2021年03月16日发布 | 987阅读

【3月17日07:00直播】China-INI神经脊柱联盟特殊病例讨论会第三十一季,欢迎观看!

菅凤增

首都医科大学宣武医院

王超

北京大学第三医院

艾福志

中山大学孙逸仙纪念医院

王圣林

北医三院

陆云涛

南方医科大学南方医院

晏怡

重庆医科大学附属第一医院

陈赞

首都医科大学宣武医院

吴浩

首都医科大学宣武医院

达人收藏



脊柱脊髓疾病的治疗既涉及脊柱稳定性、生理曲度的重建,又涉及神经结构的减压和保护,因此在治疗时既需要脊柱内固定和矫形技术又需要显微神经外科技术,多种技术同时应用才能为患者提供更加适宜、安全的治疗。

为了促进神经外科和骨科之间的学术交流,宣武脊柱脊髓联盟每周组织一次脊柱脊髓疾病病例讨论会,邀请国内外神经外科和骨科专家针对典型病例进行讨论。讨论会采用线上直播,并可以网络回放的形式对全国同道开放。通过对这些病例的讨论分析,权威专家的精彩点评,可以使我们对这些疾病的发病机制、治疗理念以及最新的治疗技术有更加全面的认识。希望国内的同道在线点评、斧正。


主办单位:宣武脊柱脊髓联盟
协办单位:脑医汇-神外资讯


第三十一期


讨论主题:寰枢椎脱位

讨论专家:

菅凤增 教授

首都医科大学宣武医院


王超 教授

北京大学第三医院



艾福志 教授

中山大学孙逸仙纪念医院


王圣林 副教授

北京大学第三医院


陆云涛 教授

南方医科大学南方医院


晏怡 教授

重庆医科大学附属第一医院


陈赞 教授

首都医科大学宣武医院



吴浩 教授

首都医科大学宣武医院


王作伟 教授

首都医科大学宣武医院


段婉茹 副主任医师
首都医科大学宣武医院

王凯 副主任医师
首都医科大学宣武医院

关健 主治医师
首都医科大学宣武医院




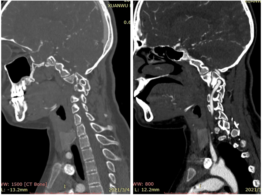
病例信息


女,13岁,154cm,57kg


病史:

  • 6个月前病人出现颈部活动受限,3个月前出现左手力弱

既往史:

  • 病人双向情感障碍,口服药物治疗


影像资料:


诊断:

  • 齿状突小体

  • 寰枢椎脱位

治疗:

  • 后路关节松解寰枢椎复位内固定融合术

  • 前路关节松解,后路寰枢椎复位内固定融合术

  • 前路TARP技术

  • 前路齿状突切除,后路内固定术

直播路径

脑医汇旗下神外资讯直播技术支持


直播时间:3月17日07:00-07:45

电脑端观看链接:登录网址

https://www.medtion.com/meetingInfoLive.jspx?id=1364即可进入直播界面



联系我们

讨论会主持人:菅凤增

讨论会负责人:吴浩

讨论会联系人:董亚超 13621079396


声明:脑医汇旗下神外资讯、神介资讯、脑医咨询所发表内容之知识产权为脑医汇及主办方、原作者等相关权利人所有。未经许可,禁止进行转载、摘编、复制、裁切、录制等。经许可授权使用,亦须注明来源。欢迎转发、分享。

最新评论
发表你的评论
发表你的评论
来自于专栏
关键词搜索