部CTA:颈部动脉未见异常。


△脑CTP:左侧半球大范围TTP较对侧显著延长,左侧大脑中动脉上干供血区CBV和CBF显著降低。

△脑CTP静脉早期多平面重建:左侧大脑中动脉主干显影细小(红箭)
初步诊断
治疗决策
与患儿家长充分沟通后,家长态度积极,同意急诊介入治疗,并签署手术知情同意书。
急诊介入治疗
2019-8-31 21:30 穿刺成功
普通肝素3000单位



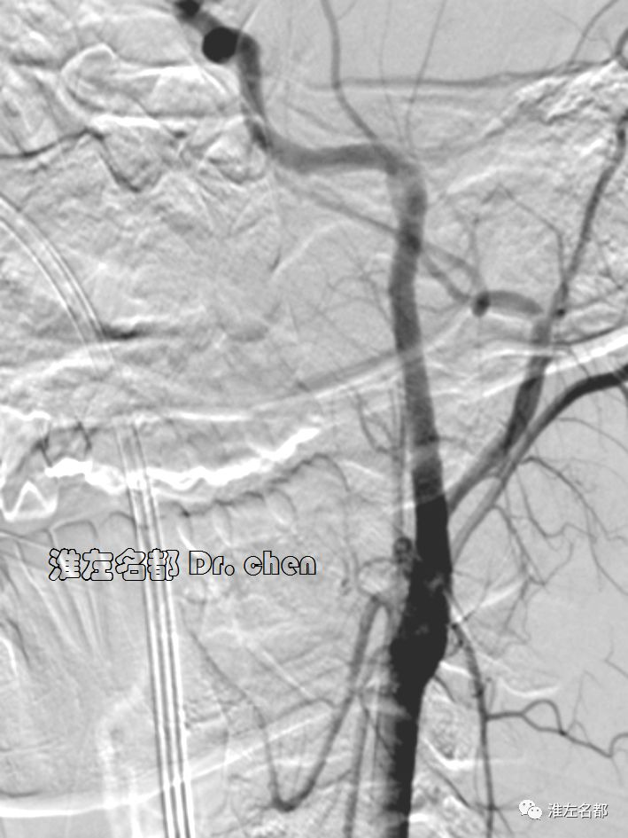
△经.035”泥鳅导丝将中间导管(Navien 058,125cm)送至左侧颈内动脉岩骨段,而后长鞘跟进至左侧颈内动脉,再经泥鳅导丝将中间导管送至海绵窦段,微导管(Rebar 27)在微导丝导引下进入左侧大脑中动脉M2段,造影证实位于真腔后,经微导管释放取栓支架(S AB 6*30mm)后造影:左侧颈内动脉远端充盈缺损,管腔严重狭窄;左侧大脑中动脉近端严重狭窄。







术中共使用欣维宁10ml。
术后查体:右下肢肌力由术前0级恢复至3级,其他同术前。
NICU病房继续监测和治疗。
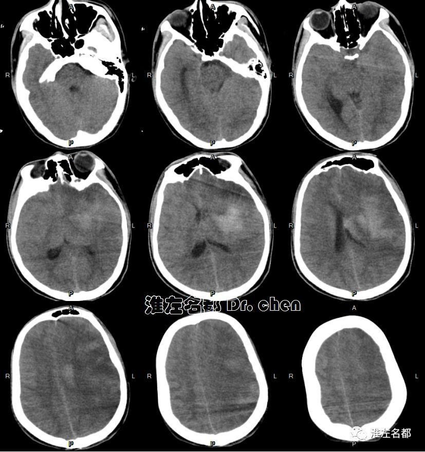
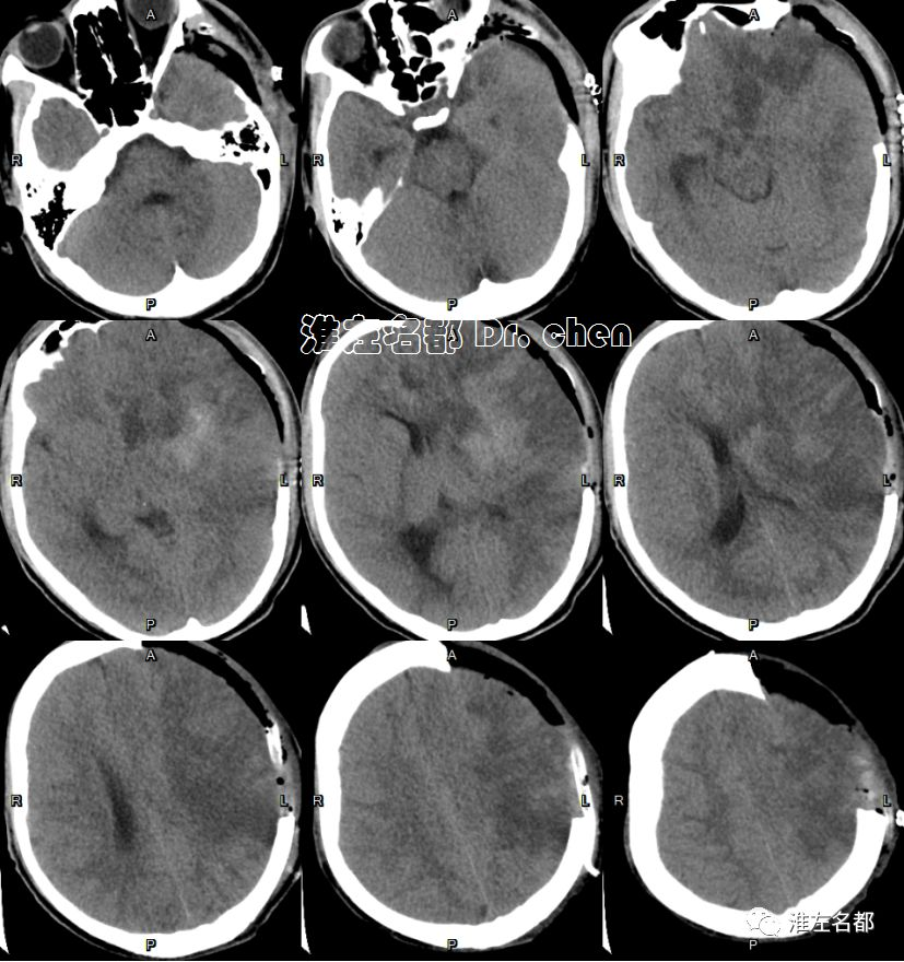
复查CT
2019-9-1 11:34


△颅脑CT平扫+增强:左侧基底节区和部分额叶呈稍高密度,左侧前循环血流通畅;左侧半球肿胀明显,脑室、脑沟和脑池受压,中线结构向右侧显著移位。
此时,患儿意识清醒,查体同术后。
2019-9-1 20:00左右行去骨瓣减压术 。
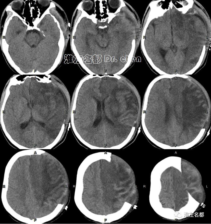
复查多模式CT
2019-9-2 11:47

△头颅CT平扫:左侧去骨瓣减压术后,左侧半球仍有肿胀,中线结构移位较前稍改善。


△头颅CTA:左侧前循环管腔通畅,未见明显狭窄。


△脑CTP:左侧额叶CBV和CBF仍然较对侧显著降低(无复流)
CT
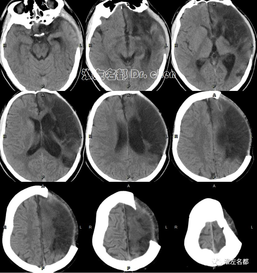
2019-9-9

△头颅CT:左侧去骨瓣减压术后,中线结构居中,侧脑室受压较前改善。
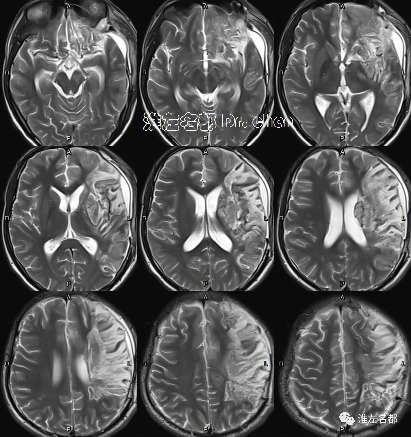
MRI
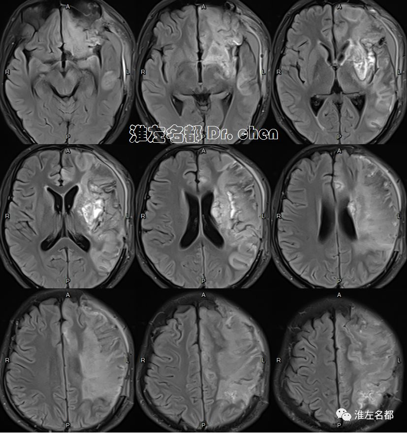
2019-9-19




△T2WI、T1WI、FLAIR和SWI:左侧半球大面积亚急性梗死伴渗血,局部软化坏死。

△3D-TOF-MRA:左侧大脑中动脉M1段和前动脉A1段管腔显影不规则;左侧大脑中动脉分支显影较对侧稀疏(考虑和大面积梗死后供血需求降低有关)。

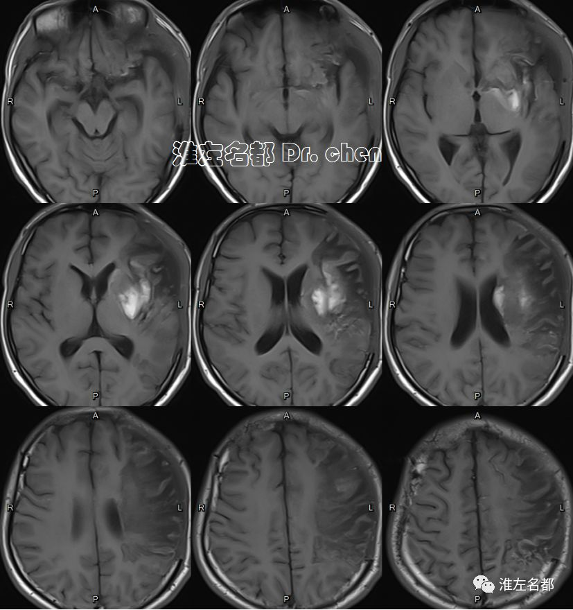
△管壁高分辨MRI(增强T1-SPACE):左侧大脑中动脉主干管壁未见异常(橙箭),左侧颈内动脉远端管壁增厚和强化(红箭)。


△管壁高分辨MRI(增强T1-SPACE):左侧颈内动脉末端检测到夹层“内膜征”(橙箭)。
住院期间经阿司匹林、营养神经、康复训练等治疗后,病情趋于稳定。
CT
2019-10-22

△头颅CT平扫:左侧去骨瓣减压术后,左侧半球大面积梗死组织坏死软化,左侧侧脑室扩大。
2019-12-20

△头颅CT平扫:左侧去骨瓣减压术后,左侧半球大面积陈旧性梗死软化灶,左侧侧脑室扩大。
术后三个月mRS:3。
2020-1-3

△头颅CT平扫:左侧半球大面积陈旧性梗死软化灶,左侧颅骨修补术后。
简要评析
1.儿童脑梗死相对少见,病因具有异质性,其病因诊断和治疗均是不小的挑战,目前还缺少相关指南和专家共识。
2.据文献报道,除心源性栓塞外,脑动脉夹层也是儿童缺血性卒中的重要原因之一,本病例即是如此。
3.脑动脉夹层临床确诊依赖于影像学检测到典型夹层征象:内膜征/双腔征、长段不规则/丝线样狭窄、壁内血肿、夹层动脉瘤等。本患儿DSA显示左侧颈内动脉末端和大脑中动脉主干长段狭窄,且大脑中动脉主干狭窄呈“丝线样”,符合夹层影像学征象。
4.文献罕有报道颅内动脉夹层闭塞所致脑卒中急诊血管治疗案例,具体治疗策略也不明确。在本病例,应用S AB 6*30mm支架结合中间导管,以中间导管逆向回收的SWIM技术成功开通夹层所致的颅内前循环极重度狭窄。笔者使用上述技术是基于以下考虑:
①直径6mm取栓支架有较强的径向支撑力,能对夹层假腔形成较大压力,进而可能压缩假腔而恢复真腔。
②采用中间导管逆向回收取栓支架的SWIM技术,避免了支架牵拉动脉内膜而加重夹层病变的可能。
5.术中,取栓支架仅取出小块血栓,推测取栓支架压迫和中间导管逆向回收支架时按压假腔是夹层真腔得以恢复的主要原因。
6.在夹层真腔得以基本恢复后,DSA于左侧颈内动脉末端、大脑前和中动脉近端均检测到典型“内膜征”,进一步确定了夹层诊断。
7.此患儿急诊介入术后即刻右下肢肌力恢复到3级,表明开通血流对功能恢复还是有帮助的。术后短时间内脑水肿明显,于术后第二日即行去骨板减压术,再结合积极康复训练,最终发病三个月mRS-3。虽然短期预后未能达到功能独立,但儿童神经系统代偿能力强,相信假以时日,恢复功能独立是可期的。
8.本病例提示:
①儿童缺血性脑卒中的颅内动脉闭塞,要考虑到颅内夹层的可能。
②颅内动脉闭塞导致的儿童急性缺血性脑卒中,在慎重选择,以及和家长充分沟通的基础上,血管内介入治疗也是潜在急性期治疗选项之一。
③颅内动脉夹层性闭塞所致急性脑卒中,采用逆向回收取栓支架的SWIM技术是潜在的有效血管内治疗策略之一。
![]()




